• 文献检索
  • 文档翻译
  • 深度研究
  • 学术资讯
  • Suppr Zotero 插件Zotero 插件
  • 邀请有礼
  • 套餐&价格
  • 历史记录
应用&插件
Suppr Zotero 插件Zotero 插件浏览器插件Mac 客户端Windows 客户端微信小程序
定价
高级版会员购买积分包购买API积分包
服务
文献检索文档翻译深度研究API 文档MCP 服务
关于我们
关于 Suppr公司介绍联系我们用户协议隐私条款
关注我们

Suppr 超能文献

核心技术专利:CN118964589B侵权必究
粤ICP备2023148730 号-1Suppr @ 2026

文献检索

告别复杂PubMed语法,用中文像聊天一样搜索,搜遍4000万医学文献。AI智能推荐,让科研检索更轻松。

立即免费搜索

文件翻译

保留排版,准确专业,支持PDF/Word/PPT等文件格式,支持 12+语言互译。

免费翻译文档

深度研究

AI帮你快速写综述,25分钟生成高质量综述,智能提取关键信息,辅助科研写作。

立即免费体验

介入低剂量阿奇霉素可减轻小鼠香烟烟雾诱导的肺气肿和肺部炎症。

Interventional low-dose azithromycin attenuates cigarette smoke-induced emphysema and lung inflammation in mice.

机构信息

Department of Thoracic Medicine, Royal Adelaide Hospital, Adelaide, SA, Australia.

Adelaide Medical School, University of Adelaide, Adelaide, SA, Australia.

出版信息

Physiol Rep. 2020 Jul;8(13):e14419. doi: 10.14814/phy2.14419.

DOI:10.14814/phy2.14419
PMID:32652854
原文链接:https://pmc.ncbi.nlm.nih.gov/articles/PMC7354087/
Abstract

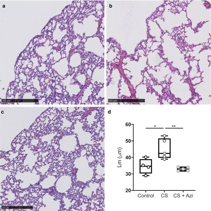
Cigarette smoke (CS)-induced emphysema is an important contributor to chronic obstructive pulmonary disease (COPD). We have shown the efficacy of azithromycin in reducing airway inflammation in COPD and in reducing exacerbations in severe asthma; however, the effects of long-term azithromycin on emphysema development have not been shown. We employed live animal imaging to monitor emphysema-like development and the effects of interventional azithromycin treatment in CS-exposed mice. BALB/c mice (female, 10 weeks; n = 10) were exposed to CS for 1 hr twice daily, 5 days/week, and for 12 weeks (CS). Half were cotreated with low-dose azithromycin during weeks 7-12 (CS + Azi; 0.2 mg kg  day ). Microcomputed tomography (CT) and magnetic resonance imaging (MRI) scans were acquired longitudinally. Histological examinations were performed post mortem (mean linear intercept (Lm) and leukocyte infiltration). CS increased median Lm (CS: 42.45 µm versus control: 34.7 µm; p = .0317), this was recovered in CS + Azi mice (33.03 µm). Average CT values were reduced in CS mice (CS: -399.5 Hounsfield units (HU) versus control: -384.9 HU; p = .0286) but not in CS + Azi mice (-377.3 HU). CT values negatively correlated with Lm (r = -.7972; p = .0029) and T -weighted MRI (r = -.6434; p = .0278). MRI also showed significant CS-induced inflammatory changes that were attenuated by azithromycin in the lungs, and positively correlated with Lm (r = .7622; p = .0055) and inflammatory foci counts (r = .6503; p = .0257). Monitoring of emphysema development is possible via micro-CT and MRI. Interventional azithromycin treatment in CS-exposed mice attenuated the development of pulmonary emphysema-like changes.

摘要

香烟烟雾(CS)引起的肺气肿是慢性阻塞性肺疾病(COPD)的重要原因。我们已经证明了阿奇霉素在减轻 COPD 气道炎症和减少重度哮喘恶化方面的疗效;然而,长期使用阿奇霉素对肺气肿发展的影响尚未得到证实。我们采用活体动物成像技术监测 CS 暴露小鼠的肺气肿样发展和干预性阿奇霉素治疗的效果。BALB/c 小鼠(雌性,10 周;n=10)每天暴露于 CS 两次,每次 1 小时,每周 5 天,共 12 周(CS)。其中一半在第 7-12 周进行低剂量阿奇霉素联合治疗(CS+Azi;0.2mg/kg/天)。纵向采集微计算机断层扫描(CT)和磁共振成像(MRI)扫描。死后进行组织学检查(平均线性截距(Lm)和白细胞浸润)。CS 增加了中位数 Lm(CS:42.45µm 与对照:34.7µm;p=0.0317),CS+Azi 组小鼠的 Lm 恢复到正常水平(33.03µm)。CS 组小鼠的平均 CT 值降低(CS:-399.5 亨斯菲尔德单位(HU)与对照:-384.9 HU;p=0.0286),但 CS+Azi 组小鼠的 CT 值未降低(-377.3 HU)。CT 值与 Lm 呈负相关(r=-0.7972;p=0.0029)和 T 加权 MRI(r=-0.6434;p=0.0278)。MRI 还显示 CS 引起的肺部炎症变化显著,阿奇霉素治疗可减轻这些变化,与 Lm(r=0.7622;p=0.0055)和炎症灶计数(r=0.6503;p=0.0257)呈正相关。通过微 CT 和 MRI 可以监测肺气肿的发展。CS 暴露小鼠的干预性阿奇霉素治疗减轻了肺肺气肿样改变的发展。

https://cdn.ncbi.nlm.nih.gov/pmc/blobs/1d0d/7354087/6d257788a028/PHY2-8-e14419-g004.jpg
https://cdn.ncbi.nlm.nih.gov/pmc/blobs/1d0d/7354087/66823bc9a3ab/PHY2-8-e14419-g001.jpg
https://cdn.ncbi.nlm.nih.gov/pmc/blobs/1d0d/7354087/f0cec2efc97f/PHY2-8-e14419-g002.jpg
https://cdn.ncbi.nlm.nih.gov/pmc/blobs/1d0d/7354087/775bbbaf4d9f/PHY2-8-e14419-g003.jpg
https://cdn.ncbi.nlm.nih.gov/pmc/blobs/1d0d/7354087/6d257788a028/PHY2-8-e14419-g004.jpg
https://cdn.ncbi.nlm.nih.gov/pmc/blobs/1d0d/7354087/66823bc9a3ab/PHY2-8-e14419-g001.jpg
https://cdn.ncbi.nlm.nih.gov/pmc/blobs/1d0d/7354087/f0cec2efc97f/PHY2-8-e14419-g002.jpg
https://cdn.ncbi.nlm.nih.gov/pmc/blobs/1d0d/7354087/775bbbaf4d9f/PHY2-8-e14419-g003.jpg
https://cdn.ncbi.nlm.nih.gov/pmc/blobs/1d0d/7354087/6d257788a028/PHY2-8-e14419-g004.jpg

相似文献

1
Interventional low-dose azithromycin attenuates cigarette smoke-induced emphysema and lung inflammation in mice.介入低剂量阿奇霉素可减轻小鼠香烟烟雾诱导的肺气肿和肺部炎症。
Physiol Rep. 2020 Jul;8(13):e14419. doi: 10.14814/phy2.14419.
2
Diallyl disulfide prevents cigarette smoke-induced emphysema in mice.二烯丙基二硫预防香烟烟雾诱导的小鼠肺气肿。
Pulm Pharmacol Ther. 2021 Aug;69:102053. doi: 10.1016/j.pupt.2021.102053. Epub 2021 Jul 5.
3
Cigarette smoke-induced autophagy impairment accelerates lung aging, COPD-emphysema exacerbations and pathogenesis.香烟烟雾引起的自噬功能障碍加速肺衰老、COPD-肺气肿恶化和发病机制。
Am J Physiol Cell Physiol. 2018 Jan 1;314(1):C73-C87. doi: 10.1152/ajpcell.00110.2016. Epub 2016 Jul 13.
4
Azithromycin attenuates pulmonary inflammation and emphysema in smoking-induced COPD model in rats.阿奇霉素可减轻大鼠吸烟诱导的慢性阻塞性肺疾病模型中的肺部炎症和肺气肿。
Respir Care. 2015 Jan;60(1):128-34. doi: 10.4187/respcare.03344. Epub 2014 Sep 23.
5
Augmentation of S-Nitrosoglutathione Controls Cigarette Smoke-Induced Inflammatory-Oxidative Stress and Chronic Obstructive Pulmonary Disease-Emphysema Pathogenesis by Restoring Cystic Fibrosis Transmembrane Conductance Regulator Function.通过恢复囊性纤维化跨膜传导调节因子功能增强S-亚硝基谷胱甘肽可控制香烟烟雾诱导的炎症-氧化应激及慢性阻塞性肺疾病-肺气肿发病机制
Antioxid Redox Signal. 2017 Sep 1;27(7):433-451. doi: 10.1089/ars.2016.6895. Epub 2017 Feb 7.
6
Thioredoxin-1 ameliorates cigarette smoke-induced lung inflammation and emphysema in mice.硫氧还蛋白-1可改善香烟烟雾诱导的小鼠肺部炎症和肺气肿。
J Pharmacol Exp Ther. 2008 May;325(2):380-8. doi: 10.1124/jpet.107.134007. Epub 2008 Feb 6.
7
Cigarette smoke exposure produces more evidence of emphysema in B6C3F1 mice than in F344 rats.与F344大鼠相比,暴露于香烟烟雾中的B6C3F1小鼠出现肺气肿的证据更多。
Toxicol Sci. 1999 Oct;51(2):289-99. doi: 10.1093/toxsci/51.2.289.
8
Vitamin E isoform γ-tocotrienol protects against emphysema in cigarette smoke-induced COPD.维生素 E 异构体 γ-生育三烯酚可预防香烟烟雾引起的 COPD 肺气肿。
Free Radic Biol Med. 2017 Sep;110:332-344. doi: 10.1016/j.freeradbiomed.2017.06.023. Epub 2017 Jul 3.
9
Cigarette smoke-induced pulmonary emphysema in scid-mice. Is the acquired immune system required?烟诱导的重度联合免疫缺陷小鼠肺气肿。后天免疫系统是必需的吗?
Respir Res. 2005 Dec 16;6(1):147. doi: 10.1186/1465-9921-6-147.
10
Effects of strain and treatment with inhaled aII-trans-retinoic acid on cigarette smoke-induced pulmonary emphysema in mice.应变及吸入全反式维甲酸治疗对香烟烟雾诱导的小鼠肺气肿的影响。
COPD. 2005 Sep;2(3):289-302.

引用本文的文献

1
Lung and Gut Microbiome in COPD.慢性阻塞性肺疾病中的肺部和肠道微生物群
J Pers Med. 2023 May 8;13(5):804. doi: 10.3390/jpm13050804.
2
measurements of lung function using respiratory-gated micro-computed tomography in a smoke-exposure model of chronic obstructive pulmonary disease.在慢性阻塞性肺疾病烟雾暴露模型中使用呼吸门控微型计算机断层扫描进行肺功能测量。
J Med Imaging (Bellingham). 2023 Jan;10(1):016002. doi: 10.1117/1.JMI.10.1.016002. Epub 2023 Feb 16.
3
Azithromycin attenuates wheezing after pulmonary inflammation through inhibiting histone H3K27me3 hypermethylation mediated by EZH2.

本文引用的文献

1
Improvements in Lung Function with Nebulized Revefenacin in the Treatment of Patients with Moderate to Very Severe COPD: Results from Two Replicate Phase III Clinical Trials.雾化吸入瑞呋那新治疗中度至极重度慢性阻塞性肺疾病患者的肺功能改善情况:两项重复的III期临床试验结果
Chronic Obstr Pulm Dis. 2019 Apr 9;6(2):154-165. doi: 10.15326/jcopdf.6.2.2018.0152.
2
Long-Term Azithromycin Reduces and Increases Antibiotic Resistance in Severe Asthma.长期使用阿奇霉素可降低和增加严重哮喘的抗生素耐药性。
Am J Respir Crit Care Med. 2019 Aug 1;200(3):309-317. doi: 10.1164/rccm.201809-1739OC.
3
Role of inflammatory cells in airway remodeling in COPD.
阿奇霉素通过抑制 EZH2 介导的组蛋白 H3K27me3 过度甲基化减轻肺部炎症后的喘息。
Clin Epigenetics. 2023 Jan 23;15(1):12. doi: 10.1186/s13148-023-01430-y.
4
Lung Volume Calculation in Preclinical MicroCT: A Fast Geometrical Approach.临床前微型计算机断层扫描中的肺容积计算:一种快速几何方法。
J Imaging. 2022 Jul 22;8(8):204. doi: 10.3390/jimaging8080204.
5
AIM2 nuclear exit and inflammasome activation in chronic obstructive pulmonary disease and response to cigarette smoke.AIM2在慢性阻塞性肺疾病中的核输出与炎性小体激活及对香烟烟雾的反应
J Inflamm (Lond). 2021 May 22;18(1):19. doi: 10.1186/s12950-021-00286-4.
6
TAp63α Is Involved in Tobacco Smoke-Induced Lung Cancer EMT and the Anti-cancer Activity of Curcumin via miR-19 Transcriptional Suppression.TAp63α通过miR-19转录抑制参与烟草烟雾诱导的肺癌上皮-间质转化及姜黄素的抗癌活性。
Front Cell Dev Biol. 2021 Mar 4;9:645402. doi: 10.3389/fcell.2021.645402. eCollection 2021.
炎症细胞在慢性阻塞性肺疾病气道重塑中的作用。
Int J Chron Obstruct Pulmon Dis. 2018 Oct 12;13:3341-3348. doi: 10.2147/COPD.S176122. eCollection 2018.
4
The unmet global burden of COPD.慢性阻塞性肺疾病未被满足的全球负担。
Glob Health Epidemiol Genom. 2018 Apr 6;3:e4. doi: 10.1017/gheg.2018.1. eCollection 2018.
5
Prognostic significance of CT-determined emphysema in patients with small cell lung cancer.CT 测定的肺气肿在小细胞肺癌患者中的预后意义
J Thorac Dis. 2018 Feb;10(2):874-881. doi: 10.21037/jtd.2018.01.97.
6
The cellular and molecular determinants of emphysematous destruction in COPD.COPD 中肺气肿破坏的细胞和分子决定因素。
Sci Rep. 2017 Aug 25;7(1):9562. doi: 10.1038/s41598-017-10126-2.
7
Effect of azithromycin on asthma exacerbations and quality of life in adults with persistent uncontrolled asthma (AMAZES): a randomised, double-blind, placebo-controlled trial.阿奇霉素对持续性未控制哮喘成人哮喘加重和生活质量的影响(AMAZES):一项随机、双盲、安慰剂对照试验。
Lancet. 2017 Aug 12;390(10095):659-668. doi: 10.1016/S0140-6736(17)31281-3. Epub 2017 Jul 4.
8
Nonantibiotic macrolides restore airway macrophage phagocytic function with potential anti-inflammatory effects in chronic lung diseases.非抗生素大环内酯类药物可恢复气道巨噬细胞的吞噬功能,对慢性肺部疾病具有潜在的抗炎作用。
Am J Physiol Lung Cell Mol Physiol. 2017 May 1;312(5):L678-L687. doi: 10.1152/ajplung.00518.2016. Epub 2017 Mar 3.
9
A review of nebulized drug delivery in COPD.慢性阻塞性肺疾病中雾化药物递送的综述。
Int J Chron Obstruct Pulmon Dis. 2016 Oct 18;11:2585-2596. doi: 10.2147/COPD.S114034. eCollection 2016.
10
Randomised, double-blind, placebo-controlled trial with azithromycin selects for anti-inflammatory microbial metabolites in the emphysematous lung.阿奇霉素随机、双盲、安慰剂对照试验筛选出肺气肿肺中的抗炎性微生物代谢产物。
Thorax. 2017 Jan;72(1):13-22. doi: 10.1136/thoraxjnl-2016-208599. Epub 2016 Aug 2.