Suppr超能文献

环状 RNA FGFR3 通过调控 miR-29a-3p/E2F1 轴诱导卵巢癌细胞上皮-间充质转化。

CircRNA FGFR3 induces epithelial-mesenchymal transition of ovarian cancer by regulating miR-29a-3p/E2F1 axis.

机构信息

Department of Obstetrics and Gynecology, The Forth Affiliated Hospital of Nanchang University, Nanchang 330000, Jiangxi, P.R. China.

Xiangya Medical College, Central South University, Hunan 410008, P.R. China.

出版信息

Aging (Albany NY). 2020 Jul 15;12(14):14080-14091. doi: 10.18632/aging.103388.

Abstract

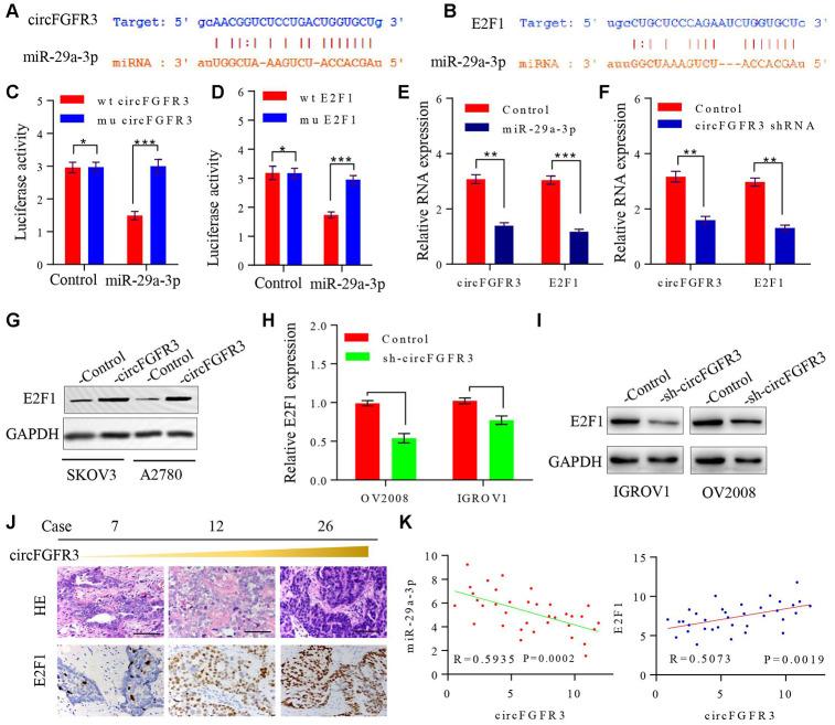
Circular RNAs (circRNAs) are a class of non-coding RNAs that regulate gene expression after transcription. However, the specific function of circRNAs in ovarian cancer remains undetermined. Previous studies have demonstrated abnormal expression of circFGFR3 in several cancers. The present study was designed to reveal the roles of circFGFR3 in ovarian cancer (OC). CircFGFR3 expression in OC tissues and cells was detected by RT-qPCR. The effects of CircFGFR3 on OC cells were evaluated by transwell assay and CCK-8 assay. Finally, the underlying mechanism was further revealed by luciferase reporter assay and western blotting. Our results showed that circFGFR3 expression was higher in OC cells and tissues than in normal ovarian cells and adjacent normal tissues; in addition, in OC patients, a high level of CircFGFR3 was related to lower survival rates and higher recurrence rates than a low level of circFGFR3. CircFGFR3 overexpression promotes OC progression by inducing epithelial-mesenchymal transition (EMT) in vitro. Mechanistically, circFGFR3 upregulates E2F1 expression by sponging miR-29a-3p, and the overexpression of E2F1 or the suppression of miR-29a-3p induces OC cell EMT. Therefore, circFGFR3 serves as a promoter of OC by inducing OC cell EMT via the miR-29a-3p/E2F1 axis and circFGFR3 may be a prognostic biomarker for OC patients.

摘要

环形 RNA(circRNAs)是一类转录后调控基因表达的非编码 RNA。然而,circRNAs 在卵巢癌中的具体功能仍未确定。先前的研究表明,circFGFR3 在几种癌症中表达异常。本研究旨在揭示 circFGFR3 在卵巢癌(OC)中的作用。通过 RT-qPCR 检测 OC 组织和细胞中的 circFGFR3 表达。通过 Transwell 测定和 CCK-8 测定评估 CircFGFR3 对 OC 细胞的影响。最后,通过荧光素酶报告基因测定和 Western blot 进一步揭示了潜在的机制。我们的结果表明,circFGFR3 在 OC 细胞和组织中的表达高于正常卵巢细胞和邻近正常组织;此外,在 OC 患者中,高水平的 CircFGFR3 与较低的生存率和较高的复发率相关,而低水平的 circFGFR3 则与之相反。CircFGFR3 过表达通过体外诱导上皮-间充质转化(EMT)促进 OC 进展。机制上,circFGFR3 通过海绵吸附 miR-29a-3p 上调 E2F1 的表达,E2F1 的过表达或 miR-29a-3p 的抑制诱导 OC 细胞 EMT。因此,circFGFR3 通过 miR-29a-3p/E2F1 轴诱导 OC 细胞 EMT,从而促进 OC 的发生,circFGFR3 可能是 OC 患者的预后生物标志物。

https://cdn.ncbi.nlm.nih.gov/pmc/blobs/7b33/7425466/ba7af7d11479/aging-12-103388-g001.jpg

文献AI研究员

20分钟写一篇综述,助力文献阅读效率提升50倍。

立即体验

用中文搜PubMed

大模型驱动的PubMed中文搜索引擎

马上搜索

文档翻译

学术文献翻译模型,支持多种主流文档格式。

立即体验