• 文献检索
  • 文档翻译
  • 深度研究
  • 学术资讯
  • Suppr Zotero 插件Zotero 插件
  • 邀请有礼
  • 套餐&价格
  • 历史记录
应用&插件
Suppr Zotero 插件Zotero 插件浏览器插件Mac 客户端Windows 客户端微信小程序
定价
高级版会员购买积分包购买API积分包
服务
文献检索文档翻译深度研究API 文档MCP 服务
关于我们
关于 Suppr公司介绍联系我们用户协议隐私条款
关注我们

Suppr 超能文献

核心技术专利:CN118964589B侵权必究
粤ICP备2023148730 号-1Suppr @ 2026

文献检索

告别复杂PubMed语法,用中文像聊天一样搜索,搜遍4000万医学文献。AI智能推荐,让科研检索更轻松。

立即免费搜索

文件翻译

保留排版,准确专业,支持PDF/Word/PPT等文件格式,支持 12+语言互译。

免费翻译文档

深度研究

AI帮你快速写综述,25分钟生成高质量综述,智能提取关键信息,辅助科研写作。

立即免费体验

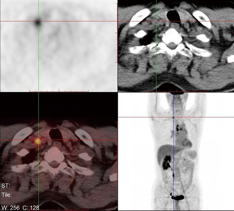
First-line treatment selection with organoids of an m + m stage IA1 patient with early metastatic recurrence after radical surgery and follow-up.

作者信息

Jia Ziqi, Wang Yanyu, Cao Lei, Wang Yadong, Song Yang, Yang Xiaoying, Bing Zhongxing, Cao Zhili, Liu Peng, Zhang Shuyang, Chen Zexin, Huang Min, Yu Yan, Han-Zhang Han, Song Jinlei, Christoph Daniel C, Passaro Antonio, Gridelli Cesare, Hishida Tomoyuki, Liang Naixin, Li Shanqing

机构信息

Department of Thoracic Surgery, Peking Union Medical College Hospital, Chinese Academy of Medical Sciences, Beijing, China.

Eight-Year MD Program, Peking Union Medical College, Chinese Academy of Medical Sciences, Beijing, China.

出版信息

J Thorac Dis. 2020 Jul;12(7):3764-3773. doi: 10.21037/jtd-20-1882.

DOI:10.21037/jtd-20-1882
PMID:32802455
原文链接:https://pmc.ncbi.nlm.nih.gov/articles/PMC7399434/
Abstract
摘要
https://cdn.ncbi.nlm.nih.gov/pmc/blobs/35b3/7399434/9ad8581f3f6c/jtd-12-07-3764-f4.jpg
https://cdn.ncbi.nlm.nih.gov/pmc/blobs/35b3/7399434/15675683d699/jtd-12-07-3764-f1.jpg
https://cdn.ncbi.nlm.nih.gov/pmc/blobs/35b3/7399434/a8c352068899/jtd-12-07-3764-f2.jpg
https://cdn.ncbi.nlm.nih.gov/pmc/blobs/35b3/7399434/5505fa1a5a58/jtd-12-07-3764-f3.jpg
https://cdn.ncbi.nlm.nih.gov/pmc/blobs/35b3/7399434/9ad8581f3f6c/jtd-12-07-3764-f4.jpg
https://cdn.ncbi.nlm.nih.gov/pmc/blobs/35b3/7399434/15675683d699/jtd-12-07-3764-f1.jpg
https://cdn.ncbi.nlm.nih.gov/pmc/blobs/35b3/7399434/a8c352068899/jtd-12-07-3764-f2.jpg
https://cdn.ncbi.nlm.nih.gov/pmc/blobs/35b3/7399434/5505fa1a5a58/jtd-12-07-3764-f3.jpg
https://cdn.ncbi.nlm.nih.gov/pmc/blobs/35b3/7399434/9ad8581f3f6c/jtd-12-07-3764-f4.jpg

相似文献

1
First-line treatment selection with organoids of an m + m stage IA1 patient with early metastatic recurrence after radical surgery and follow-up.对一名根治性手术后出现早期转移复发的m + m期IA1患者,使用类器官进行一线治疗选择及随访。
J Thorac Dis. 2020 Jul;12(7):3764-3773. doi: 10.21037/jtd-20-1882.
2
Treatment selection with organoids in an EGFRm + TP53m stage IA1 patient with recurrence after radical surgery.在一名EGFRm + TP53m的IA1期患者根治性手术后复发的情况下使用类器官进行治疗选择。
J Thorac Dis. 2022 Mar;14(3):595-598. doi: 10.21037/jtd-22-64.
3
The clinical outcome of patients with stage Ia1 and Ia2 squamous cell carcinoma of the uterine cervix: a Cooperation Task Force (CTF) study.子宫颈Ia1期和Ia2期鳞状细胞癌患者的临床结局:一项合作特别工作组(CTF)研究
Eur J Gynaecol Oncol. 2003;24(6):513-6.
4
A multicenter noninferior randomized controlled study comparing the efficacy of laparoscopic versus abdominal radical hysterectomy for cervical cancer (stage IA1 with LVSI, IA2): study protocol of the LAUNCH 1 trial.一项比较腹腔镜与开腹根治性子宫切除术治疗宫颈癌(IA1 期伴 LVSI、IA2 期)疗效的多中心非劣效性随机对照研究:LAUNCH 1 试验研究方案。
BMC Cancer. 2022 Apr 9;22(1):384. doi: 10.1186/s12885-022-09494-4.
5
Is there a difference in survival for IA1 and IA2 adenocarcinoma of the uterine cervix?子宫颈IA1期和IA2期腺癌的生存率有差异吗?
Gynecol Oncol. 2002 May;85(2):229-41. doi: 10.1006/gyno.2002.6635.
6
Conservative therapy in microinvasive adenocarcinoma of the uterine cervix is justified: an analysis of 59 cases and a review of the literature.保守治疗子宫颈微浸润腺癌合理:59 例分析及文献复习。
Int J Gynecol Cancer. 2011 Dec;21(9):1640-5. doi: 10.1097/IGC.0b013e3182262059.
7
Primary management of early stage cervical cancer (IA1-IB) and appropriate selection of adjuvant therapy.早期宫颈癌(IA1-IB期)的初始治疗及辅助治疗的合理选择。
J Natl Compr Canc Netw. 2008 Jan;6(1):47-52. doi: 10.6004/jnccn.2008.0005.
8
Role of immunotherapy in metastatic EGFRm NSCLC: Is it relevant?免疫疗法在 EGFRm 转移性 NSCLC 中的作用:是否相关?
Indian J Cancer. 2022 Mar;59(Supplement):S68-S79. doi: 10.4103/ijc.IJC_49_21.
9
Surgical treatment of microinvasive cervical cancer: analysis of pathologic features with implications on radicality.微小浸润性宫颈癌的外科治疗:对根治性有影响的病理特征分析
Int J Gynecol Cancer. 2015 May;25(4):694-8. doi: 10.1097/IGC.0000000000000416.
10
Survival After Minimally Invasive vs Open Radical Hysterectomy for Early-Stage Cervical Cancer: A Systematic Review and Meta-analysis.早期宫颈癌微创根治性子宫切除术与开放性根治性子宫切除术的生存比较:系统评价和荟萃分析。
JAMA Oncol. 2020 Jul 1;6(7):1019-1027. doi: 10.1001/jamaoncol.2020.1694.

引用本文的文献

1
Bridging the gap: how patient-derived lung cancer organoids are transforming personalized medicine.弥合差距:患者来源的肺癌类器官如何改变个性化医疗。
Front Cell Dev Biol. 2025 Apr 15;13:1554268. doi: 10.3389/fcell.2025.1554268. eCollection 2025.
2
Adjuvant crizotinib treatment selected by patient-derived organoids in a patient with stage IIIA adenocarcinoma with novel fusion: a case report.通过患者来源的类器官选择辅助克唑替尼治疗一名具有新型融合的IIIA期腺癌患者:病例报告
Transl Lung Cancer Res. 2023 Nov 30;12(11):2322-2329. doi: 10.21037/tlcr-23-487. Epub 2023 Oct 30.
3
Applications of lung cancer organoids in precision medicine: from bench to bedside.

本文引用的文献

1
Adjuvant EGFR TKIs in NSCLC harboring EGFR mutations: looking for a consensus way.携带EGFR突变的非小细胞肺癌中的辅助性EGFR酪氨酸激酶抑制剂:探寻共识方法
Ann Transl Med. 2020 Sep;8(17):1111. doi: 10.21037/atm.2020.04.35.
2
Tumor modeling maintains diverse pathology .肿瘤建模保持多种病理状态。
Ann Transl Med. 2019 Dec;7(Suppl 8):S262. doi: 10.21037/atm.2019.12.32.
3
Overall Survival with Osimertinib in Untreated, -Mutated Advanced NSCLC.奥希替尼治疗未经治、-突变型晚期 NSCLC 的总生存期。
肺癌类器官在精准医学中的应用:从基础研究到临床实践。
Cell Commun Signal. 2023 Dec 6;21(1):350. doi: 10.1186/s12964-023-01332-9.
4
The emerging landscape of EFGR tyrosine kinase inhibitors in lung adenocarcinoma-successes and challenges.表皮生长因子受体酪氨酸激酶抑制剂在肺腺癌治疗中的新进展——成就与挑战
J Thorac Dis. 2022 Jun;14(6):1766-1771. doi: 10.21037/jtd-22-432.
5
Critical points in the management of -mutated non-small cell lung cancer.-突变型非小细胞肺癌管理中的关键点
J Thorac Dis. 2022 Jun;14(6):1748-1752. doi: 10.21037/jtd-22-269.
6
Intratumoral and intertumoral heterogeneity drives EGFR treatment considerations.肿瘤内和肿瘤间的异质性推动了表皮生长因子受体(EGFR)治疗的考量。
J Thorac Dis. 2022 May;14(5):1299-1301. doi: 10.21037/jtd-22-312.
7
Multidisciplinary and real life data: practical management of () mutant non-small cell lung cancer (NSCLC).多学科与真实世界数据:()突变型非小细胞肺癌(NSCLC)的实际管理 。 (括号内内容原文缺失)
J Thorac Dis. 2022 Apr;14(4):805-808. doi: 10.21037/jtd-22-181.
8
Treatment selection with organoids in an EGFRm + TP53m stage IA1 patient with recurrence after radical surgery.在一名EGFRm + TP53m的IA1期患者根治性手术后复发的情况下使用类器官进行治疗选择。
J Thorac Dis. 2022 Mar;14(3):595-598. doi: 10.21037/jtd-22-64.
9
Treatment strategy of -mutated non-small cell lung cancer.-突变型非小细胞肺癌的治疗策略
J Thorac Dis. 2022 Mar;14(3):602-606. doi: 10.21037/jtd-22-177.
N Engl J Med. 2020 Jan 2;382(1):41-50. doi: 10.1056/NEJMoa1913662. Epub 2019 Nov 21.
4
Stereotactic body radiotherapy as salvage treatment for recurrence of non-small cell lung cancer after prior surgery or radiotherapy.立体定向体部放疗作为非小细胞肺癌先前手术或放疗后复发的挽救性治疗。
Transl Lung Cancer Res. 2019 Feb;8(1):78-87. doi: 10.21037/tlcr.2018.08.15.
5
Medically inoperable stage I non-small cell lung cancer: best practices and long-term outcomes.医学上无法手术的I期非小细胞肺癌:最佳实践与长期结局
Transl Lung Cancer Res. 2019 Feb;8(1):32-47. doi: 10.21037/tlcr.2018.06.11.
6
Does FDG PET/CT have a role in determining adjuvant chemotherapy in surgical margin-negative stage IA non-small cell lung cancer patients?在手术切缘阴性、ⅠA 期非小细胞肺癌患者中,FDG PET/CT 在确定辅助化疗中的作用如何?
J Cancer Res Clin Oncol. 2019 Apr;145(4):1021-1026. doi: 10.1007/s00432-019-02858-7. Epub 2019 Feb 13.
7
SELECT: A Phase II Trial of Adjuvant Erlotinib in Patients With Resected Epidermal Growth Factor Receptor-Mutant Non-Small-Cell Lung Cancer.选择:表皮生长因子受体突变型非小细胞肺癌患者术后辅助厄洛替尼的 II 期临床试验。
J Clin Oncol. 2019 Jan 10;37(2):97-104. doi: 10.1200/JCO.18.00131. Epub 2018 Nov 16.
8
Organoid cultures recapitulate esophageal adenocarcinoma heterogeneity providing a model for clonality studies and precision therapeutics.类器官培养物重现了食管腺癌的异质性,为克隆性研究和精准治疗提供了模型。
Nat Commun. 2018 Jul 30;9(1):2983. doi: 10.1038/s41467-018-05190-9.
9
ADAURA: Phase III, Double-blind, Randomized Study of Osimertinib Versus Placebo in EGFR Mutation-positive Early-stage NSCLC After Complete Surgical Resection.ADAURA:奥希替尼对比安慰剂用于完全手术切除后的 EGFR 突变阳性早期 NSCLC 患者的 III 期、双盲、随机研究。
Clin Lung Cancer. 2018 Jul;19(4):e533-e536. doi: 10.1016/j.cllc.2018.04.004. Epub 2018 May 1.
10
Immunotherapy in non-metastatic non-small cell lung cancer: Can the benefits of stage IV therapy be translated into earlier stages?非转移性非小细胞肺癌的免疫治疗:IV期治疗的益处能否转化至更早期阶段?
Ther Adv Med Oncol. 2018 May 4;10:1758835918772810. doi: 10.1177/1758835918772810. eCollection 2018.