• 文献检索
  • 文档翻译
  • 深度研究
  • 学术资讯
  • Suppr Zotero 插件Zotero 插件
  • 邀请有礼
  • 套餐&价格
  • 历史记录
应用&插件
Suppr Zotero 插件Zotero 插件浏览器插件Mac 客户端Windows 客户端微信小程序
定价
高级版会员购买积分包购买API积分包
服务
文献检索文档翻译深度研究API 文档MCP 服务
关于我们
关于 Suppr公司介绍联系我们用户协议隐私条款
关注我们

Suppr 超能文献

核心技术专利:CN118964589B侵权必究
粤ICP备2023148730 号-1Suppr @ 2026

文献检索

告别复杂PubMed语法,用中文像聊天一样搜索,搜遍4000万医学文献。AI智能推荐,让科研检索更轻松。

立即免费搜索

文件翻译

保留排版,准确专业,支持PDF/Word/PPT等文件格式,支持 12+语言互译。

免费翻译文档

深度研究

AI帮你快速写综述,25分钟生成高质量综述,智能提取关键信息,辅助科研写作。

立即免费体验

自体和异体骨髓移植后皮肤及直肠活检标本的组织学特征。

Histological features of skin and rectal biopsy specimens after autologous and allogeneic bone marrow transplantation.

作者信息

Sviland L, Pearson A D, Eastham E J, Hamilton P J, Proctor S J, Malcolm A J

机构信息

Department of Pathology, Royal Victoria Infirmary, University of Newcastle upon Tyne.

出版信息

J Clin Pathol. 1988 Feb;41(2):148-54. doi: 10.1136/jcp.41.2.148.

DOI:10.1136/jcp.41.2.148
PMID:3280605
原文链接:https://pmc.ncbi.nlm.nih.gov/articles/PMC1141369/
Abstract

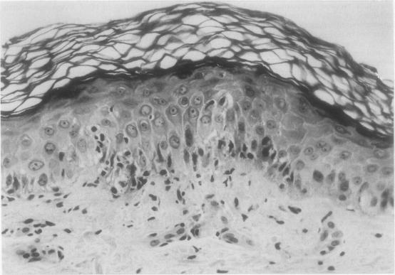
The histological appearances of skin and rectal biopsy specimens were studied in 31 bone marrow transplant recipients (13 autologous, 18 allogeneic) before transplant, at 28 days, at six months, and as soon as graft versus host disease (GVHD) was clinically suspected. Grades I and II skin changes were commonly seen in patients before transplant and in the autologous group after transplant, as well as in most of the allogeneic recipients with suspected GVHD. Epidermal lymphocytic infiltration was seen only in allogeneic recipients, with clinical GVHD following transplant, but this was not a consistent finding and no other histological features were seen which would distinguish early GVHD from changes caused by cytotoxic agents. Rectal biopsy specimens, however, were normal in patients before transplant and in autologous recipients at 28 days; single cell necrosis of crypt cells was seen only in six of 13 allogeneic recipients studied after transplant with clinical skin GVHD but no gastrointestinal symptoms. Skin changes greater than I and II are required for the histological diagnosis of GVHD. Rectal changes are more specific and may be present despite a lack of intestinal symptoms.

摘要

对31例骨髓移植受者(13例自体移植,18例异体移植)移植前、移植后28天、6个月以及临床怀疑发生移植物抗宿主病(GVHD)时的皮肤和直肠活检标本的组织学表现进行了研究。I级和II级皮肤改变常见于移植前的患者、自体移植组移植后的患者以及大多数疑似发生GVHD的异体移植受者。仅在移植后发生临床GVHD的异体移植受者中可见表皮淋巴细胞浸润,但这并非一致的发现,且未观察到其他可将早期GVHD与细胞毒性药物所致改变区分开来的组织学特征。然而,移植前的患者和28天时的自体移植受者的直肠活检标本均正常;在13例移植后出现临床皮肤GVHD但无胃肠道症状的异体移植受者中,仅6例可见隐窝细胞单细胞坏死。GVHD的组织学诊断需要皮肤改变大于I级和II级。直肠改变更具特异性,即使没有肠道症状也可能存在。

https://cdn.ncbi.nlm.nih.gov/pmc/blobs/def3/1141369/5ad19bc4c785/jclinpath00334-0032-a.jpg
https://cdn.ncbi.nlm.nih.gov/pmc/blobs/def3/1141369/ddc26dbf502d/jclinpath00334-0030-a.jpg
https://cdn.ncbi.nlm.nih.gov/pmc/blobs/def3/1141369/3e350a2d1dd2/jclinpath00334-0031-a.jpg
https://cdn.ncbi.nlm.nih.gov/pmc/blobs/def3/1141369/5ad19bc4c785/jclinpath00334-0032-a.jpg
https://cdn.ncbi.nlm.nih.gov/pmc/blobs/def3/1141369/ddc26dbf502d/jclinpath00334-0030-a.jpg
https://cdn.ncbi.nlm.nih.gov/pmc/blobs/def3/1141369/3e350a2d1dd2/jclinpath00334-0031-a.jpg
https://cdn.ncbi.nlm.nih.gov/pmc/blobs/def3/1141369/5ad19bc4c785/jclinpath00334-0032-a.jpg

相似文献

1
Histological features of skin and rectal biopsy specimens after autologous and allogeneic bone marrow transplantation.自体和异体骨髓移植后皮肤及直肠活检标本的组织学特征。
J Clin Pathol. 1988 Feb;41(2):148-54. doi: 10.1136/jcp.41.2.148.
2
Immunopathology of early graft-versus-host disease--a prospective study of skin, rectum, and peripheral blood in allogeneic and autologous bone marrow transplant recipients.早期移植物抗宿主病的免疫病理学——对异基因和自体骨髓移植受者的皮肤、直肠及外周血的前瞻性研究
Transplantation. 1991 Dec;52(6):1029-36. doi: 10.1097/00007890-199112000-00018.
3
Clinical significance of skin biopsies in the diagnosis and management of graft-vs-host disease in early postallogeneic bone marrow transplantation.皮肤活检在异基因骨髓移植早期移植物抗宿主病诊断和管理中的临床意义
Arch Dermatol. 2000 Jun;136(6):717-21. doi: 10.1001/archderm.136.6.717.
4
Human herpes virus-6 infection in marrow graft recipients: role in pathogenesis of graft-versus-host disease. Newcastle upon Tyne Bone Marrow Transport Group.骨髓移植受者中的人疱疹病毒6型感染:在移植物抗宿主病发病机制中的作用。泰恩河畔纽卡斯尔骨髓移植研究组。
Bone Marrow Transplant. 1995 Dec;16(6):777-82.
5
Skin biopsy in allogeneic and autologous bone marrow transplant patients: a histologic and immunohistochemical study and review of the literature.
Mod Pathol. 1995 Jan;8(1):59-64.
6
Expression of MHC class I and II antigens by keratinocytes and enterocytes in acute graft-versus-host disease. Newcastle Bone Marrow Transplant Group.急性移植物抗宿主病中角质形成细胞和肠上皮细胞MHC I类和II类抗原的表达。纽卡斯尔骨髓移植组
Bone Marrow Transplant. 1989 May;4(3):233-8.
7
Impact of pre-transplant depression on outcomes of allogeneic and autologous hematopoietic stem cell transplantation.移植前抑郁对异基因和自体造血干细胞移植结局的影响。
Cancer. 2017 May 15;123(10):1828-1838. doi: 10.1002/cncr.30546. Epub 2017 Jan 19.
8
Diagnosis of gastrointestinal graft-versus-host disease--is rectal biopsy enough?胃肠道移植物抗宿主病的诊断——直肠活检就足够了吗?
Pediatr Blood Cancer. 2007 May;48(5):561-6. doi: 10.1002/pbc.20924.
9
A histopathologic study of gastric and small intestinal graft-versus-host disease following allogeneic bone marrow transplantation.异基因骨髓移植后胃和小肠移植物抗宿主病的组织病理学研究。
Hum Pathol. 1985 Apr;16(4):387-92. doi: 10.1016/s0046-8177(85)80232-x.
10
Immunohistochemical changes in sigmoid colon after allogeneic and autologous bone marrow transplantation.同种异体和自体骨髓移植后乙状结肠的免疫组化变化
J Clin Pathol. 1995 Apr;48(4):308-13. doi: 10.1136/jcp.48.4.308.

引用本文的文献

1
Histologic analysis has a prognostical value in colorectal biopsies assessed for suspicion of graft-versus-host disease.组织学分析对于评估疑似移植物抗宿主病的结直肠活检具有预后价值。
Virchows Arch. 2018 Feb;472(2):213-220. doi: 10.1007/s00428-017-2272-2. Epub 2017 Nov 22.
2
Selectively T cell-depleted allografts from HLA-matched sibling donors followed by low-dose posttransplantation immunosuppression to improve transplantation outcome in patients with hematologic malignancies.选择性清除 HLA 匹配的同胞供者移植物中的 T 细胞,然后给予低剂量的移植后免疫抑制,以改善血液系统恶性肿瘤患者的移植结果。
Biol Blood Marrow Transplant. 2011 Dec;17(12):1855-61. doi: 10.1016/j.bbmt.2011.05.019. Epub 2011 May 31.
3

本文引用的文献

1
Bone marrow transplantation for the treatment of hematologic malignancy and of aplastic anemia.用于治疗血液系统恶性肿瘤和再生障碍性贫血的骨髓移植。
Transplant Proc. 1981 Mar;13(1 Pt 1):221-6.
2
The diagnostic accuracy of the rectal biopsy in acute graft-versus-host disease: a prospective study of thirteen patients.直肠活检在急性移植物抗宿主病中的诊断准确性:一项对13例患者的前瞻性研究。
Gastroenterology. 1980 Apr;78(4):764-71.
3
Marrow transplantation in genetic disease.遗传性疾病中的骨髓移植
Colon biopsies for evaluation of acute graft-versus-host disease (A-GVHD) in allogeneic bone marrow transplant patients.
对异基因骨髓移植患者进行结肠活检以评估急性移植物抗宿主病(A-GVHD)。
BMC Gastroenterol. 2003 Mar 27;3:5. doi: 10.1186/1471-230x-3-5.
4
Current thoughts on the pathogenesis of graft versus host disease.关于移植物抗宿主病发病机制的当前观点。
J Clin Pathol. 1993 Sep;46(9):785-9. doi: 10.1136/jcp.46.9.785.
5
Diagnostic features of transfusion associated graft versus host disease.输血相关移植物抗宿主病的诊断特征。
J Clin Pathol. 1994 Jun;47(6):541-6. doi: 10.1136/jcp.47.6.541.
6
Increase in severity of graft versus host disease by cytomegalovirus.巨细胞病毒导致移植物抗宿主病严重程度增加。
J Clin Pathol. 1992 Jun;45(6):542-4. doi: 10.1136/jcp.45.6.542.
N Engl J Med. 1984 Dec 20;311(25):1629-31. doi: 10.1056/NEJM198412203112509.
4
The pathophysiology and treatment of graft-versus-host disease.移植物抗宿主病的病理生理学与治疗
Clin Haematol. 1983 Oct;12(3):775-89. doi: 10.1016/s0308-2261(83)80010-1.
5
Early secondary disease in the Rhesus monkey. I. A comparative histopathologic study.
Lab Invest. 1969 Jun;20(6):499-511.
6
A light and electron microscopic study of the effects of a single dose of cyclophosphamide on various organs in the rat. I. The urinary bladder.单次剂量环磷酰胺对大鼠各器官影响的光镜和电镜研究。I. 膀胱
Lab Invest. 1967 Jan;16(1):44-65.
7
Histopathology of graft-vs.-host reaction (GvHR) in human recipients of marrow from HL-A-matched sibling donors.HL-A 配型相合的同胞供者骨髓人类受者移植物抗宿主反应(GvHR)的组织病理学
Transplant Proc. 1974 Dec;6(4):367-71.
8
Clinical manifestations of graft-versus-host disease in human recipients of marrow from HL-A-matched sibling donors.接受HL-A配型相合的同胞供者骨髓的人类受者中移植物抗宿主病的临床表现。
Transplantation. 1974 Oct;18(4):295-304. doi: 10.1097/00007890-197410000-00001.
9
The histological diagnosis of cutaneous graft versus host disease: relationship of skin changes to marrow purging and other clinical variables.
Histopathology. 1987 Feb;11(2):145-55. doi: 10.1111/j.1365-2559.1987.tb02618.x.
10
Mononuclear cell subpopulations in the skin defined by monoclonal antibodies after HLA-identical sibling marrow transplantation.在 HLA 同型同胞骨髓移植后,用单克隆抗体定义的皮肤中的单核细胞亚群。
Br J Dermatol. 1986 Feb;114(2):145-60. doi: 10.1111/j.1365-2133.1986.tb02793.x.