Suppr超能文献

成人肺移植后并发特发性肺含铁血黄素沉着症伴气肿性改变。

Idiopathic Pulmonary Hemosiderosis Associated with Emphysematous Change in an Adult Who Underwent Lung Transplantation.

机构信息

Department of Respiratory Medicine, Saiseikai Yokohamashi Tobu Hospital, Japan.

Department of Pathology, Kanagawa Cardiovascular and Respiratory Center, Japan.

出版信息

Intern Med. 2021 Jan 1;60(1):117-122. doi: 10.2169/internalmedicine.5142-20. Epub 2020 Aug 22.

Abstract

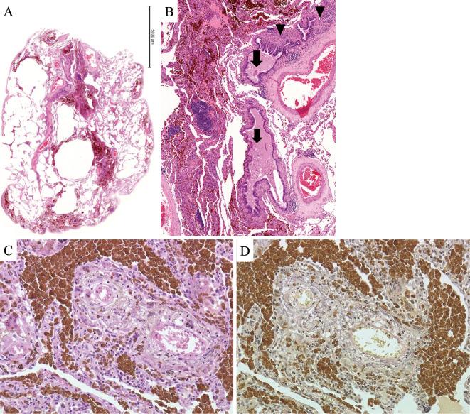
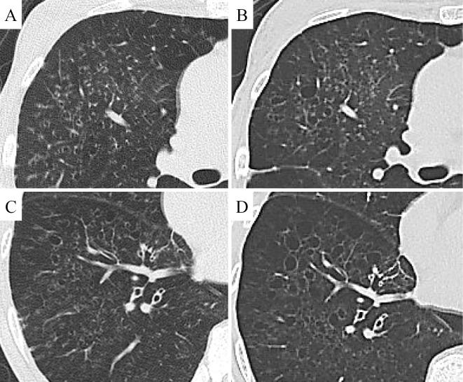
Idiopathic pulmonary hemosiderosis is characterized by repeated alveolar hemorrhaging. We herein report a 52-year-old Japanese woman who had shortness of breath, diffuse small nodules, thin-walled cysts, and bronchiolectasis. A surgical lung biopsy revealed peribronchial hemosiderosis, centrilobular emphysema, and fragile elastic fibers of the alveolar septa and small vessels. She ultimately underwent living-donor lung transplantation five years after the first visit.

摘要

特发性肺含铁血黄素沉着症的特征是反复肺泡出血。我们在此报告一例 52 岁日本女性,其症状为呼吸困难、弥漫性小结节、薄壁囊肿和支气管扩张。外科肺活检显示支气管周围含铁血黄素沉着症、小叶中心性肺气肿和肺泡隔及小血管脆弱的弹性纤维。她在首次就诊五年后最终接受了活体供肺移植。

https://cdn.ncbi.nlm.nih.gov/pmc/blobs/66c4/7835464/99f3f57eaa69/1349-7235-60-0117-g001.jpg

文献AI研究员

20分钟写一篇综述,助力文献阅读效率提升50倍。

立即体验

用中文搜PubMed

大模型驱动的PubMed中文搜索引擎

马上搜索

文档翻译

学术文献翻译模型,支持多种主流文档格式。

立即体验