Suppr超能文献

体外膜肺氧合成功治疗气道阻塞型肺腺癌。

Successful use of extracorporeal membrane oxygenation for airway-obstructing lung adenocarcinoma.

机构信息

Department of General Thoracic Surgery, Faculty of Medicine, University of Tsukuba, Tsukuba, Japan.

Department of Emergency and Critical Care Medicine, Faculty of Medicine, University of Tsukuba, Tsukuba, Japan.

出版信息

Thorac Cancer. 2020 Oct;11(10):3024-3028. doi: 10.1111/1759-7714.13623. Epub 2020 Aug 26.

Abstract

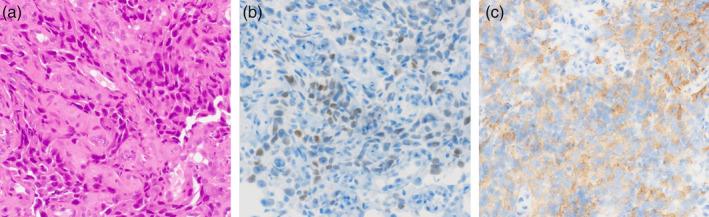
Endobronchial-invasive lung cancers are generally diagnosed at advanced stages and may require emergency treatment for airway obstruction. Stent implantation is a common intervention for such obstructed airways but certain subsets of patients cannot receive adequate treatment without respiratory support. Veno-venous extracorporeal membrane oxygenation (ECMO) is a salvage therapy for respiratory failure but its usefulness in managing patients with advanced lung cancer remains unclear given the poor prognosis. In recent years, molecular targeted agents for patients with driver mutations offer rapid responses and may be administered even while under critical care. In this report, we describe the case of 39-year-old female who presented to our emergency department with severe respiratory distress. A computed tomography scan revealed a large mediastinal tumor invading the tracheal carina causing severe stenosis of the left main bronchus and right main pulmonary artery. ECMO support was required as the respiratory condition remained unstable despite high pressure ventilation. Under ECMO support, the patient underwent bronchial stent implantation and was successfully weaned off ECMO. The tumor was histologically diagnosed as pulmonary adenocarcinoma with anaplastic lymphoma kinase gene rearrangement. Treatment with a tyrosine kinase inhibitor, alectinib, induced a marked tumor reduction within a short period. The patient recovered well and is now in remission one year later. This case indicates that intensive respiratory support with ECMO may become a bridge through the critical period for selected patients with respiratory failure secondary to advanced lung cancer. KEY POINTS: SIGNIFICANT FINDINGS OF THIS STUDY: ECMO was important to maintain oxygenation during airway intervention for acute respiratory failure due to critical lung adenocarcinoma with ALK gene rearrangement. WHAT THIS STUDY ADDS: With the development of targeted therapies and the improvement in therapeutic bronchoscopy, intensive respiratory support with ECMO may be helpful especially in selected lung cancer patients with oncogenic driver mutations.

摘要

支气管内浸润性肺癌通常在晚期诊断,可能需要紧急治疗气道阻塞。支架植入是治疗这种阻塞气道的常见干预措施,但某些亚组患者如果没有呼吸支持,就无法得到充分的治疗。静脉-静脉体外膜肺氧合(ECMO)是治疗呼吸衰竭的抢救疗法,但由于预后较差,其在管理晚期肺癌患者中的作用尚不清楚。近年来,针对驱动基因突变患者的分子靶向药物可迅速缓解症状,甚至在重症监护下也可给药。在本报告中,我们描述了一位 39 岁女性的病例,她因严重呼吸窘迫到我们的急诊科就诊。计算机断层扫描显示纵隔大肿瘤侵犯气管隆嵴,导致左主支气管和右主肺动脉严重狭窄。尽管进行了高压力通气,但呼吸状况仍不稳定,因此需要 ECMO 支持。在 ECMO 支持下,患者接受了支气管支架植入,并成功脱机 ECMO。肿瘤组织学诊断为肺腺癌伴间变性淋巴瘤激酶基因重排。用酪氨酸激酶抑制剂阿来替尼治疗后,肿瘤在短时间内明显缩小。患者恢复良好,一年后仍处于缓解期。该病例表明,对于因晚期肺癌导致呼吸衰竭的选定患者,在气道介入期间进行强化呼吸支持并使用 ECMO 可能成为渡过危急期的桥梁。

关键点

本研究的重要发现

对于因关键肺腺癌伴 ALK 基因重排导致的急性呼吸衰竭患者,ECMO 对于维持氧合至关重要。

本研究的补充内容

随着靶向治疗的发展和治疗性支气管镜技术的进步,强化呼吸支持并使用 ECMO 可能特别有助于具有致癌驱动基因突变的选定肺癌患者。

https://cdn.ncbi.nlm.nih.gov/pmc/blobs/e2c7/7529569/342a763f7b1a/TCA-11-3024-g001.jpg

文献检索

告别复杂PubMed语法,用中文像聊天一样搜索,搜遍4000万医学文献。AI智能推荐,让科研检索更轻松。

立即免费搜索

文件翻译

保留排版,准确专业,支持PDF/Word/PPT等文件格式,支持 12+语言互译。

免费翻译文档

深度研究

AI帮你快速写综述,25分钟生成高质量综述,智能提取关键信息,辅助科研写作。

立即免费体验