Suppr超能文献

胎儿在 32 周前分娩的产前胸腺体积:一项 MRI 初步研究。

Antenatal thymus volumes in fetuses that delivered <32 weeks' gestation: An MRI pilot study.

机构信息

Department of Women and Children's Health, School of Life Sciences, King's College London, London, UK.

Fetal Medicine Unit, St Thomas' Hospital, London, UK.

出版信息

Acta Obstet Gynecol Scand. 2021 Jun;100(6):1040-1050. doi: 10.1111/aogs.13983. Epub 2020 Sep 24.

Abstract

INTRODUCTION

Infection and inflammation have been implicated in the etiology and subsequent morbidity associated with preterm birth. At present, there are no tests to assess for fetal compartment infection. The thymus, a gland integral in the fetal immune system, has been shown to involute in animal models of antenatal infection, but its response in human fetuses has not been studied. This study aims: (a) to generate magnetic resonance imaging (MRI) -derived fetal thymus volumes standardized for fetal weight; (b) to compare standardized thymus volumes from fetuses that delivered before 32 weeks of gestation with fetuses that subsequently deliver at term; (c) to assess thymus size as a predictor of preterm birth; and (d) to correlate the presence of chorioamnionitis and funisitis at delivery with thymic volumes in utero in fetuses that subsequently deliver preterm.

MATERIAL AND METHODS

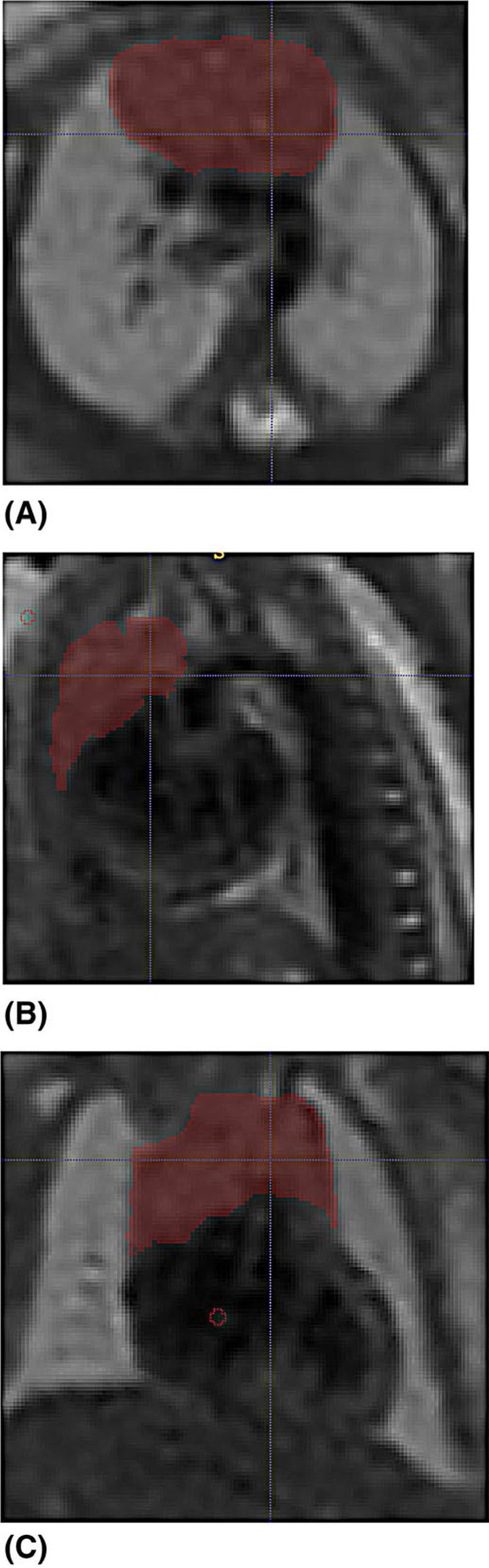
Women at high-risk of preterm birth at 20-32 weeks of gestation were recruited. A control group was obtained from existing data sets acquired as part of three research studies. A fetal MRI was performed on a 1.5T or 3T MRI scanner: T2 weighted images were obtained of the entire uterine content and specifically the fetal thorax. A slice-to-volume registration method was used for reconstruction of three-dimensional images of the thorax. Thymus segmentations were performed manually. Body volumes were calculated by manual segmentation and thymus:body volume ratios were generated. Comparison of groups was performed using multiple regression analysis. Normal ranges were created for thymus volume and thymus:body volume ratios using the control data. Receiver operating curves (ROC) curves were generated for thymus:body volume ratio and gestation-adjusted thymus volume centiles as predictors of preterm birth. Placental histology was analyzed where available from pregnancies that delivered very preterm and the presence of chorioamnionitis/funisitis was noted.

RESULTS

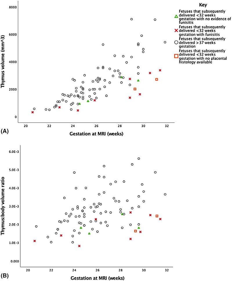
Normative ranges were created for thymus volume, and thymus volume was standardized for fetal size from fetuses that subsequently delivered at term, but were imaged at 20-32 weeks of gestation. Image data sets from 16 women that delivered <32 weeks of gestation (ten with ruptured membranes and six with intact membranes) and 80 control women that delivered >37 weeks were included. Mean gestation at MRI of the study group was 28  weeks (SD 3.2) and for the control group was 25  weeks (SD 2.4). Both absolute fetal thymus volumes and thymus:body volume ratios were smaller in fetuses that delivered preterm (P < .001). Of the 16 fetuses that delivered preterm, 13 had placental histology, 11 had chorioamnionitis, and 9 had funisitis. The strongest predictors of prematurity were the thymus volume Z-score and thymus:body volume ratio Z-score (ROC areas 0.915 and 0.870, respectively).

CONCLUSIONS

We have produced MRI-derived normal ranges for fetal thymus and thymus:body volume ratios between 20 and 32 weeks of gestation. Fetuses that deliver very preterm had reduced thymus volumes when standardized for fetal size. A reduced thymus volume was also a predictor of spontaneous preterm delivery. Thymus volume may be a suitable marker of the fetal inflammatory response, although further work is needed to assess this, increasing the sample size to correlate the extent of chorioamnionitis with thymus size.

摘要

简介

感染和炎症与早产的病因学和随后的发病率有关。目前,没有测试来评估胎儿隔室感染。胸腺是胎儿免疫系统中不可或缺的腺体,在产前感染的动物模型中已显示出退化,但尚未研究其在人类胎儿中的反应。本研究旨在:(a)生成基于胎儿体重的磁共振成像(MRI)衍生的胎儿胸腺体积标准值;(b)比较在 32 周前分娩的胎儿与随后足月分娩的胎儿的标准化胸腺体积;(c)评估胸腺大小作为早产的预测指标;(d)评估分娩时绒毛膜羊膜炎和脐带炎的存在与随后早产分娩胎儿宫内胸腺体积的相关性。

材料和方法

招募了妊娠 20-32 周有早产高危因素的孕妇。对照组来自作为三项研究一部分获得的现有数据集。在 1.5T 或 3T MRI 扫描仪上进行胎儿 MRI:获得整个子宫内容物和胎儿胸部的 T2 加权图像。使用切片到体积配准方法对胸部的三维图像进行重建。手动进行胸腺分割。通过手动分割计算体体积,并生成胸腺:体体积比。使用多元回归分析比较组间差异。使用对照组数据创建胸腺体积和胸腺:体体积比的正常范围。生成胸腺:体体积比和胎龄校正的胸腺体积百分位数作为早产预测指标的接收者操作曲线(ROC)曲线。对非常早产分娩的妊娠进行胎盘组织学分析,并注意绒毛膜羊膜炎/脐带炎的存在。

结果

为胎儿胸腺体积和从随后足月分娩但在 20-32 周妊娠时成像的胎儿中标准化的胎儿大小的胸腺体积创建了正常范围。纳入了 16 名在 <32 周分娩的孕妇(10 名胎膜破裂,6 名胎膜完整)和 80 名在 >37 周分娩的对照组孕妇的图像数据集。研究组 MRI 平均妊娠 28 周(SD 3.2),对照组为 25 周(SD 2.4)。早产分娩的胎儿的胎儿胸腺体积绝对值和胸腺:体体积比均较小(P < 0.001)。在 16 名早产的胎儿中,有 13 名有胎盘组织学,11 名有绒毛膜羊膜炎,9 名有脐带炎。早产的最强预测指标是胸腺体积 Z 分数和胸腺:体体积比 Z 分数(ROC 面积分别为 0.915 和 0.870)。

结论

我们已经生成了 20 至 32 周妊娠期间胎儿胸腺和胸腺:体体积比的 MRI 衍生正常范围。当按胎儿大小标准化时,极早产分娩的胎儿胸腺体积减少。较小的胸腺体积也是自发性早产的预测指标。胸腺体积可能是胎儿炎症反应的合适标志物,尽管需要进一步工作来评估这一点,增加样本量以将绒毛膜羊膜炎的程度与胸腺大小相关联。

https://cdn.ncbi.nlm.nih.gov/pmc/blobs/4030/7614117/583fa15b2fc5/EMS157883-f001.jpg

文献AI研究员

20分钟写一篇综述,助力文献阅读效率提升50倍。

立即体验

用中文搜PubMed

大模型驱动的PubMed中文搜索引擎

马上搜索

文档翻译

学术文献翻译模型,支持多种主流文档格式。

立即体验