• 文献检索
  • 文档翻译
  • 深度研究
  • 学术资讯
  • Suppr Zotero 插件Zotero 插件
  • 邀请有礼
  • 套餐&价格
  • 历史记录
应用&插件
Suppr Zotero 插件Zotero 插件浏览器插件Mac 客户端Windows 客户端微信小程序
定价
高级版会员购买积分包购买API积分包
服务
文献检索文档翻译深度研究API 文档MCP 服务
关于我们
关于 Suppr公司介绍联系我们用户协议隐私条款
关注我们

Suppr 超能文献

核心技术专利:CN118964589B侵权必究
粤ICP备2023148730 号-1Suppr @ 2026

文献检索

告别复杂PubMed语法,用中文像聊天一样搜索,搜遍4000万医学文献。AI智能推荐,让科研检索更轻松。

立即免费搜索

文件翻译

保留排版,准确专业,支持PDF/Word/PPT等文件格式,支持 12+语言互译。

免费翻译文档

深度研究

AI帮你快速写综述,25分钟生成高质量综述,智能提取关键信息,辅助科研写作。

立即免费体验

骶前髓脂肪瘤:病例报告及文献综述

Presacral myelolipoma, case report and literature review.

作者信息

Cleven A H G, Hanff D F, Hartgrink H, Dijkstra P D S

机构信息

Department of Orthopaedic and Traumatology, Adam Malik General Hospital / Faculty of Medicine Universitas Sumatera Utara, Medan, Indonesia.

Department of Pathology, Leiden University Medical Center, Leiden, the Netherlands.

出版信息

Ann Med Surg (Lond). 2020 Aug 2;57:274-280. doi: 10.1016/j.amsu.2020.07.002. eCollection 2020 Sep.

DOI:10.1016/j.amsu.2020.07.002
PMID:32904073
原文链接:https://pmc.ncbi.nlm.nih.gov/articles/PMC7452051/
Abstract

INTRODUCTION

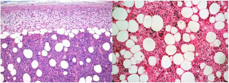
Myelolipomas are very rare benign tumours consisting of hematopoietic cells and mature adipose tissues. They are most commonly found in the adrenal glands. However, there have been several reported cases of extra-adrenal myelolipomas, most commonly in the presacral region. Nearly all presacral lesions are small and asymptomatic; thus, most are discovered incidentally on imaging studies.

PRESENTATION OF CASE

We report two cases of presacral myelolipomas. The first is a 48-year-old female presenting with atypical back pain, found to have a mass in her presacral region with a size of 3,3 cm. The second case is a 59-year-old female, who presented for evaluation of a hip fracture, found to have a 4,7 cm presacral lesion. Both presacral myelolipomas were discovered incidentally and were confirmed by percutaneous guided fine-needle aspiration biopsy. Both were treated conservatively.

DISCUSSION

Accepted indications for the surgical excision of myelolipomas are symptomatic tumour, size >4 cm, metabolically active tumour, and a suspicion of malignancy on an imaging study. However, previous reports have documented that nearly half of the conservatively managed myelolipomas with a mean initial size of 5,1 cm, has increased in size or became symptomatic over a 3-years period.

CONCLUSION

We conclude that symptomatic presacral myelolipomas or lesions larger than 4 cm should be en-bloc resected, and we present an intuitive decision-making algorithm.

摘要

引言

髓脂肪瘤是由造血细胞和成熟脂肪组织构成的极为罕见的良性肿瘤。它们最常出现在肾上腺。然而,已有数例肾上腺外髓脂肪瘤的报道,最常见于骶前区域。几乎所有骶前病变都较小且无症状;因此,大多数是在影像学检查时偶然发现的。

病例介绍

我们报告两例骶前髓脂肪瘤。第一例是一名48岁女性,表现为非典型背痛,发现骶前区域有一个大小为3.3厘米的肿块。第二例是一名59岁女性,因髋部骨折前来评估,发现有一个4.7厘米的骶前病变。这两例骶前髓脂肪瘤均为偶然发现,并经皮引导细针穿刺活检确诊。两例均采用保守治疗。

讨论

髓脂肪瘤手术切除的公认指征是有症状的肿瘤、大小>4厘米、代谢活跃的肿瘤以及影像学检查怀疑为恶性。然而,既往报道显示,平均初始大小为5.1厘米的保守治疗的髓脂肪瘤中,近一半在3年期间大小增加或出现症状。

结论

我们得出结论,有症状的骶前髓脂肪瘤或大于4厘米的病变应整块切除,并且我们提出了一种直观的决策算法。

https://cdn.ncbi.nlm.nih.gov/pmc/blobs/42dd/7452051/315f7b7a966f/gr4.jpg
https://cdn.ncbi.nlm.nih.gov/pmc/blobs/42dd/7452051/9e0c158dd163/gr1.jpg
https://cdn.ncbi.nlm.nih.gov/pmc/blobs/42dd/7452051/edaa81b839d6/gr2.jpg
https://cdn.ncbi.nlm.nih.gov/pmc/blobs/42dd/7452051/9c0baa83b4f6/gr3.jpg
https://cdn.ncbi.nlm.nih.gov/pmc/blobs/42dd/7452051/315f7b7a966f/gr4.jpg
https://cdn.ncbi.nlm.nih.gov/pmc/blobs/42dd/7452051/9e0c158dd163/gr1.jpg
https://cdn.ncbi.nlm.nih.gov/pmc/blobs/42dd/7452051/edaa81b839d6/gr2.jpg
https://cdn.ncbi.nlm.nih.gov/pmc/blobs/42dd/7452051/9c0baa83b4f6/gr3.jpg
https://cdn.ncbi.nlm.nih.gov/pmc/blobs/42dd/7452051/315f7b7a966f/gr4.jpg

相似文献

1
Presacral myelolipoma, case report and literature review.骶前髓脂肪瘤:病例报告及文献综述
Ann Med Surg (Lond). 2020 Aug 2;57:274-280. doi: 10.1016/j.amsu.2020.07.002. eCollection 2020 Sep.
2
Multidisciplinary diagnostic approach combining fine needle aspiration, core needle biopsy and imaging features of a presacral myelolipoma in a patient with concurrent breast cancer.一名同时患有乳腺癌的患者,采用多学科诊断方法,结合细针穿刺抽吸、粗针活检以及骶前髓脂肪瘤的影像学特征。
Pathol Res Pract. 2015 Mar;211(3):261-3. doi: 10.1016/j.prp.2014.12.004. Epub 2014 Dec 23.
3
Primary mediastinal myelolipoma: A case report and review of the literature.原发性纵隔髓脂肪瘤:一例报告并文献复习
Oncol Lett. 2013 Mar;5(3):862-864. doi: 10.3892/ol.2012.1085. Epub 2012 Dec 19.
4
Presacral myelolipoma in a patient with colon carcinoma.一名结肠癌患者的骶前髓脂肪瘤。
J Exp Clin Cancer Res. 2001 Sep;20(3):451-4.
5
Incidentally discovered adrenal myelolipoma. Report on 3 operated patients and update of the literature.偶然发现的肾上腺髓脂肪瘤。3例手术患者报告及文献综述
Arch Ital Urol Androl. 2002 Sep;74(3):146-51.
6
Incidental Presacral Myelolipoma Resembling the Liposarcoma: A Case Report and Literature Review.酷似脂肪肉瘤的骶前髓脂肪瘤:一例报告及文献复习
Case Rep Urol. 2016;2016:6510930. doi: 10.1155/2016/6510930. Epub 2016 Dec 28.
7
Meta-analysis of reported presacral myelolipomas, including a report of a new case.报告性骶前髓脂肪瘤的荟萃分析,包括 1 例新病例报告。
J Med Case Rep. 2023 Feb 1;17(1):31. doi: 10.1186/s13256-022-03746-4.
8
Primary myelolipoma presenting as a nasal cavity polyp: a case report and review of the literature.表现为鼻腔息肉的原发性髓脂肪瘤:一例报告并文献复习
J Med Case Rep. 2012 May 14;6:127. doi: 10.1186/1752-1947-6-127.
9
Extra-Adrenal Myelolipoma Containing Small Lymphocytic Lymphoma/Chronic Lymphocytic Leukemia: A Case Report and Review of the Literature.含小淋巴细胞淋巴瘤/慢性淋巴细胞白血病的肾上腺外髓脂肪瘤:1例报告并文献复习
Case Rep Hematol. 2016;2016:7364951. doi: 10.1155/2016/7364951. Epub 2016 Mar 29.
10
Presacral myelolipoma as a possible parasymptom of cancer: A case report.骶前髓脂肪瘤作为癌症可能的副症状:一例报告。
Rare Tumors. 2018 Apr 23;10:2036361318772124. doi: 10.1177/2036361318772124. eCollection 2018.

引用本文的文献

1
Malicious Tumor? Pathological Fracture of the Femur in Children Caused by Myelolipoma: A Case Report and Review of Literatures.恶性肿瘤?髓脂肪瘤导致儿童股骨病理性骨折:一例报告并文献复习
Case Rep Oncol Med. 2024 May 15;2024:5838618. doi: 10.1155/2024/5838618. eCollection 2024.
2
Meta-analysis of reported presacral myelolipomas, including a report of a new case.报告性骶前髓脂肪瘤的荟萃分析,包括 1 例新病例报告。
J Med Case Rep. 2023 Feb 1;17(1):31. doi: 10.1186/s13256-022-03746-4.
3
Surgical management and outcome of Extra-adrenal myelolipomas at unusual locations: A report of 11 cases in a single center.

本文引用的文献

1
The SCARE 2018 statement: Updating consensus Surgical CAse REport (SCARE) guidelines.SCARE 2018 声明:更新共识手术病例报告(SCARE)指南。
Int J Surg. 2018 Dec;60:132-136. doi: 10.1016/j.ijsu.2018.10.028. Epub 2018 Oct 18.
2
Presacral Myelolipoma: Diagnosis on Imaging With Pathologic and Clinical Correlation.骶前髓脂肪瘤:影像诊断与病理及临床对照
AJR Am J Roentgenol. 2016 Sep;207(3):470-81. doi: 10.2214/AJR.15.15280. Epub 2016 Jun 1.
3
Extra-Adrenal Myelolipoma Containing Small Lymphocytic Lymphoma/Chronic Lymphocytic Leukemia: A Case Report and Review of the Literature.
特殊部位肾上腺外髓脂肪瘤的手术治疗及结果:单中心11例报告
J Bone Oncol. 2022 Jun 7;35:100438. doi: 10.1016/j.jbo.2022.100438. eCollection 2022 Aug.
含小淋巴细胞淋巴瘤/慢性淋巴细胞白血病的肾上腺外髓脂肪瘤:1例报告并文献复习
Case Rep Hematol. 2016;2016:7364951. doi: 10.1155/2016/7364951. Epub 2016 Mar 29.
4
Presacral myelolipoma: Imaging features.
Presse Med. 2015 Nov;44(11):1196-8. doi: 10.1016/j.lpm.2015.09.004. Epub 2015 Oct 21.
5
Multidisciplinary diagnostic approach combining fine needle aspiration, core needle biopsy and imaging features of a presacral myelolipoma in a patient with concurrent breast cancer.一名同时患有乳腺癌的患者,采用多学科诊断方法,结合细针穿刺抽吸、粗针活检以及骶前髓脂肪瘤的影像学特征。
Pathol Res Pract. 2015 Mar;211(3):261-3. doi: 10.1016/j.prp.2014.12.004. Epub 2014 Dec 23.
6
Presacral myelolipoma. A case report and literature review.骶前髓脂肪瘤。病例报告及文献综述。
Neuroradiol J. 2014 Dec;27(6):764-9. doi: 10.15274/NRJ-2014-10092. Epub 2014 Dec 1.
7
An unusual fat-containing presacral tumor in an elderly patient.一名老年患者体内出现的罕见含脂肪骶前肿瘤。
Case Rep Radiol. 2014;2014:674365. doi: 10.1155/2014/674365. Epub 2014 Feb 6.
8
Radiologic-pathologic correlation in extra-adrenal myelolipoma.
Abdom Imaging. 2014 Apr;39(2):394-7. doi: 10.1007/s00261-013-0062-0.
9
Presacral myelolipoma: a case report and review of imaging findings.骶前髓脂肪瘤:一例报告及影像学表现回顾
J Radiol Case Rep. 2012 Jun;6(6):1-9. doi: 10.3941/jrcr.v6i6.1095. Epub 2012 Jun 1.
10
Immediate laparoscopic adrenalectomy versus observation: cost evaluation for incidental adrenal lesions with atypical imaging characteristics.即刻腹腔镜肾上腺切除术与观察:具有非典型影像学特征的意外肾上腺病变的成本评估。
Am J Surg. 2012 Oct;204(4):462-7. doi: 10.1016/j.amjsurg.2012.02.009. Epub 2012 May 15.