Suppr超能文献

一种罕见的局限性结肠嗜酸性血管炎伴脾脏和肝脏广泛血栓形成:病例报告及文献复习

An uncommon form of localized colonic eosinophilic vasculitis with extensive thrombosis of the spleen and liver: A case report and literature review.

作者信息

Huang Shu-Huan, Wu Ren-Chin, Liao Chun-Kai

机构信息

Division of Colon and Rectal Surgery, Department of Surgery, Linkou Chang Gung Memorial Hospital, Taoyuan, 333, Taiwan.

Department of Anatomic Pathology, Linkou Chang Gung Memorial Hospital and Chang Gung University College of Medicine, Taoyuan, 333, Taiwan.

出版信息

Int J Surg Case Rep. 2020;75:50-52. doi: 10.1016/j.ijscr.2020.09.006. Epub 2020 Sep 6.

Abstract

INTRODUCTION

Localized vasculitis of the gastrointestinal tract is an uncommon disease that mainly presents as polyarteritis nodosa and is mainly located on small bowel and gall bladder. Localized eosinophilic vasculitis of the colon, which needs surgical intervention, has never been reported before.

CASE PRESENTATION

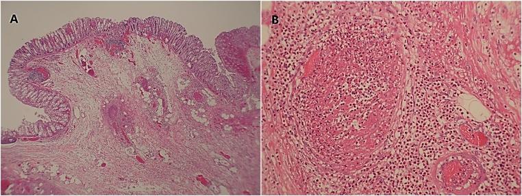
A 40-year-old man was diagnosed with localized eosinophilic vasculitis of the colon with an initial presentation of necrotizing colitis of ascending colon. After right hemicolectomy, extensive thrombosis of the liver and spleen occurred with the presentation of abdominal pain. The histopathological analysis revealed ischemic colitis with eosinophilic vasculitis in medium-sized vessels throughout the colon. The thrombosis was improved after prednisolone and azathioprine were given. The results of all autoimmune tests, including those for anti-neutrophil cytoplasmic antibodies, were all negative except the elevation of serum immunoglobulin E (680 kU/L [normal, <25 kU/L]).

CONCLUSION

Although the patient failed to meet the criteria of the Churg-Strauss syndrome, this case may represent an atypical localized variant of eosinophilic vasculitis of the gastrointestinal tract. Immunosuppressant therapy should be considered after surgery.

摘要

引言

胃肠道局限性血管炎是一种罕见疾病,主要表现为结节性多动脉炎,主要位于小肠和胆囊。此前从未有过需要手术干预的结肠局限性嗜酸性血管炎的报道。

病例介绍

一名40岁男性被诊断为结肠局限性嗜酸性血管炎,最初表现为升结肠坏死性结肠炎。右半结肠切除术后,出现肝脏和脾脏广泛血栓形成,并伴有腹痛。组织病理学分析显示全结肠中型血管存在嗜酸性血管炎的缺血性结肠炎。给予泼尼松龙和硫唑嘌呤后血栓形成情况有所改善。除血清免疫球蛋白E升高(680 kU/L[正常,<25 kU/L])外,所有自身免疫检测结果,包括抗中性粒细胞胞浆抗体检测结果均为阴性。

结论

尽管该患者不符合变应性肉芽肿性血管炎的标准,但该病例可能代表胃肠道嗜酸性血管炎的一种非典型局限性变异型。术后应考虑免疫抑制治疗。

https://cdn.ncbi.nlm.nih.gov/pmc/blobs/ec23/7490986/a865b2638893/gr1.jpg

文献AI研究员

20分钟写一篇综述,助力文献阅读效率提升50倍。

立即体验

用中文搜PubMed

大模型驱动的PubMed中文搜索引擎

马上搜索

文档翻译

学术文献翻译模型,支持多种主流文档格式。

立即体验