Suppr超能文献

胆管坏死的病理生理学及影像学表现:肝肿瘤经动脉治疗的一种罕见但严重的并发症

Pathophysiology and Imaging Findings of Bile Duct Necrosis: A Rare but Serious Complication of Transarterial Therapy for Liver Tumors.

作者信息

Kobayashi Satoshi, Kozaka Kazuto, Gabata Toshifumi, Matsui Osamu, Koda Wataru, Okuda Miho, Okumura Kenichiro, Sugiura Takumi, Ogi Takahiro

机构信息

Department of Radiology, Kanazawa University Graduate School of Medical Sciences, 13-1, Takara Machi, Kanazawa 920-8641, Japan.

出版信息

Cancers (Basel). 2020 Sep 11;12(9):2596. doi: 10.3390/cancers12092596.

Abstract

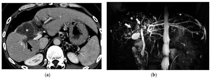
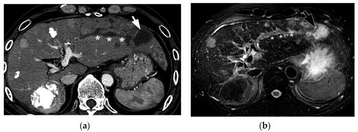
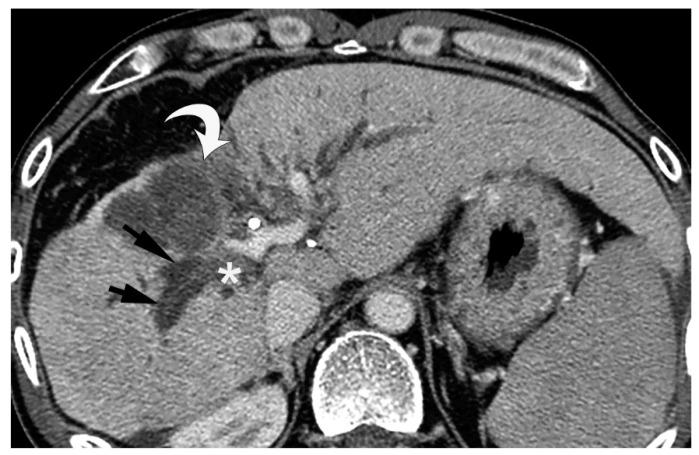
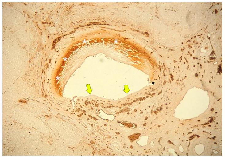
Bile duct necrosis (BDN) with biloma formation is a type of ischemic bile duct injury that is one of the serious complications associated with transarterial therapies, such as transcatheter chemoembolization therapy (TACE), and radioembolization for hepatocellular carcinoma (HCC) and hepatic arterial infusion chemotherapy (HAIC) for metastatic liver cancer from colorectal carcinoma. In terms of the occurrence of BDN and subsequent biloma formation, ischemic injury to the peribiliary vascular plexus (PBP), the supporting vessel of bile duct epithelium, is thought to be intimately associated. In this paper, we first describe the anatomy, blood supply, and function of the intrahepatic bile duct, and then illustrate the pathophysiology of BDN, and finally present the imaging findings of BDN. Under the process of BDN formation, ischemia of the PBP induces the disruption of the bile duct epithelial protection mechanism that causes coagulation and fibrinoid necrosis of the surrounding tissue by the detergent action of exuded bile acids, and eventually a biloma forms. Once BDN occurs, persistent tissue damage to the surrounding bile duct is induced by imbibed bile acids, and portal vein thrombosis may also be observed. On pre-contrast and contrast-enhanced computed tomography (CT), BDN shows similar findings to intrahepatic bile duct dilatation, and, therefore, it is sometimes misdiagnosed. Differentiation of imaging findings on CT and ultrasound (US)/magnetic resonance (MR) imaging/MR cholangiopancreatography (MRCP) is important for correct diagnosis of BDN.

摘要

伴有胆汁瘤形成的胆管坏死(BDN)是一种缺血性胆管损伤,是经动脉治疗相关的严重并发症之一,如经导管肝动脉化疗栓塞术(TACE)、肝细胞癌(HCC)的放射性栓塞以及结直肠癌肝转移的肝动脉灌注化疗(HAIC)。就BDN的发生及随后胆汁瘤的形成而言,胆管周围血管丛(PBP)(胆管上皮的支持血管)的缺血性损伤被认为与之密切相关。在本文中,我们首先描述肝内胆管的解剖结构、血液供应和功能,然后阐述BDN的病理生理学,最后介绍BDN的影像学表现。在BDN形成过程中,PBP的缺血会导致胆管上皮保护机制的破坏,渗出的胆汁酸通过去污剂作用导致周围组织发生凝固性坏死和纤维蛋白样坏死,最终形成胆汁瘤。一旦发生BDN,吸收的胆汁酸会导致周围胆管持续的组织损伤,还可能观察到门静脉血栓形成。在平扫及增强计算机断层扫描(CT)上,BDN表现与肝内胆管扩张相似,因此有时会被误诊。CT及超声(US)/磁共振(MR)成像/磁共振胰胆管造影(MRCP)上影像学表现的鉴别对于BDN的正确诊断很重要。

https://cdn.ncbi.nlm.nih.gov/pmc/blobs/0b9f/7565329/125df1c0c2b6/cancers-12-02596-g001.jpg

文献检索

告别复杂PubMed语法,用中文像聊天一样搜索,搜遍4000万医学文献。AI智能推荐,让科研检索更轻松。

立即免费搜索

文件翻译

保留排版,准确专业,支持PDF/Word/PPT等文件格式,支持 12+语言互译。

免费翻译文档

深度研究

AI帮你快速写综述,25分钟生成高质量综述,智能提取关键信息,辅助科研写作。

立即免费体验