Suppr超能文献

新冠病毒细胞进入基因和细胞死亡程序的年龄依赖性调控与新冠肺炎疾病严重程度相关。

Age-dependent regulation of SARS-CoV-2 cell entry genes and cell death programs correlates with COVID-19 disease severity.

作者信息

Inde Zintis, Yapp Clarence, Joshi Gaurav N, Spetz Johan, Fraser Cameron, Deskin Brian, Ghelfi Elisa, Sodhi Chhinder, Hackam David J, Kobzik Lester, Croker Ben A, Brownfield Douglas, Jia Hongpeng, Sarosiek Kristopher A

机构信息

Molecular and Integrative Physiological Sciences Program, Harvard School of Public Health, Boston, MA.

John B. Little Center for Radiation Sciences, Harvard School of Public Health, Boston, MA.

出版信息

bioRxiv. 2020 Sep 13:2020.09.13.276923. doi: 10.1101/2020.09.13.276923.

Abstract

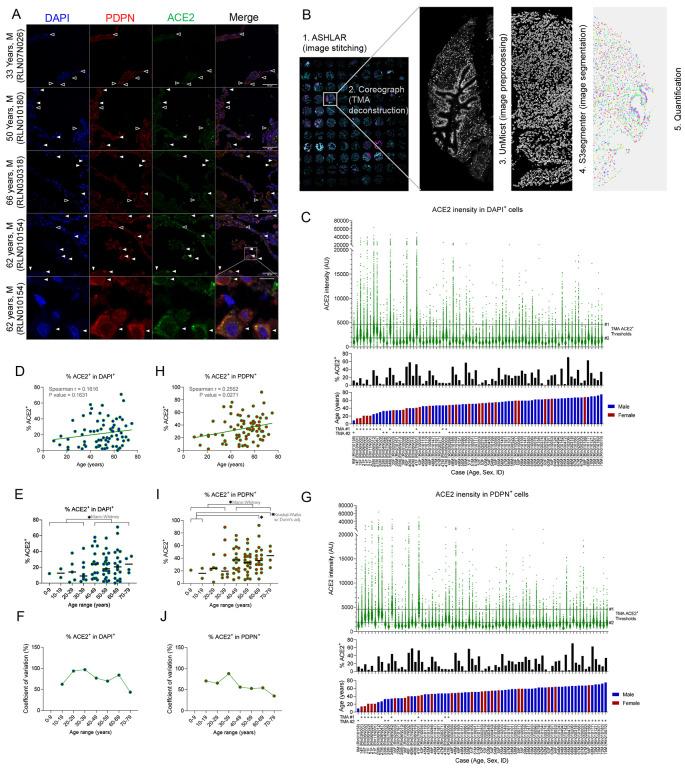
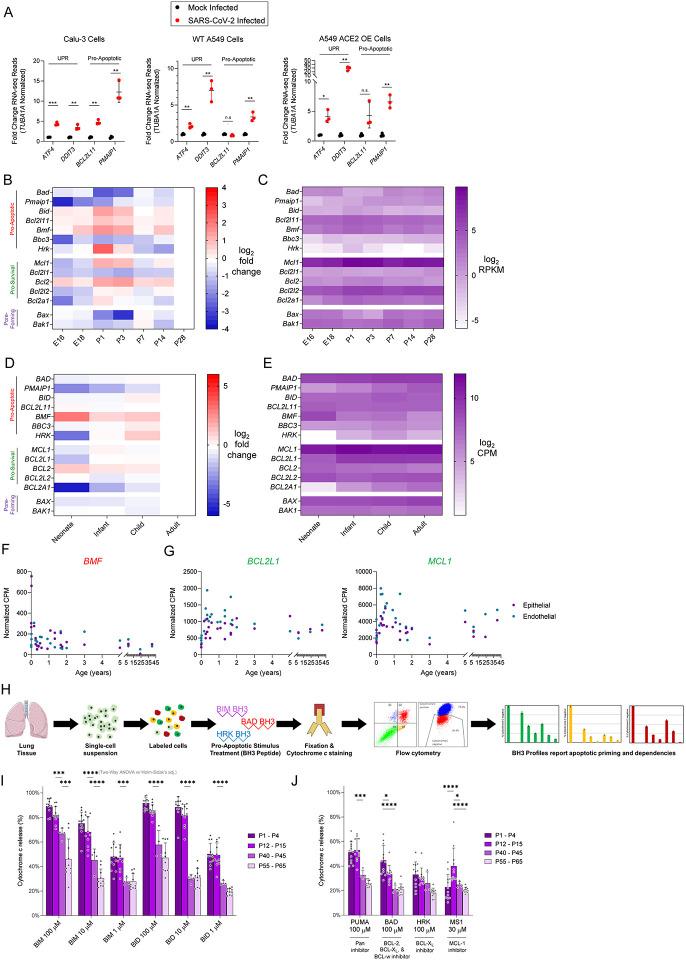
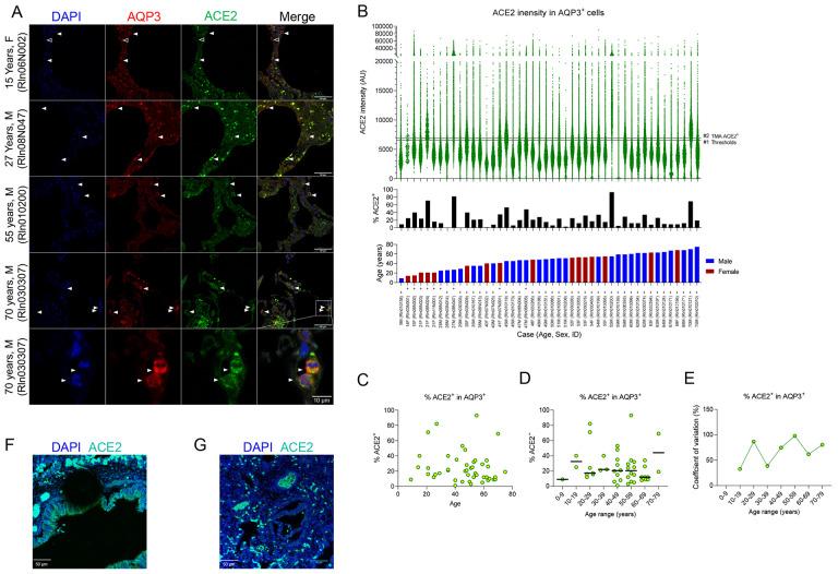
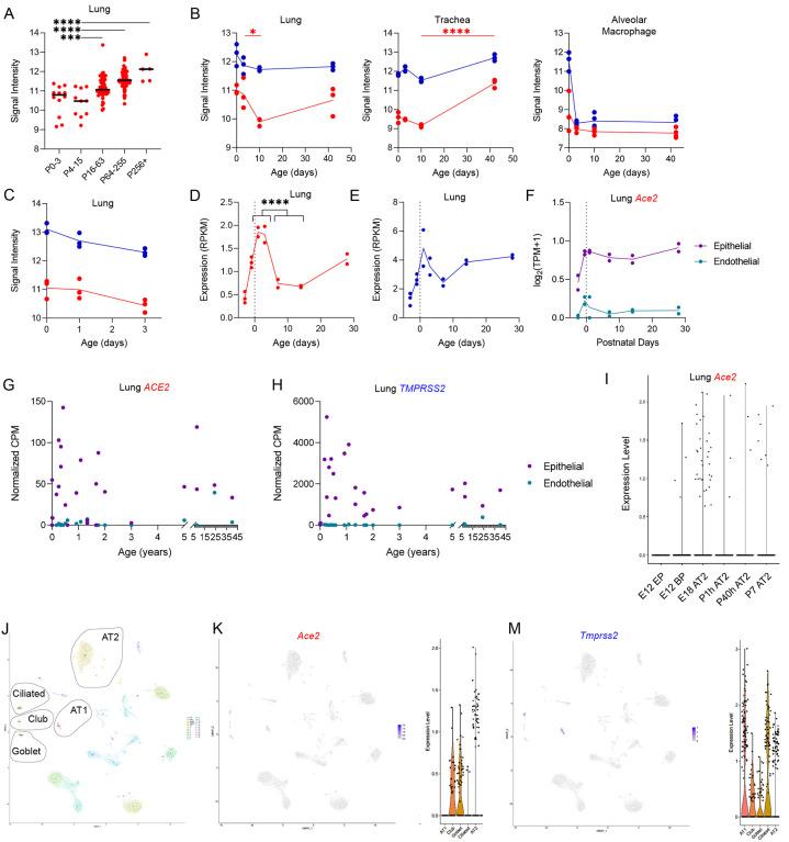
Angiotensin-converting enzyme 2 (ACE2) maintains cardiovascular and renal homeostasis but also serves as the entry receptor for the novel severe acute respiratory syndrome coronavirus (SARS-CoV-2), the causal agent of novel coronavirus disease 2019 (COVID-19). COVID-19 disease severity is typically lower in pediatric patients than adults (particularly the elderly), but higher rates of hospitalizations requiring intensive care are observed in infants than in older children - the reasons for these differences are unknown. ACE2 is expressed in several adult tissues and cells, including alveolar type 2 cells of the distal lung epithelium, but expression at other ages is largely unexplored. Here we show that ACE2 transcripts are expressed in the lung and trachea shortly after birth, downregulated during childhood, and again expressed at high levels in late adulthood. Notably, the repertoire of cells expressing ACE2 protein in the mouse lung and airways shifts during key phases of lung maturation. In particular, podoplanin-positive cells, which are likely alveolar type I cells responsible for gas exchange, express ACE2 only in advanced age. Similar patterns of expression were evident in analysis of human lung tissue from over 100 donors, along with extreme inter- and intra-individual heterogeneity in ACE2 protein expression in epithelial cells. Furthermore, we find that apoptosis, which is a natural host defense system against viral infection, is dynamically regulated during lung maturation, resulting in periods of heightened apoptotic priming and dependence on pro-survival BCL-2 family proteins including MCL-1. Infection of human lung cells with SARS-CoV-2 triggers an unfolded protein stress response and upregulation of the endogenous MCL-1 inhibitor Noxa; in young individuals, MCL-1 inhibition is sufficient to trigger apoptosis in lung epithelial cells and may thus limit virion production and inflammatory signaling. Overall, we identify strong and distinct correlates of COVID-19 disease severity across lifespan and advance our understanding of the regulation of ACE2 and cell death programs in the mammalian lung. Furthermore, our work provides the framework for translation of apoptosis modulating drugs as novel treatments for COVID-19.

摘要

血管紧张素转换酶2(ACE2)维持心血管和肾脏的稳态,但也是新型严重急性呼吸综合征冠状病毒(SARS-CoV-2)的进入受体,该病毒是2019年新型冠状病毒病(COVID-19)的病原体。COVID-19疾病的严重程度在儿科患者中通常低于成人(尤其是老年人),但婴儿中需要重症监护的住院率高于大龄儿童,这些差异的原因尚不清楚。ACE2在包括远端肺上皮的肺泡Ⅱ型细胞在内的几种成人组织和细胞中表达,但在其他年龄段的表达情况在很大程度上尚未得到探索。在这里,我们表明ACE2转录本在出生后不久就在肺和气管中表达,在儿童期下调,并在成年后期再次高水平表达。值得注意的是,在肺成熟的关键阶段,小鼠肺和气道中表达ACE2蛋白的细胞种类会发生变化。特别是,可能负责气体交换的肺泡Ⅰ型细胞中的血小板内皮细胞黏附分子阳性细胞仅在高龄时表达ACE2。在对100多名捐赠者的人类肺组织分析中,也出现了类似的表达模式,同时上皮细胞中ACE2蛋白表达存在个体间和个体内的极端异质性。此外,我们发现凋亡作为一种针对病毒感染的天然宿主防御系统,在肺成熟过程中受到动态调节,导致凋亡启动增强,并依赖包括MCL-1在内的促生存BCL-2家族蛋白。用SARS-CoV-2感染人肺细胞会引发未折叠蛋白应激反应,并上调内源性MCL-1抑制剂Noxa;在年轻人中,抑制MCL-1足以触发肺上皮细胞凋亡,从而可能限制病毒粒子的产生和炎症信号传导。总体而言,我们确定了COVID-19疾病严重程度在整个生命周期中的强烈且独特的相关因素,并加深了我们对哺乳动物肺中ACE2调节和细胞死亡程序的理解。此外,我们的工作为将凋亡调节药物转化为COVID-19的新型治疗方法提供了框架。

https://cdn.ncbi.nlm.nih.gov/pmc/blobs/1df7/7491524/f627cf4fab22/nihpp-2020.09.13.276923-f0001.jpg

文献AI研究员

20分钟写一篇综述,助力文献阅读效率提升50倍。

立即体验

用中文搜PubMed

大模型驱动的PubMed中文搜索引擎

马上搜索

文档翻译

学术文献翻译模型,支持多种主流文档格式。

立即体验