Department of Physiology and Cellular Biophysics, Columbia University Medical Center, New York, NY.
The Robert N. Butler Columbia Aging Center, Columbia University Medical Center, New York, NY.
J Cell Biol. 2020 Oct 5;219(10). doi: 10.1083/jcb.202001071.
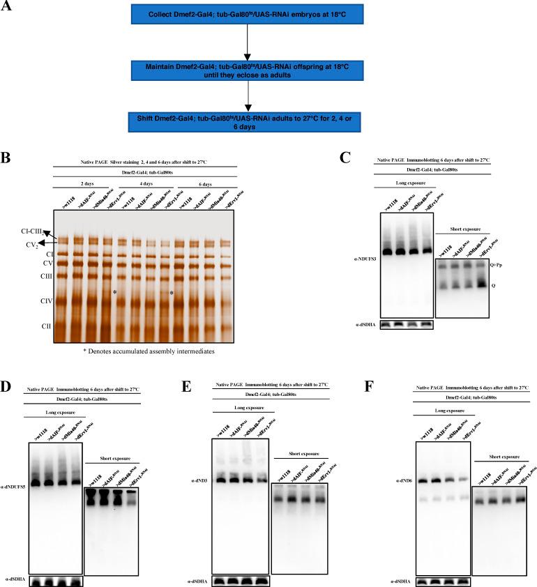
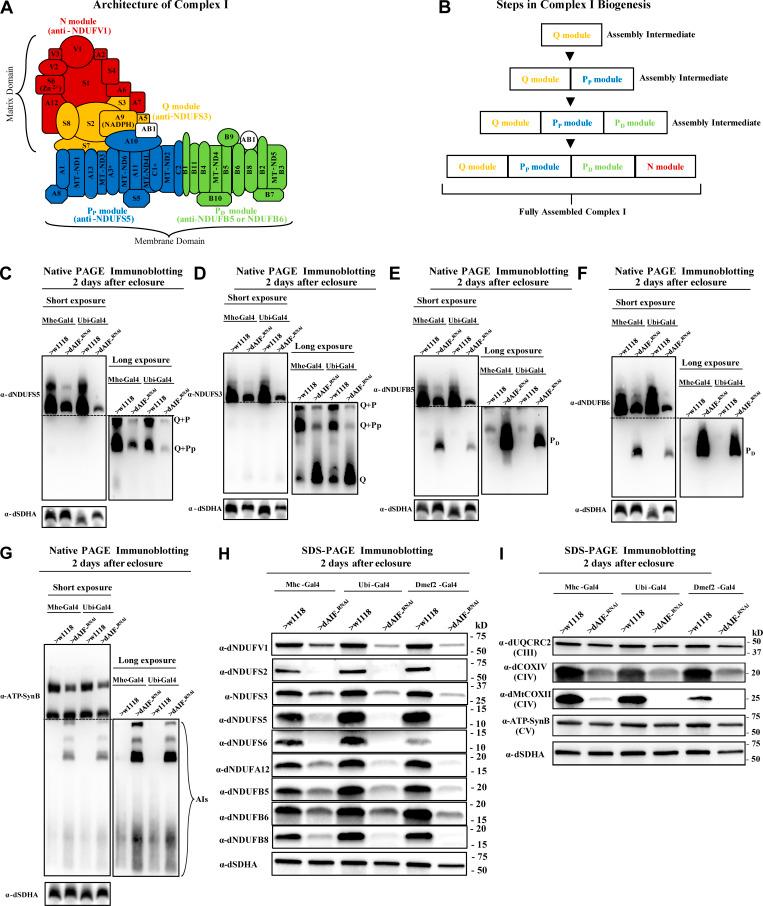
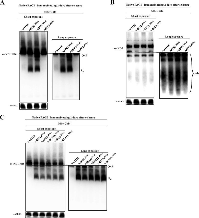
An ability to comprehensively track the assembly intermediates (AIs) of complex I (CI) biogenesis in Drosophila will enable the characterization of the precise mechanism(s) by which various CI regulators modulate CI assembly. Accordingly, we generated 21 novel antibodies to various mitochondrial proteins and used this resource to characterize the mechanism by which apoptosis-inducing factor (AIF) regulates CI biogenesis by tracking the AI profile observed when AIF expression is impaired. We find that when the AIF-Mia40 translocation complex is disrupted, the part of CI that transfers electrons to ubiquinone is synthesized but fails to progress in the CI biosynthetic pathway. This is associated with a reduction in intramitochondrial accumulation of the Mia40 substrate, MIC19. Importantly, knockdown of either MIC19 or MIC60, components of the mitochondrial contact site and cristae organizing system (MICOS), fully recapitulates the AI profile observed when AIF is inhibited. Thus, AIF's effect on CI assembly is principally due to compromised intramitochondrial transport of the MICOS complex.
能够全面追踪复杂 I (CI) 生物发生的组装中间体 (AIs) 将使我们能够描述各种 CI 调节剂调节 CI 组装的确切机制。因此,我们生成了 21 种针对各种线粒体蛋白的新型抗体,并利用该资源通过跟踪 AIF 表达受损时观察到的 AI 谱来表征凋亡诱导因子 (AIF) 调节 CI 生物发生的机制。我们发现,当 AIF-Mia40 易位复合物被破坏时,将电子转移到泛醌的 CI 部分被合成,但未能在 CI 生物合成途径中进展。这与 Mia40 底物 MIC19 在线粒体内部积累的减少有关。重要的是,MIC19 或 MIC60(线粒体接触位点和嵴组织系统 (MICOS) 的组成部分)的敲低完全再现了 AIF 被抑制时观察到的 AI 谱。因此,AIF 对 CI 组装的影响主要是由于 MICOS 复合物的线粒体内部转运受损。