Chang Na, Wang Guangbin
Department of Medical Imaging, Shandong University, Jinan, Shandong 250012, P.R. China.
Department of Medical Imaging, Jinan Vocational College of Nursing, Jinan, Shandong 250102, P.R. China.
Exp Ther Med. 2020 Nov;20(5):51. doi: 10.3892/etm.2020.9179. Epub 2020 Sep 3.
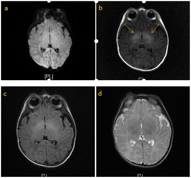
The present study aimed to explore the diagnostic value of the combination of cranial magnetic resonance imaging (MRI), serum homocysteine (HCY) and procalcitonin (PCT) for hyperbilirubinemia complicated with brain injury in neonates. One hundred and forty-nine children with hyperbilirubinemia admitted to Shandong Medical Imaging Research Institute from January 2014 to April 2016 were collected as research subjects, and were divided into a brain injury group (n=67) and a non-brain injury group (n=82) according to whether children suffered from brain injury. PCT levels were detected by electrochemiluminescence (ECL), and HCY levels by enzymatic cycling assay (ECA). The combination of cranial MRI, HCY and PCT was used to diagnose hyperbilirubinemia complicated with brain injury in neonates. The concentrations of HCY and PCT in the brain injury group were significantly higher than those in the non-brain injury group (P<0.001). According to the MRI examination results, the patients were divided into an MRI normal group and an MRI abnormal group. In the brain injury group, the serum HCY and PCT levels of the MRI abnormal group were significantly higher than those of the MRI normal group, with a statistically significant difference (P<0.05). In the non-brain injury group, the serum HCY and PCT levels of the MRI abnormal group were significantly higher than those of the MRI normal group, with a statistically significant difference (P<0.05). The sensitivity of the combined detection was significantly higher than that of single detection (P<0.05); the specificity was significantly higher than that of HCY detection (P<0.05), and the accuracy was significantly higher than that of MRI and HCY single detection (P<0.05). In conclusion, the combination of cranial MRI, HCY and PCT, which has a high diagnostic value for hyperbilirubinemia complicated with brain injury in neonates, is conducive to the early diagnosis and timely treatment of the disease and the reduction of sequelae.
本研究旨在探讨头颅磁共振成像(MRI)、血清同型半胱氨酸(HCY)和降钙素原(PCT)联合检测对新生儿高胆红素血症合并脑损伤的诊断价值。选取2014年1月至2016年4月在山东医学影像学研究所收治的149例高胆红素血症患儿作为研究对象,根据患儿是否发生脑损伤分为脑损伤组(n = 67)和非脑损伤组(n = 82)。采用电化学发光法(ECL)检测PCT水平,酶循环法(ECA)检测HCY水平。采用头颅MRI、HCY和PCT联合检测诊断新生儿高胆红素血症合并脑损伤。脑损伤组HCY和PCT浓度明显高于非脑损伤组(P < 0.001)。根据MRI检查结果,将患者分为MRI正常组和MRI异常组。在脑损伤组中,MRI异常组血清HCY和PCT水平明显高于MRI正常组,差异有统计学意义(P < 0.05)。在非脑损伤组中,MRI异常组血清HCY和PCT水平明显高于MRI正常组,差异有统计学意义(P < 0.05)。联合检测的灵敏度明显高于单项检测(P < 0.05);特异性明显高于HCY检测(P < 0.05),准确性明显高于MRI和HCY单项检测(P < 0.05)。综上所述,头颅MRI、HCY和PCT联合检测对新生儿高胆红素血症合并脑损伤具有较高的诊断价值,有利于疾病的早期诊断和及时治疗,减少后遗症。