Suppr超能文献

胎儿生长受限、死胎和胎盘病理学中蜕膜免疫细胞亚群水平的改变。

Altered Levels of Decidual Immune Cell Subsets in Fetal Growth Restriction, Stillbirth, and Placental Pathology.

机构信息

Department of Obstetrics and Gynecology, University Medical Center Groningen, University of Groningen, Groningen, Netherlands.

Division of Pathology, Department of Pathology and Medical Biology, University Medical Center Groningen, University of Groningen, Groningen, Netherlands.

出版信息

Front Immunol. 2020 Aug 20;11:1898. doi: 10.3389/fimmu.2020.01898. eCollection 2020.

Abstract

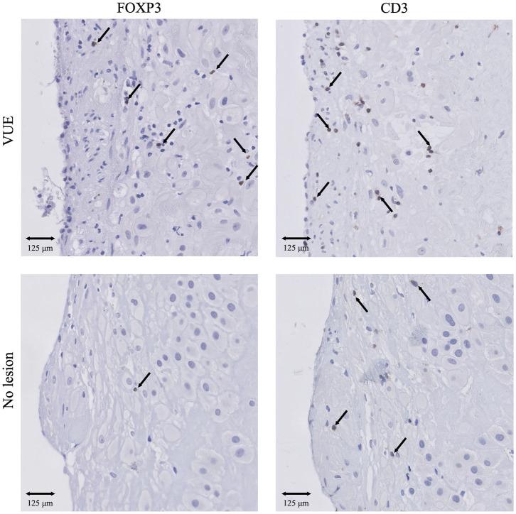
Immune cells are critically involved in placental development and functioning, and inadequate regulation of the maternal immune system is associated with placental pathology and pregnancy complications. This study aimed to explore numbers of decidual immune cells in pregnancies complicated with fetal growth restriction (FGR) and stillbirth (SB), and in placentas with histopathological lesions: maternal vascular malperfusion (MVM), fetal vascular malperfusion (FVM), delayed villous maturation (DVM), chorioamnionitis (CA), and villitis of unknown etiology (VUE). Placental tissue from FGR ( = 250), SB ( = 64), and healthy pregnancies ( = 42) was included. Histopathological lesions were classified according to criteria developed by the Amsterdam Placental Workshop Group. Tissue slides were stained for CD68 (macrophages), CD206 (M2-like macrophages), CD3 (T cells), FOXP3 [regulatory T (Treg) cells], and CD56 [natural killer (NK) cells]. Cell numbers were analyzed in the decidua basalis using computerized morphometry. The Mann-Whitney -test and Kruskal Wallis test with the Dunn's as test were used for statistical analysis. Numbers of CD68 macrophages were higher in FGR compared to healthy pregnancies ( < 0.001), accompanied by lower CD206/CD68 ratios ( < 0.01). In addition, in FGR higher numbers of FOXP3 Treg cells were seen ( < 0.01) with elevated FOXP3/CD3 ratios ( < 0.01). Similarly, in SB elevated FOXP3 Treg cells were found ( < 0.05) with a higher FOXP3+/CD3+ ratio ( < 0.01). Furthermore, a trend toward higher numbers of CD68 macrophages was found ( < 0.1) in SB. Numbers of CD3 and FOXP3 cells were higher in placentas with VUE compared to placentas without lesions ( < 0.01 and < 0.001), accompanied by higher FOXP3/CD3 ratios ( < 0.01). Elevated numbers of macrophages with a lower M2/total macrophage ratio in FGR suggest a role for a macrophage surplus in its pathogenesis and could specifically indicate involvement of inflammatory macrophages. Higher numbers of FOXP3 Treg cells with higher Treg/total T cell ratios in VUE may be associated with impaired maternal-fetal tolerance and a compensatory response of Treg cells. The abundant presence of placental lesions in the FGR and SB cohorts might explain the increase of Treg/total T cell ratios in these groups. More functionality studies of the observed altered immune cell subsets are needed.

摘要

免疫细胞在胎盘发育和功能中起着至关重要的作用,而母体免疫系统的调节不当与胎盘病理和妊娠并发症有关。本研究旨在探讨胎儿生长受限(FGR)和死胎(SB)、伴有组织病理学病变的胎盘(母体血管灌注不良[MVM]、胎儿血管灌注不良[FVM]、绒毛成熟延迟[DVM]、绒毛膜羊膜炎[CA]和不明原因绒毛膜炎[VUE])中蜕膜免疫细胞的数量。纳入了 FGR(=250)、SB(=64)和健康妊娠(=42)的胎盘组织。根据阿姆斯特丹胎盘工作组制定的标准对组织病理学病变进行分类。使用 CD68(巨噬细胞)、CD206(M2 样巨噬细胞)、CD3(T 细胞)、FOXP3[调节性 T(Treg)细胞]和 CD56[自然杀伤(NK)细胞]对组织切片进行染色。使用计算机形态计量学在蜕膜基底分析细胞数量。采用曼-惠特尼 U 检验和克鲁斯卡尔-沃利斯检验,并用邓恩检验进行多重比较。与健康妊娠相比,FGR 中 CD68 巨噬细胞的数量更高(<0.001),同时 CD206/CD68 比值更低(<0.01)。此外,FGR 中 FOXP3 Treg 细胞的数量更高(<0.01),FOXP3/CD3 比值更高(<0.01)。同样,在 SB 中也发现了更高的 FOXP3 Treg 细胞(<0.05),FOXP3+/CD3+ 比值更高(<0.01)。此外,SB 中 CD68 巨噬细胞的数量也有升高的趋势(<0.1)。与无病变胎盘相比,VUE 胎盘的 CD3 和 FOXP3 细胞数量更高(<0.01 和<0.001),FOXP3/CD3 比值更高(<0.01)。FGR 中巨噬细胞数量增加,M2/总巨噬细胞比值降低,提示其发病机制中存在巨噬细胞过剩,可能特异性地表明炎症性巨噬细胞的参与。VUE 中 FOXP3 Treg 细胞数量增加,Treg/总 T 细胞比值升高,可能与母体-胎儿耐受受损和 Treg 细胞的代偿反应有关。FGR 和 SB 队列中大量存在胎盘病变可能解释了这些组中 Treg/总 T 细胞比值的增加。需要更多功能研究来研究观察到的免疫细胞亚群的改变。

https://cdn.ncbi.nlm.nih.gov/pmc/blobs/e4a7/7468421/d045b461ffd6/fimmu-11-01898-g0001.jpg

文献AI研究员

20分钟写一篇综述,助力文献阅读效率提升50倍。

立即体验

用中文搜PubMed

大模型驱动的PubMed中文搜索引擎

马上搜索

文档翻译

学术文献翻译模型,支持多种主流文档格式。

立即体验