Suppr超能文献

一名男性患者的胰腺黏液性囊腺癌伴囊肿感染

Mucinous Cystadenocarcinoma of the Pancreas with Cyst Infection in a Male Patient.

作者信息

Tomishima Ko, Fujisawa Toshio, Fukumura Yuki, Ushio Mako, Sato Sho, Amano Nozomi, Murata Ayato, Tsuzura Hironori, Sato Shunsuke, Matsumoto Kouhei, Shimada Yuji, Genda Takuya, Isayama Hiroyuki

机构信息

Department of Gastroenterology, Graduate School of Medicine, Juntendo University, Japan.

Department of Gastroenterology and Hepatology, Juntendo University Shizuoka Hospital, Japan.

出版信息

Intern Med. 2020;59(19):2383-2389. doi: 10.2169/internalmedicine.4937-20. Epub 2020 Oct 1.

Abstract

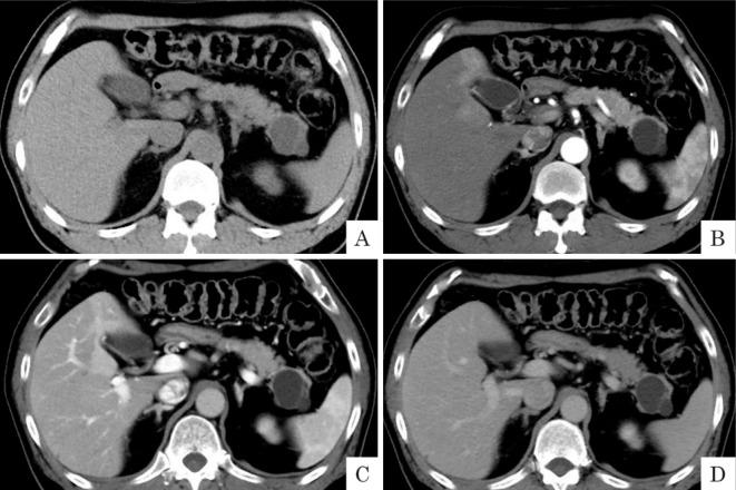
Follow-up computed tomography revealed a 40-mm pancreatic tail cyst in a 59-year-old man with type 1 diabetes mellitus. An intraductal papillary mucinous neoplasm was suspected; mucinous cystic neoplasm (MCN) was not considered because the patient was a man. During follow-up, cyst infection occurred but was improved by conservative treatment. At the 24-month follow up examination, cyst nodules had developed, corresponding to an increase in the carbohydrate antigen 19-9 level. Mucinous cystadenocarcinoma (MCC) was diagnosed pathologically based on distal pancreatectomy. A diagnosis of male MCN/MCC is often delayed, which may lead to a poor prognosis. MCN infection is also rare and poorly recognized. We observed an atypical male case of MCN/MCC.

摘要

随访计算机断层扫描显示,一名59岁1型糖尿病男性患者的胰尾有一个40毫米的囊肿。怀疑为导管内乳头状黏液性肿瘤;由于患者为男性,未考虑黏液性囊性肿瘤(MCN)。随访期间发生囊肿感染,但经保守治疗后好转。在24个月的随访检查中,出现了囊肿结节,同时糖类抗原19-9水平升高。根据远端胰腺切除术的病理结果诊断为黏液性囊腺癌(MCC)。男性MCN/MCC的诊断往往延迟,这可能导致预后不良。MCN感染也很罕见且认识不足。我们观察到一例非典型男性MCN/MCC病例。

https://cdn.ncbi.nlm.nih.gov/pmc/blobs/25dc/7644490/575a9862c6bd/1349-7235-59-2383-g001.jpg

文献AI研究员

20分钟写一篇综述,助力文献阅读效率提升50倍。

立即体验

用中文搜PubMed

大模型驱动的PubMed中文搜索引擎

马上搜索

文档翻译

学术文献翻译模型,支持多种主流文档格式。

立即体验