Suppr超能文献

以急性腹痛为表现的回盲部伯基特淋巴瘤

Ileocecal Burkitt's Lymphoma Presenting as Acute Abdominal Pain.

作者信息

Abdelmaksoud Mostafa Mosbeh, Alshareef Maram Kheder, Jamjoom Alaa Osama, Hafez Mohamed Tarek

机构信息

General Surgery Department, East Jeddah General Hospital, Jeddah, Saudi Arabia.

出版信息

Case Rep Oncol. 2020 Aug 14;13(2):968-972. doi: 10.1159/000508998. eCollection 2020 May-Aug.

Abstract

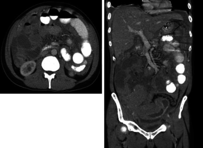
Primary gastrointestinal non-Hodgkin's lymphomas are rare tumors which account for about 0.9% of all gastrointestinal tract tumors. They are usually associated with inflammatory bowel disease, previous radiotherapy, and renal transplantation. We report a case of non-Hodgkin's lymphoma involving the ileocecal region in a 46-year-old gentleman who presented with acute abdominal pain that mandated emergency laparotomy.

摘要

原发性胃肠道非霍奇金淋巴瘤是罕见肿瘤,约占所有胃肠道肿瘤的0.9%。它们通常与炎症性肠病、既往放疗及肾移植有关。我们报告一例46岁男性患者,其回盲部发生非霍奇金淋巴瘤,表现为急性腹痛,需行急诊剖腹手术。

https://cdn.ncbi.nlm.nih.gov/pmc/blobs/026e/7506374/af40eb0cae82/cro-0013-0968-g01.jpg

文献检索

告别复杂PubMed语法,用中文像聊天一样搜索,搜遍4000万医学文献。AI智能推荐,让科研检索更轻松。

立即免费搜索

文件翻译

保留排版,准确专业,支持PDF/Word/PPT等文件格式,支持 12+语言互译。

免费翻译文档

深度研究

AI帮你快速写综述,25分钟生成高质量综述,智能提取关键信息,辅助科研写作。

立即免费体验