Suppr超能文献

自膨胀经导管心脏瓣膜内折:病例报告及文献综述

Infolding of Self-Expandable Transcatheter Heart Valve: Case Report and Review of Literature.

作者信息

Karrowni Wassef, Fakih Saleh, Nassar Pierre

机构信息

Cardiovascular Disease, UnityPoint Health, Cedar Rapids, USA.

Cardiovascular Disease, Lebanese University, Beirut, LBN.

出版信息

Cureus. 2020 Aug 28;12(8):e10093. doi: 10.7759/cureus.10093.

Abstract

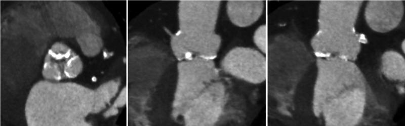
Transcutaneous aortic valve replacement (TAVR) has become a widely accepted minimally invasive approach for treatment of severe aortic stenosis. Self-expandable prostheses are commonly the device of choice, with excellent procedural success and durability. However, there have been several recent case reports of infolding of the self-expandable prosthesis during development with subsequent malfunction and need for further intervention. We present a case of self-expandable valve prosthesis infolding managed by balloon postdilation, and summarize the cases reported in the literature to date in an attempt to increase awareness of this serious technical problem and the factors associated with it.

摘要

经皮主动脉瓣置换术(TAVR)已成为治疗严重主动脉瓣狭窄广泛接受的微创方法。自膨胀式人工瓣膜通常是首选装置,具有出色的手术成功率和耐用性。然而,最近有几例病例报告称,自膨胀式人工瓣膜在展开过程中发生折叠,随后出现功能故障并需要进一步干预。我们报告一例通过球囊后扩张处理的自膨胀式瓣膜假体折叠病例,并总结迄今为止文献中报道的病例,以提高对这一严重技术问题及其相关因素的认识。

https://cdn.ncbi.nlm.nih.gov/pmc/blobs/3a8d/7522173/af49a66b26f6/cureus-0012-00000010093-i01.jpg

文献AI研究员

20分钟写一篇综述,助力文献阅读效率提升50倍。

立即体验

用中文搜PubMed

大模型驱动的PubMed中文搜索引擎

马上搜索

文档翻译

学术文献翻译模型,支持多种主流文档格式。

立即体验