Suppr超能文献

孤立性肠系膜上动脉夹层酷似腹主动脉瘤即将破裂

Isolated Superior Mesenteric Artery Dissection Mimicking Impending Rupture of Abdominal Aortic Aneurysm.

作者信息

Kawahigashi Teiko, Kawabe Takashi, Iijima Hirokazu, Takagi Mutsuo, Noda Tomohiro, Watanabe Kazunao

机构信息

Department of Emergency Medicine, Tokyo Nishi Tokushukai Hospital, Tokyo, Japan.

Department of Surgery, Tokyo Nishi Tokushukai Hospital, Tokyo, Japan.

出版信息

Am J Case Rep. 2020 Oct 2;21:e925464. doi: 10.12659/AJCR.925464.

Abstract

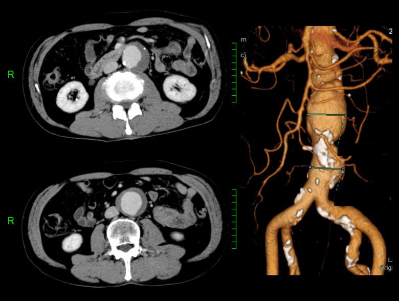
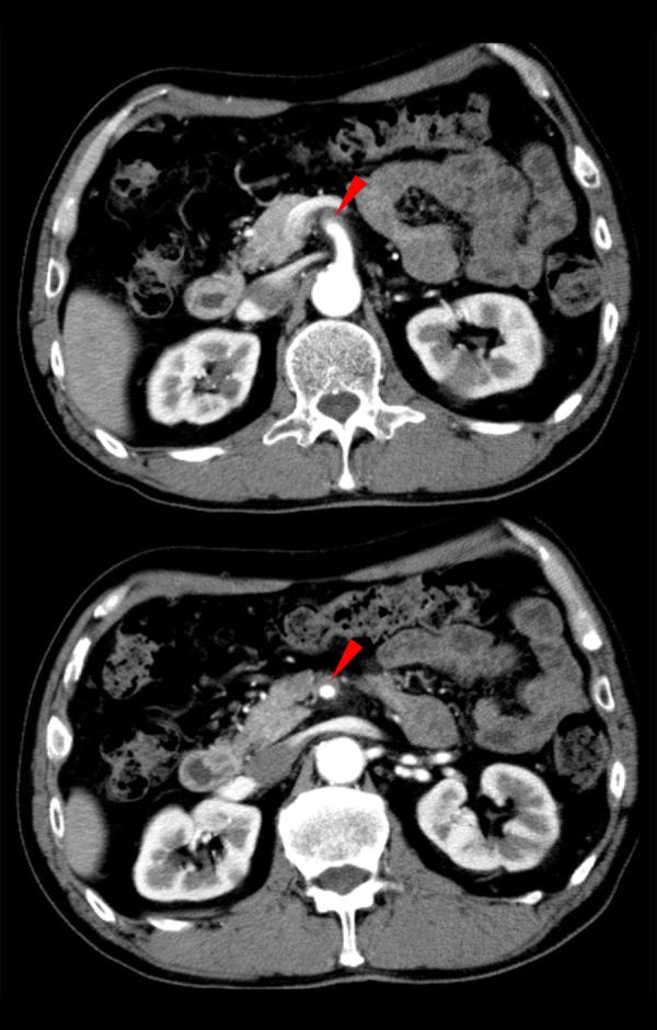
BACKGROUND Isolated superior mesenteric artery dissection (SMAD) is a rare vascular disease that is difficult to diagnose. We report a case of SMAD in a patient with an abdominal aortic aneurysm (AAA) that mimicked an impending rupture of the AAA. In addition, we describe several clinical biases that contributed to the delayed diagnosis. CASE REPORT A 66-year-old man presented with a 3-day history of abdominal pain, without a history of trauma, that worsened gradually and caused him to visit our hospital. The patient's medical history included an AAA under observation. The patient was well oriented and initially remained hemodynamically stable, and the abdomen was soft and non-tender on palpation. An emergency contrast-enhanced computed tomography (CT) scan confirmed a 44-mm AAA without any leakage, but with an isolated SMAD. His previous physician confirmed there was no change in the AAA size since 3 months prior to hospital admission. Thus, the symptoms were caused by the isolated SMAD. The patient showed improvement with pain-relieving and antihypertensive management, without anticoagulation therapy or revascularization, and was discharged on day 25 of admission without any complications. CONCLUSIONS The misdiagnosis in this case was attributable to several clinical biases, including search satisfaction, Sutton's slip, and anchoring bias. Physicians should guard against presumptive diagnoses based on patient symptoms or initial plausible findings and instead pursue a thorough workup to reach a definitive diagnosis.

摘要

背景 孤立性肠系膜上动脉夹层(SMAD)是一种罕见的血管疾病,诊断困难。我们报告一例患有腹主动脉瘤(AAA)的患者发生SMAD,其表现类似AAA即将破裂。此外,我们描述了导致诊断延迟的几种临床偏差。病例报告 一名66岁男性,有3天腹痛病史,无外伤史,疼痛逐渐加重,遂来我院就诊。患者病史包括正在观察中的AAA。患者定向力良好,最初血流动力学稳定,腹部触诊柔软无压痛。急诊增强计算机断层扫描(CT)证实有一个44毫米的AAA,无任何渗漏,但存在孤立性SMAD。其之前的医生证实自入院前3个月以来AAA大小无变化。因此,症状由孤立性SMAD引起。患者经止痛和降压治疗后病情改善,未进行抗凝治疗或血管重建,入院第25天出院,无任何并发症。结论 该病例的误诊归因于几种临床偏差,包括搜索满足感、萨顿疏忽和锚定偏差。医生应警惕基于患者症状或最初似是而非的发现进行推定诊断,而应进行全面检查以得出明确诊断。

https://cdn.ncbi.nlm.nih.gov/pmc/blobs/ee83/7540907/17ce537aa7ff/amjcaserep-21-e925464-g001.jpg

文献AI研究员

20分钟写一篇综述,助力文献阅读效率提升50倍。

立即体验

用中文搜PubMed

大模型驱动的PubMed中文搜索引擎

马上搜索

文档翻译

学术文献翻译模型,支持多种主流文档格式。

立即体验