Suppr超能文献

强直性脊柱炎患者的快速进展性肺尖纤维化和实质破坏

Rapidly Progressive Pulmonary Apical Fibrosis and Parenchymal Destruction in a Patient with Ankylosing Spondylitis.

作者信息

Ulusoy Hasan, Tuna Nazmiye Tibel, Tanrivermis Sayit Aslı

机构信息

Division of Rheumatology, Department of Physical Medicine and Rehabilitation, Ondokuz Mayis University, Faculty of Medicine, Samsun, Turkey.

Department of Pulmonary Medicine, Ondokuz Mayis University, Faculty of Medicine, Samsun, Turkey.

出版信息

Case Rep Rheumatol. 2020 Sep 14;2020:8852515. doi: 10.1155/2020/8852515. eCollection 2020.

Abstract

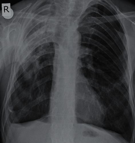
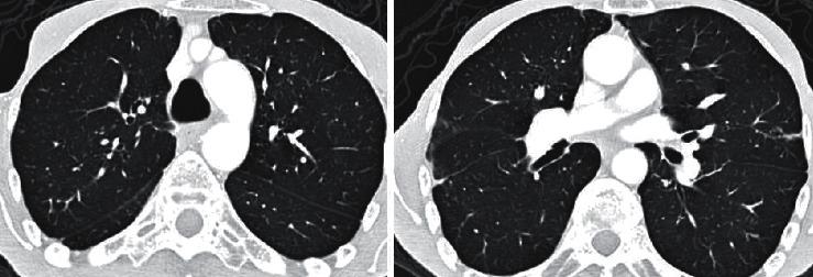
Pulmonary apical fibrosis is a rare complication of ankylosing spondylitis (AS). The essential characteristics of this lesion are its very slow progression and frequently asymptomatic nature. Herein, we are presenting a patient with AS who rapidly developed pulmonary apical fibrosis in a 3-year period despite decreased musculoskeletal pains. The 60-year-old male applied with complaints of progressively increasing cough in the recent two years, dyspnea, and fatigue. He had no chronic disease except AS. He had no continuous medication except nonsteroid anti-inflammatory drugs for 2-3 days monthly since his musculoskeletal pains decreased in the recent years. His physical examination revealed reduced breath sounds in the upper zones of the right lung. Chest X-ray revealed increased diffuse opacity in the upper zones of the right lung. Thoracic high-resolution computed tomography showed a consolidation accompanied with traction bronchiectases compatible with chronic fibrosis in the upper lobe of the right lung. However, thoracic computed tomography of the patient performed 3 years ago did not reveal pulmonary apical fibrosis and parenchymal destruction. Biopsy revealed no finding of malignancy, granulomatous inflammation, or vasculitis. The results of cultures were negative. So, the patient was diagnosed as pulmonary involvement of AS, which developed in a 3-year period. This case has shown that extra-articular complications may continue to develop in patients with AS even if their musculoskeletal complaints have subsided. So, patients with AS should be followed up regularly with systemic examinations.

摘要

肺尖纤维化是强直性脊柱炎(AS)的一种罕见并发症。该病变的基本特征是进展非常缓慢且通常无症状。在此,我们报告一名AS患者,尽管其肌肉骨骼疼痛减轻,但在3年内迅速发展为肺尖纤维化。这位60岁男性因近两年来咳嗽逐渐加重、呼吸困难和疲劳前来就诊。除AS外,他无其他慢性疾病。由于近年来肌肉骨骼疼痛减轻,他除了每月服用2 - 3天的非甾体抗炎药外,没有持续用药。体格检查发现右肺上叶呼吸音减弱。胸部X线显示右肺上叶弥漫性模糊影增加。胸部高分辨率计算机断层扫描显示右肺上叶有实变,并伴有与慢性纤维化相符的牵拉性支气管扩张。然而,该患者3年前的胸部计算机断层扫描未显示肺尖纤维化和实质破坏。活检未发现恶性肿瘤、肉芽肿性炎症或血管炎。培养结果为阴性。因此,该患者被诊断为3年内发生的AS肺部受累。该病例表明,即使AS患者的肌肉骨骼症状已缓解,其关节外并发症仍可能继续发展。所以,AS患者应定期进行全身检查随访。

https://cdn.ncbi.nlm.nih.gov/pmc/blobs/d5c2/7512063/389749d36860/CRIRH2020-8852515.001.jpg

文献AI研究员

20分钟写一篇综述,助力文献阅读效率提升50倍。

立即体验

用中文搜PubMed

大模型驱动的PubMed中文搜索引擎

马上搜索

文档翻译

学术文献翻译模型,支持多种主流文档格式。

立即体验