Suppr超能文献

主动脉机械瓣部分血栓形成伴二尖瓣机械瓣完整的罕见病例,表现为 ST 段抬高型心肌梗死患者。

A Rare Case of Partial Aortic Mechanical Valve Thrombosis With Intact Mitral Mechanical Valve Presenting With ST-Elevation Myocardial Infarction Patients.

机构信息

Maimonides Medical Center, Brooklyn, NY, USA.

Interfaith Medical Center, Brooklyn, NY, USA.

出版信息

J Investig Med High Impact Case Rep. 2020 Jan-Dec;8:2324709620963567. doi: 10.1177/2324709620963567.

Abstract

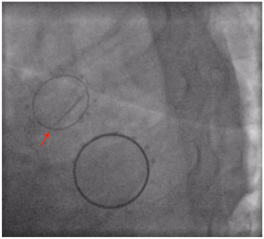
The incidence of mechanical valve thrombosis (MVT) is around 0.4 per 100 patient-years. Mitral valve thrombosis has a higher incidence than aortic valve thrombosis with a nearly 5-fold increase. Various factors contribute to MVT. The most common cause of valve thrombosis is poor adherence/disruption of anticoagulation therapy. Low cardiac output is known to increase the risk of prosthetic valve thrombosis. Other factors such as diabetes, hypertension, and other patient comorbidities might also play a role. Decreased flow promotes hypercoagulability. Lower pressure in the left atrium (and higher velocities in the left ventricle) can partially contribute to the higher incidence of mitral MVT versus aortic MVT. The presenting symptoms usually depend on the severity of the valve thrombosis; nonobstructive valve thrombosis patients have progressive dyspnea, signs of heart failure, and systemic embolization with strokes being the most common complication. In this article, we present a case of a middle-aged woman with a history of mitral and aortic mechanical prosthesis who presented with an ST-segment elevation myocardial infarction and pulmonary edema due to mechanical aortic valve prosthesis thrombosis. She had an isolated mechanical aortic valve prosthesis thrombosis with intact mitral valve, which, to the best of our knowledge, has not yet been described. We performed a literature review by searching PubMed and Embase using the keywords "mechanical valve," "thrombosis," "aortic," and "mitral," our search did not show similar cases.

摘要

机械瓣血栓形成(MVT)的发生率约为每 100 患者年 0.4 例。二尖瓣血栓形成的发生率高于主动脉瓣血栓形成,几乎增加了 5 倍。多种因素导致 MVT。瓣膜血栓形成最常见的原因是抗凝治疗的依从性差/中断。已知低心输出量会增加人工瓣膜血栓形成的风险。其他因素,如糖尿病、高血压和其他患者合并症,也可能起作用。血流减少会促进血液高凝。左心房压力降低(左心室速度升高)可能部分导致二尖瓣 MVT 与主动脉 MVT 的发生率较高。临床表现通常取决于瓣膜血栓形成的严重程度;非阻塞性瓣膜血栓形成患者逐渐出现呼吸困难、心力衰竭体征和全身性栓塞,其中中风是最常见的并发症。在本文中,我们报告了 1 例中年女性,有二尖瓣和主动脉机械假体的病史,因机械主动脉瓣假体血栓形成而出现 ST 段抬高型心肌梗死和肺水肿。她患有孤立性机械主动脉瓣假体血栓形成,二尖瓣完整,据我们所知,这种情况尚未被描述。我们通过在 PubMed 和 Embase 上使用关键词“机械瓣”、“血栓形成”、“主动脉”和“二尖瓣”进行了文献回顾,我们的搜索没有显示出类似的病例。

https://cdn.ncbi.nlm.nih.gov/pmc/blobs/afed/7543143/0765958ed71c/10.1177_2324709620963567-fig1.jpg

文献检索

告别复杂PubMed语法,用中文像聊天一样搜索,搜遍4000万医学文献。AI智能推荐,让科研检索更轻松。

立即免费搜索

文件翻译

保留排版,准确专业,支持PDF/Word/PPT等文件格式,支持 12+语言互译。

免费翻译文档

深度研究

AI帮你快速写综述,25分钟生成高质量综述,智能提取关键信息,辅助科研写作。

立即免费体验