Suppr超能文献

在靠近“顶叶部位”的开颅手术中使用预防性硬膜外闭式引流和非防水硬脑膜缝合的优势。

Advantages of using a prophylactic epidural closed drain and non-watertight dura suture in a craniotomy near the "parietal site".

作者信息

Li Xin, Li Jing, Sui Jianfei, Niyazi Tuerdialimu, Yalikun Naibijiang, Wang Shuo

机构信息

Department of Neurosurgery, Beijing Tiantan Hospital, Capital Medical University, No. 119 South 4th Ring West Road, Fengtai District, Beijing, 100070 China.

Department of Operating Room, Beijing Tiantan Hospital, Capital Medical University, No. 119 South 4th Ring West Road, Fengtai District, Beijing, 100070 China.

出版信息

Chin Neurosurg J. 2020 Oct 5;6:34. doi: 10.1186/s41016-020-00212-2. eCollection 2020.

Abstract

BACKGROUND

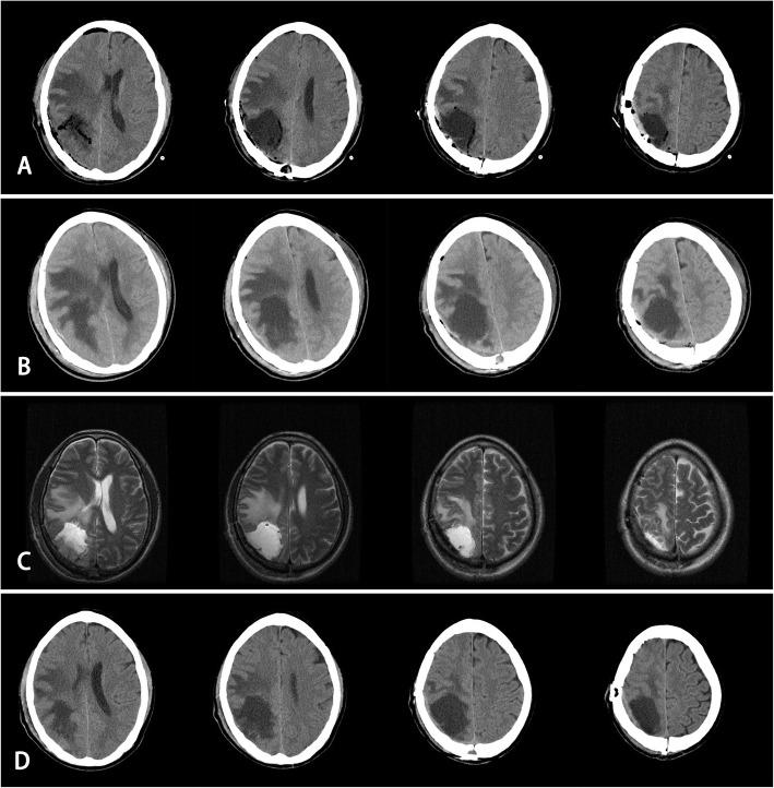
In neurosurgery, the necessity of having a drainage tube is controversial. Subgaleal fluid collection (SFC) often occurs, especially in a craniotomy near the "parietal site".This study aimed to reassess the benefit of using a prophylactic epidural drainage (ED) and non-watertight dura suture in a craniotomy near the parietal site.

METHODS

A retrospective review was conducted on 63 consecutive patients who underwent a craniotomy near the parietal site. The patients were divided into two groups according to different period. The deal group received ED and a non-watertight dura suture (drain group, DG), the control group that did not (non-drain group, NDG). Complications and patient recovery were evaluated and analysed.

RESULTS

Three patients (11.5%, 26) in DG and 20 patients (54.1%, 37) in NDG presented with SFC ( < 0.05). One patient (3.8%) in DG and three patients (8.1%) in NDG presented with subdural tensile hydrops (STH) ( > 0.05). Six developed an infection in NDG (four intracranial infections, one abscess, one pulmonary infection), while none in DG ( > 0.05) developed infection. Three (11.5%) cases in DG and one (2.7%) case in NDG had muscle strength that improved postoperatively ( > 0.05). Fifteen (57.7%) in DG and 14 (37.8%) in NDG had epileptic seizures less frequently postoperatively ( < 0.05). The average temperature (37.4 °C vs 37.6 °C, > 0.05), the maximum temperature (37.9 °C vs 38.1 °C, > 0.05) on 3 PODs, the postoperative hospital stay day (7.5 days vs 8.0 days, > 0.05), and the postoperative medicine fee (¥29762.0 vs ¥28321.0, > 0.05) were analysed.

CONCLUSION

In patients who undergo a craniotomy near the parietal site, the prophylactic use of ED and a non-watertight dura suture helps reduce SFC, infection, and control epilepsy.

摘要

背景

在神经外科手术中,放置引流管的必要性存在争议。帽状腱膜下积液(SFC)经常发生,尤其是在靠近“顶叶部位”的开颅手术中。本研究旨在重新评估在靠近顶叶部位的开颅手术中使用预防性硬膜外引流(ED)和非水密性硬脑膜缝合的益处。

方法

对63例连续在靠近顶叶部位接受开颅手术的患者进行回顾性研究。根据不同时期将患者分为两组。治疗组接受ED和非水密性硬脑膜缝合(引流组,DG),对照组未接受(非引流组,NDG)。对并发症和患者恢复情况进行评估和分析。

结果

DG组有3例患者(11.5%,26)出现SFC,NDG组有20例患者(54.1%,37)出现SFC(P<0.05)。DG组有1例患者(3.8%)出现硬膜下张力性积液(STH),NDG组有3例患者(8.1%)出现STH(P>0.05)。NDG组有6例发生感染(4例颅内感染、1例脓肿、1例肺部感染),而DG组无感染发生(P>0.05)。DG组有3例(11.5%)患者术后肌力改善,NDG组有1例(2.7%)患者术后肌力改善(P>0.05)。DG组有15例(57.7%)患者术后癫痫发作频率降低,NDG组有14例(37.8%)患者术后癫痫发作频率降低(P<0.05)。分析了术后第3天的平均体温(37.4℃对37.6℃,P>0.05)、最高体温(37.9℃对38.1℃,P>0.05)、术后住院天数(7.5天对8.0天,P>0.05)以及术后药费(29762.0元对28321.0元,P>0.05)。

结论

在靠近顶叶部位接受开颅手术的患者中,预防性使用ED和非水密性硬脑膜缝合有助于减少SFC、感染并控制癫痫。

https://cdn.ncbi.nlm.nih.gov/pmc/blobs/572e/7534153/2b5fb9daed95/41016_2020_212_Fig1_HTML.jpg

文献检索

告别复杂PubMed语法,用中文像聊天一样搜索,搜遍4000万医学文献。AI智能推荐,让科研检索更轻松。

立即免费搜索

文件翻译

保留排版,准确专业,支持PDF/Word/PPT等文件格式,支持 12+语言互译。

免费翻译文档

深度研究

AI帮你快速写综述,25分钟生成高质量综述,智能提取关键信息,辅助科研写作。

立即免费体验