• 文献检索
  • 文档翻译
  • 深度研究
  • 学术资讯
  • Suppr Zotero 插件Zotero 插件
  • 邀请有礼
  • 套餐&价格
  • 历史记录
应用&插件
Suppr Zotero 插件Zotero 插件浏览器插件Mac 客户端Windows 客户端微信小程序
定价
高级版会员购买积分包购买API积分包
服务
文献检索文档翻译深度研究API 文档MCP 服务
关于我们
关于 Suppr公司介绍联系我们用户协议隐私条款
关注我们

Suppr 超能文献

核心技术专利:CN118964589B侵权必究
粤ICP备2023148730 号-1Suppr @ 2026

文献检索

告别复杂PubMed语法,用中文像聊天一样搜索,搜遍4000万医学文献。AI智能推荐,让科研检索更轻松。

立即免费搜索

文件翻译

保留排版,准确专业,支持PDF/Word/PPT等文件格式,支持 12+语言互译。

免费翻译文档

深度研究

AI帮你快速写综述,25分钟生成高质量综述,智能提取关键信息,辅助科研写作。

立即免费体验

未经治疗的膀胱原发性淀粉样变性在经尿道切除活检后自发缓解:一例病例报告及文献复习。

Spontaneous remission of untreated primary amyloidosis of the bladder after transurethral resection biopsy: a case report and literature review.

机构信息

Department of Urology, Hebei General Hospital, Shijiazhuang, China.

出版信息

J Int Med Res. 2020 Oct;48(10):300060520940452. doi: 10.1177/0300060520940452.

DOI:10.1177/0300060520940452
PMID:33054497
原文链接:https://pmc.ncbi.nlm.nih.gov/articles/PMC7580162/
Abstract

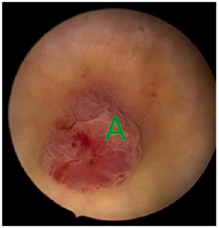
We herein present a case involving a 23-year-old woman with gross hematuria. Cystoscopy revealed abnormal areas of the mucosa along the anterior and posterior bladder walls. These abnormalities were suspicious for neoplasia; however, a diagnosis was not established by subsequent biopsy. The patient underwent transurethral resection biopsy in which an isolated lesion along the anterior wall was completely resected and the others were left untreated. Pathologic examination and special staining led to a diagnosis of amyloidosis, and the patient elected to undergo transurethral surgery 1 month later. During the operation, the intravesical lesions were found to have significantly improved in both the treated and untreated sites. The operation was cancelled, follow-up was arranged, and no other treatment was administered. Repeat cystoscopy examinations at 3 and 9 months after surgery showed that the lesions had almost completely disappeared.

摘要

我们在此报告一例 23 岁女性患者,主因肉眼血尿就诊。膀胱镜检查发现膀胱前壁和后壁黏膜有异常区域。这些异常区域疑似肿瘤,但随后的活检并未明确诊断。患者接受了经尿道电切术,其中前壁的孤立病变完全切除,其他病变未予处理。病理检查和特殊染色提示为淀粉样变性,患者选择在 1 个月后接受经尿道手术。术中发现膀胱内病变在治疗和未治疗部位均明显改善。手术取消,安排了随访,未给予其他治疗。术后 3 个月和 9 个月时的重复膀胱镜检查显示,病变几乎完全消失。

https://cdn.ncbi.nlm.nih.gov/pmc/blobs/3cf1/7580162/e617c988c84a/10.1177_0300060520940452-fig8.jpg
https://cdn.ncbi.nlm.nih.gov/pmc/blobs/3cf1/7580162/ce7be3663f80/10.1177_0300060520940452-fig1.jpg
https://cdn.ncbi.nlm.nih.gov/pmc/blobs/3cf1/7580162/d1a5a1cbcb03/10.1177_0300060520940452-fig2.jpg
https://cdn.ncbi.nlm.nih.gov/pmc/blobs/3cf1/7580162/fd0ee1c011e4/10.1177_0300060520940452-fig3.jpg
https://cdn.ncbi.nlm.nih.gov/pmc/blobs/3cf1/7580162/8d7bfdb7f426/10.1177_0300060520940452-fig4.jpg
https://cdn.ncbi.nlm.nih.gov/pmc/blobs/3cf1/7580162/1b3268d54704/10.1177_0300060520940452-fig5.jpg
https://cdn.ncbi.nlm.nih.gov/pmc/blobs/3cf1/7580162/6612aeb67bfe/10.1177_0300060520940452-fig6.jpg
https://cdn.ncbi.nlm.nih.gov/pmc/blobs/3cf1/7580162/3dc40f4717e1/10.1177_0300060520940452-fig7.jpg
https://cdn.ncbi.nlm.nih.gov/pmc/blobs/3cf1/7580162/e617c988c84a/10.1177_0300060520940452-fig8.jpg
https://cdn.ncbi.nlm.nih.gov/pmc/blobs/3cf1/7580162/ce7be3663f80/10.1177_0300060520940452-fig1.jpg
https://cdn.ncbi.nlm.nih.gov/pmc/blobs/3cf1/7580162/d1a5a1cbcb03/10.1177_0300060520940452-fig2.jpg
https://cdn.ncbi.nlm.nih.gov/pmc/blobs/3cf1/7580162/fd0ee1c011e4/10.1177_0300060520940452-fig3.jpg
https://cdn.ncbi.nlm.nih.gov/pmc/blobs/3cf1/7580162/8d7bfdb7f426/10.1177_0300060520940452-fig4.jpg
https://cdn.ncbi.nlm.nih.gov/pmc/blobs/3cf1/7580162/1b3268d54704/10.1177_0300060520940452-fig5.jpg
https://cdn.ncbi.nlm.nih.gov/pmc/blobs/3cf1/7580162/6612aeb67bfe/10.1177_0300060520940452-fig6.jpg
https://cdn.ncbi.nlm.nih.gov/pmc/blobs/3cf1/7580162/3dc40f4717e1/10.1177_0300060520940452-fig7.jpg
https://cdn.ncbi.nlm.nih.gov/pmc/blobs/3cf1/7580162/e617c988c84a/10.1177_0300060520940452-fig8.jpg

相似文献

1
Spontaneous remission of untreated primary amyloidosis of the bladder after transurethral resection biopsy: a case report and literature review.未经治疗的膀胱原发性淀粉样变性在经尿道切除活检后自发缓解:一例病例报告及文献复习。
J Int Med Res. 2020 Oct;48(10):300060520940452. doi: 10.1177/0300060520940452.
2
Primary amyloidosis of the urinary bladder.膀胱原发性淀粉样变性
J Formos Med Assoc. 2006 Feb;105(2):164-7. doi: 10.1016/S0929-6646(09)60339-9.
3
Primary bladder amyloidosis.原发性膀胱淀粉样变性
Intern Med. 2014;53(21):2511-3. doi: 10.2169/internalmedicine.53.2903. Epub 2014 Nov 1.
4
[Primary AA type amyloidosis of the urinary bladder: a case report].[膀胱原发性AA型淀粉样变性:一例报告]
Hinyokika Kiyo. 2000 Mar;46(3):197-9.
5
[Primary amyloidosis of the bladder: a case report].
Hinyokika Kiyo. 1989 Jul;35(7):1217-22.
6
[Localized amyloidosis of the urinary bladder: a case report].
Hinyokika Kiyo. 2011 Aug;57(8):439-43.
7
Transurethral Resection of a Large Urinary Bladder Leiomyoma: A Rare Case Report.经尿道膀胱大平滑肌瘤切除术:一例罕见病例报告
Urol J. 2017 Jul 2;14(4):4052-4054.
8
Minimally invasive surgery for inflammatory myofibroblastic tumor of the urinary bladder: Three case reports.膀胱炎性肌纤维母细胞瘤的微创手术:三例报告
Medicine (Baltimore). 2018 Dec;97(49):e13474. doi: 10.1097/MD.0000000000013474.
9
Incidental bladder cancers found on multiparametric MRI of the prostate gland: a single center experience.前列腺多参数磁共振成像偶然发现的膀胱癌:单中心经验。
Diagn Interv Radiol. 2018 Sep;24(5):316-320. doi: 10.5152/dir.2018.18102.
10
Bladder triangle amyloidosis: A case report and literature review.膀胱三角淀粉样变:病例报告及文献复习。
Medicine (Baltimore). 2022 Dec 9;101(49):e32179. doi: 10.1097/MD.0000000000032179.

本文引用的文献

1
External beam radiation therapy for amyloidosis of the urinary bladder.膀胱淀粉样变性的外照射放射治疗
Pract Radiat Oncol. 2018 Jan-Feb;8(1):25-27. doi: 10.1016/j.prro.2017.08.003. Epub 2017 Aug 16.
2
Primary amyloidosis of the bladder; a mimicker of bladder cancer.膀胱原发性淀粉样变性;膀胱癌的模仿者。
Can J Urol. 2017 Jun;24(3):8868-8870.
3
Bladder amyloidosis.膀胱淀粉样变性
J Urol. 2010 Jun;183(6):2388-9. doi: 10.1016/j.juro.2010.03.069. Epub 2010 Apr 18.
4
Localized amyloidosis of the upper urinary tract: a case series of three patients managed with reconstructive surgery or surveillance.上尿路局部淀粉样变性:3 例采用重建手术或随诊治疗的病例系列研究
J Endourol. 2010 Apr;24(4):641-4. doi: 10.1089/end.2009.0383.
5
Primary bladder amyloidosis--case report of a patient with delayed upper urinary tract obstruction 3 years after the diagnosis.原发性膀胱淀粉样变性——3 年后发生上尿路梗阻的患者病例报告。
Amyloid. 2010 Mar;17(1):36-8. doi: 10.3109/13506121003619377.
6
Localized amyloidosis of the urinary tract: case series of nine patients.泌尿道局限性淀粉样变性:9例患者的病例系列
Urology. 2006 May;67(5):904-9. doi: 10.1016/j.urology.2005.11.029. Epub 2006 Apr 25.
7
Anurea caused by primary amyloidosis of the lower third of the ureters, the ureterovesical junction and the urinary bladder: a case report and review of the literature.由输尿管下三分之一、输尿管膀胱连接处及膀胱原发性淀粉样变性引起的无尿:一例病例报告及文献复习
Int Urol Nephrol. 2004;36(3):339-42. doi: 10.1007/s11255-004-0931-0.
8
Localized primary amyloidosis of the genitourinary tract: does conservatism help?
Urol Int. 2004;73(3):280-2. doi: 10.1159/000080843.
9
Primary localized amyloidosis of the bladder: experience with dimethyl sulfoxide therapy.
J Urol. 2002 Sep;168(3):1018-20. doi: 10.1016/S0022-5347(05)64564-8.
10
Long-term recurrence of primary amyloidosis of the bladder.膀胱原发性淀粉样变性的长期复发
Urology. 2002 Mar;59(3):444. doi: 10.1016/s0090-4295(01)01565-5.