Yan Meizhu, Shen Manru, Xu Linfang, Huang Jiying, He Guijun, An Min, Li Xiaocui, Gao Zhenjun, Meng Xin
Department of Gastroenterology, Zhongshan Hospital Qingpu Branch, Fudan University, Shanghai 201700, People's Republic of China.
Department of Hospital Infection Management, Zhongshan Hospital Qingpu Branch, Fudan University, Shanghai 201700, People's Republic of China.
Onco Targets Ther. 2020 Sep 24;13:9455-9463. doi: 10.2147/OTT.S259853. eCollection 2020.
Pancreatic stellate cells (PSCs) are precursor cells of cancer-associated fibroblasts that promote tumor proliferation, invasion, and metastasis. The glucagon-like peptide-1 receptor agonist exendin-4 has been reported to exhibit anticancer effects against several tumor cells; however, the function and mechanism underlying the effects of exendin-4 on pancreatic cancer cells remain unclear.
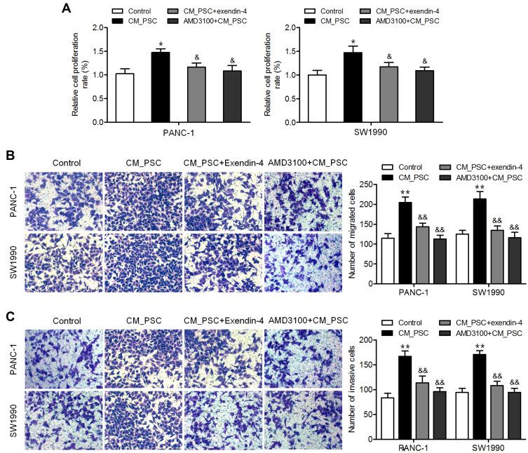
Gene expression levels were determined using quantitative real-time polymerase chain reaction (qRT-PCR) and Western blot assay. Cell viability, migration and invasion were assessed using the cell counting kit-8 (CCK-8), wound healing, and transwell assays, respectively. A xenografted tumor model was established in mouse to evaluate the effects of exendin-4 in vivo.
Exendin-4 treatment led to the inactivation of PSCs and suppressed their proliferation and migration. Moreover, we also found that exendin-4 attenuated NF-κB-dependent SDF-1 secretion. Furthermore, pancreatic cancer cells incubated with conditioned medium obtained from exendin-4-treated PSCs showed a decreased ability to proliferate, migrate, and invade as compared to the control cells, which is similar to the effects induced by the CXCR4 inhibitor, AMD3100. Consistent with in vitro results, we also confirmed that exendin-4 indirectly targeted pancreatic cancer cells in vivo by attenuating the function of PSCs and suppressing the deposition of extracellular matrix.
These results revealed that exendin-4-treated PSCs could suppress pancreatic cancer cell proliferation and invasion, offering a potential strategy for the treatment of pancreatic cancer.
胰腺星状细胞(PSCs)是癌症相关成纤维细胞的前体细胞,可促进肿瘤增殖、侵袭和转移。据报道,胰高血糖素样肽-1受体激动剂艾塞那肽-4对几种肿瘤细胞具有抗癌作用;然而,艾塞那肽-4对胰腺癌细胞作用的功能和机制仍不清楚。
使用定量实时聚合酶链反应(qRT-PCR)和蛋白质免疫印迹法测定基因表达水平。分别使用细胞计数试剂盒-8(CCK-8)、伤口愈合实验和Transwell实验评估细胞活力、迁移和侵袭能力。在小鼠中建立异种移植肿瘤模型以评估艾塞那肽-4在体内的作用。
艾塞那肽-4处理导致PSCs失活,并抑制其增殖和迁移。此外,我们还发现艾塞那肽-4减弱了NF-κB依赖性的SDF-1分泌。此外,与对照细胞相比,用从艾塞那肽-4处理的PSCs获得的条件培养基孵育的胰腺癌细胞增殖、迁移和侵袭能力降低,这与CXCR4抑制剂AMD3100诱导的效果相似。与体外结果一致,我们还证实艾塞那肽-4在体内通过减弱PSCs的功能和抑制细胞外基质的沉积间接靶向胰腺癌细胞。
这些结果表明,艾塞那肽-4处理的PSCs可抑制胰腺癌细胞的增殖和侵袭,为胰腺癌的治疗提供了一种潜在策略。