Suppr超能文献

双特异性磷酸酶9(DUSP9)的下调促进肿瘤进展并导致人类结直肠癌预后不良。

Downregulation of DUSP9 Promotes Tumor Progression and Contributes to Poor Prognosis in Human Colorectal Cancer.

作者信息

Qiu Zhaoyan, Liang Ning, Huang Qian, Sun Tao, Xue Hongyuan, Xie Tianyu, Wang Xinxin, Wang Qian

机构信息

Department of General Surgery, The First Medical Centre, Chinese PLA General Hospital, Beijing, China.

Department of General Surgery, The 75th Group Army Hospital, Dali, China.

出版信息

Front Oncol. 2020 Sep 23;10:547011. doi: 10.3389/fonc.2020.547011. eCollection 2020.

Abstract

BACKGROUND

Dual-specificity phosphatase 9 (DUSP9) belongs to the dual-specificity protein phosphatase subfamily. Recently, increasing attention has been paid on the role of DUSP9 in a variety of cancers. However, its functional role in tumor development is still unclear, especially in colorectal cancer (CRC).

METHODS

The functional role of DUSP9 in inhibiting the progression of CRC was verified using colony formation assay, wound healing assay, nude mice xenograft model, etc. RNA-seq was performed to assess the gene expression profiling in SW480 cells with DUSP9 stable knockdown and shControl cells. Bisulfite sequencing (BSE) was performed to reveal the methylation status of CpG island in the promoter of DUSP9.

RESULTS

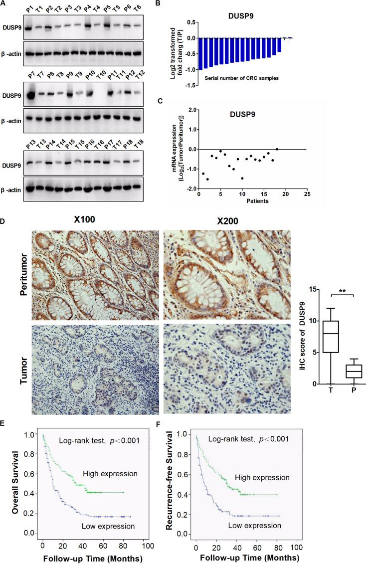
DUSP9 was significantly downregulated in tumor tissues compared with peritumor tissues. Mechanistically, the high methylation status of CpG island in the promoter of DUSP9 may lead to the downregulation of DUSP9 in CRC. Clinically, low DUSP9 expression in CRC was closely associated with depth of invasion, metastasis (TNM) stage, and poor survival, indicating that DUSP9 may be involved in the progression of CRC. Functional study revealed that DUSP9 inhibited proliferation, migration, invasion, and epithelial-mesenchymal transition of CRC cells both and . Transcriptome profiling studies revealed that Erk signaling was involved in the tumor progression mediated by DUSP9 silencing, which is confirmed by cell experiments and clinical tissue sample staining analysis.

CONCLUSION

Our findings demonstrate that DUSP9 plays a critical role in the progression of CRC, and therapeutic intervention to increase the expression or activity of DUSP9 may be a potential target for CRC treatment in the future.

摘要

背景

双特异性磷酸酶9(DUSP9)属于双特异性蛋白磷酸酶亚家族。近年来,DUSP9在多种癌症中的作用受到越来越多的关注。然而,其在肿瘤发生发展中的功能作用仍不清楚,尤其是在结直肠癌(CRC)中。

方法

采用集落形成试验、伤口愈合试验、裸鼠异种移植模型等验证DUSP9在抑制CRC进展中的功能作用。进行RNA测序以评估DUSP9稳定敲低的SW480细胞和对照shRNA细胞中的基因表达谱。采用亚硫酸氢盐测序(BSE)揭示DUSP9启动子中CpG岛的甲基化状态。

结果

与癌旁组织相比,肿瘤组织中DUSP9显著下调。机制上,DUSP9启动子中CpG岛的高甲基化状态可能导致CRC中DUSP9的下调。临床上,CRC中DUSP9低表达与浸润深度、转移(TNM)分期及不良预后密切相关,提示DUSP9可能参与CRC的进展。功能研究表明,DUSP9在体内外均抑制CRC细胞的增殖、迁移、侵袭及上皮-间质转化。转录组分析研究表明,Erk信号通路参与了DUSP9沉默介导的肿瘤进展,细胞实验和临床组织样本染色分析证实了这一点。

结论

我们的研究结果表明,DUSP9在CRC进展中起关键作用,增加DUSP9表达或活性的治疗干预可能是未来CRC治疗的潜在靶点。

https://cdn.ncbi.nlm.nih.gov/pmc/blobs/2311/7538709/97440a4e66e4/fonc-10-547011-g001.jpg

文献检索

告别复杂PubMed语法,用中文像聊天一样搜索,搜遍4000万医学文献。AI智能推荐,让科研检索更轻松。

立即免费搜索

文件翻译

保留排版,准确专业,支持PDF/Word/PPT等文件格式,支持 12+语言互译。

免费翻译文档

深度研究

AI帮你快速写综述,25分钟生成高质量综述,智能提取关键信息,辅助科研写作。

立即免费体验