Suppr超能文献

肺叶内隔离症合并曲霉菌病及误吸

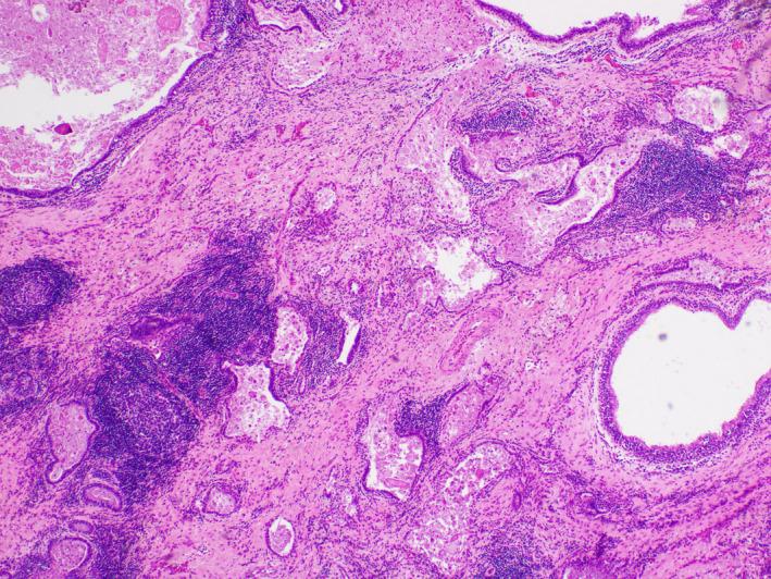
Pulmonary intralobar sequestration associated with aspergillosis and aspiration.

作者信息

Zaccarini Daniel J, El-Zammar Ola

机构信息

Pathology SUNY Upstate University Hospital Syracuse NY USA.

出版信息

Clin Case Rep. 2020 Jun 30;8(10):1880-1883. doi: 10.1002/ccr3.3039. eCollection 2020 Oct.

Abstract

The pathogenesis of intralobar pulmonary sequestration is not completely understood, either representing a congenital or acquired process. The presence of fungal organisms and aspiration has both clinical and etiologic significance.

摘要

肺叶内型肺隔离症的发病机制尚未完全明确,其既可能是先天性过程,也可能是后天获得性过程。真菌生物的存在及误吸具有临床及病因学意义。

https://cdn.ncbi.nlm.nih.gov/pmc/blobs/a678/7562881/cbad82b6d303/CCR3-8-1880-g001.jpg

文献检索

告别复杂PubMed语法,用中文像聊天一样搜索,搜遍4000万医学文献。AI智能推荐,让科研检索更轻松。

立即免费搜索

文件翻译

保留排版,准确专业,支持PDF/Word/PPT等文件格式,支持 12+语言互译。

免费翻译文档

深度研究

AI帮你快速写综述,25分钟生成高质量综述,智能提取关键信息,辅助科研写作。

立即免费体验