Koret School of Veterinary Medicine, The Hebrew University of Jerusalem, Rehovot, Israel.
Department of Internal Medicine, Ben-Shemen Specialist Referral Center, Ben-Shemen, Israel.
J Vet Intern Med. 2020 Nov;34(6):2687-2690. doi: 10.1111/jvim.15944. Epub 2020 Oct 24.
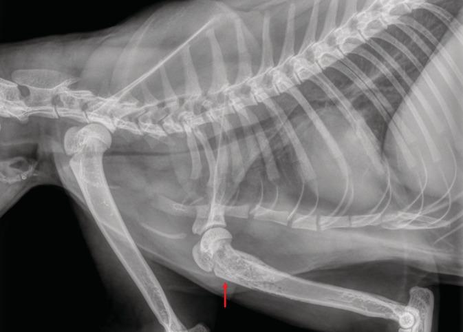
Tracheal intubation (TI) is a common procedure that rarely entails life-threatening complications. A 1.5-year-old female spayed cat presented with acute signs of respiratory distress 5 weeks after undergoing TI. Radiographs revealed a marked, segmental, tracheal narrowing. A hard, 5-cm-long, white-yellowish tissue was identified and removed from the trachea, with subsequent resolution of clinical signs and radiographic changes. Microscopically, the tissue consisted of fibrin and lytic neutrophils, interspaced with optically empty cavities and a few remains of talcum powder and hair shafts. Consequently, a diagnosis of obstructive fibrinous tracheal pseudomembrane (OFTP) was made. A rare complication of TI in humans, OFTP should also be suspected in cats with respiratory distress, a history of TI and radiographic evidence of tracheal narrowing. Based on cases from other species and the cat described herein, the condition can be easily resolved with OFTP removal.
气管插管(TI)是一种常见的程序,很少会导致危及生命的并发症。一只 1.5 岁的雌性去势猫在 TI 后 5 周出现急性呼吸窘迫的症状。X 光片显示明显的、节段性的气管狭窄。从气管中取出了一个 5 厘米长的硬的、灰白色的组织,随后临床症状和放射学变化得到了缓解。组织学上,该组织由纤维蛋白和溶解的嗜中性粒细胞组成,其间有空腔,还有一些滑石粉和毛发的残余物。因此,诊断为阻塞性纤维蛋白性气管假膜(OFTP)。OFTP 是人类 TI 的一种罕见并发症,对于有呼吸窘迫、TI 病史和气管狭窄放射学证据的猫,也应怀疑存在 OFTP。基于其他物种的病例和本文描述的猫的病例,通过去除 OFTP 可以很容易地解决该病症。