Suppr超能文献

一种用于在X射线图像及其元数据中进行COVID-19检测的基于主题的分层发布/订阅消息中间件。

A topic-based hierarchical publish/subscribe messaging middleware for COVID-19 detection in X-ray image and its metadata.

作者信息

Eken Süleyman

机构信息

Department of Information Systems Engineering, Kocaeli University, 41001 Kocaeli, Turkey.

出版信息

Soft comput. 2023;27(5):2645-2655. doi: 10.1007/s00500-020-05387-5. Epub 2020 Oct 19.

Abstract

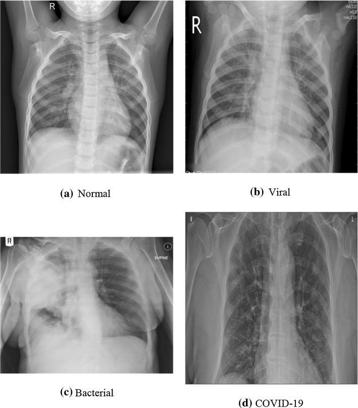
Putting real-time medical data processing applications into practice comes with some challenges such as scalability and performance. Processing medical images from different collaborators is an example of such applications, in which chest X-ray data are processed to extract knowledge. It is not easy to process data and get the required information in real time using central processing techniques when data get very large in size. In this paper, real-time data are filtered and forwarded to the right processing node by using the proposed topic-based hierarchical publish/subscribe messaging middleware in the distributed scalable network of collaborating computation nodes instead of classical approaches of centralized computation. This enables processing streaming medical data in near real time and makes a warning system possible. End users have the capability of filtering/searching. The returned search results can be images (COVID-19 or non-COVID-19) and their meta-data are gender and age. Here, COVID-19 is detected using a novel capsule network-based model from chest X-ray images. This middleware allows for a smaller search space as well as shorter times for obtaining search results.

摘要

将实时医疗数据处理应用付诸实践面临一些挑战,如可扩展性和性能。处理来自不同协作者的医学图像就是这类应用的一个例子,其中对胸部X光数据进行处理以提取知识。当数据量变得非常大时,使用中央处理技术实时处理数据并获取所需信息并非易事。在本文中,通过在协作计算节点的分布式可扩展网络中使用所提出的基于主题的分层发布/订阅消息中间件,实时数据被过滤并转发到正确的处理节点,而不是采用集中式计算的传统方法。这使得能够近乎实时地处理流式医疗数据,并使预警系统成为可能。终端用户具备过滤/搜索能力。返回的搜索结果可以是图像(新冠病毒感染或非新冠病毒感染),其元数据为性别和年龄。在此,使用基于新型胶囊网络的模型从胸部X光图像中检测新冠病毒感染。这种中间件允许有更小的搜索空间以及更短的获取搜索结果的时间。

https://cdn.ncbi.nlm.nih.gov/pmc/blobs/809e/7570402/d6f08bcf6211/500_2020_5387_Fig1_HTML.jpg

文献检索

告别复杂PubMed语法,用中文像聊天一样搜索,搜遍4000万医学文献。AI智能推荐,让科研检索更轻松。

立即免费搜索

文件翻译

保留排版,准确专业,支持PDF/Word/PPT等文件格式,支持 12+语言互译。

免费翻译文档

深度研究

AI帮你快速写综述,25分钟生成高质量综述,智能提取关键信息,辅助科研写作。

立即免费体验