• 文献检索
  • 文档翻译
  • 深度研究
  • 学术资讯
  • Suppr Zotero 插件Zotero 插件
  • 邀请有礼
  • 套餐&价格
  • 历史记录
应用&插件
Suppr Zotero 插件Zotero 插件浏览器插件Mac 客户端Windows 客户端微信小程序
定价
高级版会员购买积分包购买API积分包
服务
文献检索文档翻译深度研究API 文档MCP 服务
关于我们
关于 Suppr公司介绍联系我们用户协议隐私条款
关注我们

Suppr 超能文献

核心技术专利:CN118964589B侵权必究
粤ICP备2023148730 号-1Suppr @ 2026

文献检索

告别复杂PubMed语法,用中文像聊天一样搜索,搜遍4000万医学文献。AI智能推荐,让科研检索更轻松。

立即免费搜索

文件翻译

保留排版,准确专业,支持PDF/Word/PPT等文件格式,支持 12+语言互译。

免费翻译文档

深度研究

AI帮你快速写综述,25分钟生成高质量综述,智能提取关键信息,辅助科研写作。

立即免费体验

全膝关节置换术后伴腘动脉损伤的假体周围胫骨骨折——一例报告

Periprosthetic tibial fracture after total knee arthroplasty with popliteal artery injury-A case report.

作者信息

Konishi Hironobu, Maegawa Naoki, Nakao Satoko, Masuda Keisuke, Okuda Akinori, Ando Yushi, Kawamura Kenji, Yamamoto Kouji, Miyazaki Keita, Tada Yusuke, Takano Keisuke, Asai Hideki, Kawai Yasuyuki, Urisono Yasuyuki, Fukushima Hidetada, Tanaka Yasuhito

机构信息

Department of Orthopedic Surgery, Nara Medical University, 840 Shijotyo, Kashihara City, Nara 654-8522, Japan.

Department of Emergency and Critical Care Medicine, Nara Medical University, Nara, Japan.

出版信息

Trauma Case Rep. 2020 Oct 8;30:100359. doi: 10.1016/j.tcr.2020.100359. eCollection 2020 Dec.

DOI:10.1016/j.tcr.2020.100359
PMID:33102676
原文链接:https://pmc.ncbi.nlm.nih.gov/articles/PMC7578748/
Abstract

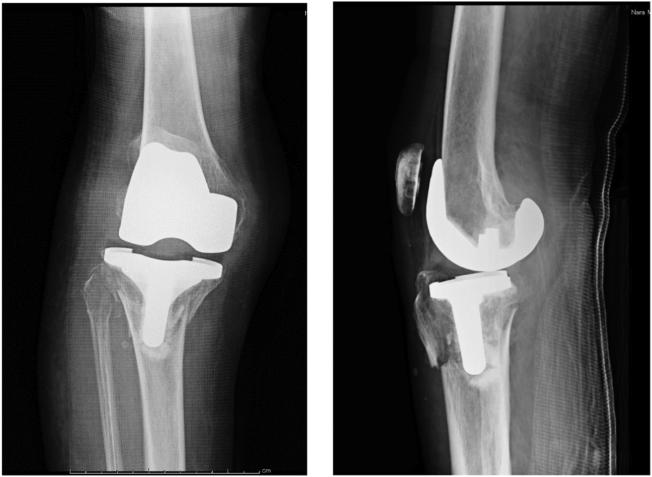
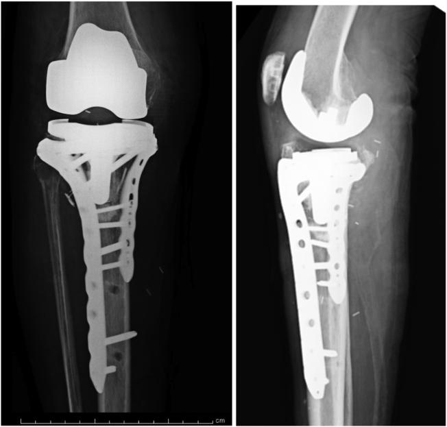
We present the case of a 79-year-old woman who presented at our center with a periprosthetic tibial fracture with a popliteal artery injury after total knee arthroplasty. Anastomosis of the popliteal artery was performed on the day of injury, and was later treated by open reduction and internal fixation. The patient was able to walk 3 months after injury. The present case was difficult to treat because of the arterial injury associated with periprosthetic fracture. Although revision of the implant was considered, open reduction and internal fixation was selected because of the severity of soft-tissue damage. The mechanism of injury is not uncommon, and it is expected that similar fractures will become more prevalent in the future as the number of knee replacement surgeries increases.

摘要

我们报告了一例79岁女性患者的病例,该患者在全膝关节置换术后因假体周围胫骨骨折合并腘动脉损伤前来我院就诊。受伤当天进行了腘动脉吻合术,随后接受了切开复位内固定治疗。患者受伤后3个月能够行走。由于假体周围骨折合并动脉损伤,本病例治疗困难。尽管考虑了翻修植入物,但由于软组织损伤严重,选择了切开复位内固定。这种损伤机制并不罕见,预计随着膝关节置换手术数量的增加,未来类似骨折将变得更加普遍。

https://cdn.ncbi.nlm.nih.gov/pmc/blobs/9c76/7578748/db26e02d14ed/gr7.jpg
https://cdn.ncbi.nlm.nih.gov/pmc/blobs/9c76/7578748/323204a9d198/gr1.jpg
https://cdn.ncbi.nlm.nih.gov/pmc/blobs/9c76/7578748/e474093721ef/gr2.jpg
https://cdn.ncbi.nlm.nih.gov/pmc/blobs/9c76/7578748/cee66a7bbbc9/gr3.jpg
https://cdn.ncbi.nlm.nih.gov/pmc/blobs/9c76/7578748/79711c11ff1e/gr4.jpg
https://cdn.ncbi.nlm.nih.gov/pmc/blobs/9c76/7578748/405fb1516f72/gr5.jpg
https://cdn.ncbi.nlm.nih.gov/pmc/blobs/9c76/7578748/e81df6b65c9e/gr6.jpg
https://cdn.ncbi.nlm.nih.gov/pmc/blobs/9c76/7578748/db26e02d14ed/gr7.jpg
https://cdn.ncbi.nlm.nih.gov/pmc/blobs/9c76/7578748/323204a9d198/gr1.jpg
https://cdn.ncbi.nlm.nih.gov/pmc/blobs/9c76/7578748/e474093721ef/gr2.jpg
https://cdn.ncbi.nlm.nih.gov/pmc/blobs/9c76/7578748/cee66a7bbbc9/gr3.jpg
https://cdn.ncbi.nlm.nih.gov/pmc/blobs/9c76/7578748/79711c11ff1e/gr4.jpg
https://cdn.ncbi.nlm.nih.gov/pmc/blobs/9c76/7578748/405fb1516f72/gr5.jpg
https://cdn.ncbi.nlm.nih.gov/pmc/blobs/9c76/7578748/e81df6b65c9e/gr6.jpg
https://cdn.ncbi.nlm.nih.gov/pmc/blobs/9c76/7578748/db26e02d14ed/gr7.jpg

相似文献

1
Periprosthetic tibial fracture after total knee arthroplasty with popliteal artery injury-A case report.全膝关节置换术后伴腘动脉损伤的假体周围胫骨骨折——一例报告
Trauma Case Rep. 2020 Oct 8;30:100359. doi: 10.1016/j.tcr.2020.100359. eCollection 2020 Dec.
2
Periprosthetic tibial fractures in total knee arthroplasty - an outcome analysis of a challenging and underreported surgical issue.全膝关节置换术中的假体周围胫骨骨折——一项关于具有挑战性且报道不足的外科问题的结果分析
BMC Musculoskelet Disord. 2018 Sep 11;19(1):323. doi: 10.1186/s12891-018-2250-0.
3
Bilateral periprosthetic tibial stress fracture after total knee arthroplasty: A case report.全膝关节置换术后双侧假体周围胫骨应力性骨折:一例报告。
Int J Surg Case Rep. 2016;24:175-8. doi: 10.1016/j.ijscr.2016.04.023. Epub 2016 Apr 19.
4
[Osteosynthesis for periprosthetic supracondylar fracture above a total knee arthroplasty using a locking compression plate].使用锁定加压钢板治疗全膝关节置换术后假体周围髁上骨折的接骨术
Acta Chir Orthop Traumatol Cech. 2009 Dec;76(6):473-8.
5
Periprosthetic Tibial Fractures After Total Knee Arthroplasty: Early and Long-Term Clinical Outcomes.全膝关节置换术后胫骨假体周围骨折:早期和长期临床结果。
J Arthroplasty. 2021 Apr;36(4):1429-1436. doi: 10.1016/j.arth.2020.10.035. Epub 2020 Oct 26.
6
[Traumatic knee dislocation with popliteal vascular disruption: retrospective study of 14 cases].[伴有腘血管损伤的创伤性膝关节脱位:14例回顾性研究]
Rev Chir Orthop Reparatrice Appar Mot. 2006 Dec;92(8):768-77. doi: 10.1016/s0035-1040(06)75945-1.
7
Periprosthetic fractures after total knee arthroplasty.全膝关节置换术后假体周围骨折
J Orthop Surg (Hong Kong). 2014 Apr;22(1):24-9. doi: 10.1177/230949901402200108.
8
Ilizarov external fixation for a periprosthetic tibial fracture in severe osteoporosis: a case report.伊利扎罗夫外固定治疗严重骨质疏松患者的人工关节周围胫骨骨折:1例报告
BMC Musculoskelet Disord. 2020 Mar 4;21(1):145. doi: 10.1186/s12891-020-3176-x.
9
Management and results in periprosthetic tibial fracture after total knee arthroplasty: Two-center 15-case retrospective series at 2 years' follow-up.全膝关节置换术后胫骨假体周围骨折的处理及结果:2 年随访的两中心 15 例回顾性系列研究。
Orthop Traumatol Surg Res. 2020 May;106(3):449-458. doi: 10.1016/j.otsr.2020.01.008. Epub 2020 Mar 14.
10
Outcomes of fixation for periprosthetic tibia fractures around and below total knee arthroplasty.全膝关节置换周围和下方胫骨假体周围骨折固定的结果。
Injury. 2019 Apr;50(4):978-982. doi: 10.1016/j.injury.2019.03.014. Epub 2019 Mar 15.

本文引用的文献

1
Periprosthetic tibial fractures in total knee arthroplasty - an outcome analysis of a challenging and underreported surgical issue.全膝关节置换术中的假体周围胫骨骨折——一项关于具有挑战性且报道不足的外科问题的结果分析
BMC Musculoskelet Disord. 2018 Sep 11;19(1):323. doi: 10.1186/s12891-018-2250-0.
2
Circular hexapod external fixation for periprosthetic tibial fracture.环形六足外固定治疗人工关节周围胫骨骨折
Arthroplast Today. 2017 Jun 9;4(2):192-199. doi: 10.1016/j.artd.2017.03.001. eCollection 2018 Jun.
3
Outcome of osteosynthesis for periprosthetic fractures after total knee arthroplasty: a retrospective study.
全膝关节置换术后假体周围骨折的接骨术治疗结果:一项回顾性研究
Eur J Orthop Surg Traumatol. 2018 May;28(4):683-690. doi: 10.1007/s00590-017-2121-7. Epub 2018 Jan 3.
4
Teriparatide Administration Increases Periprosthetic Bone Mineral Density After Total Knee Arthroplasty: A Prospective Study.特立帕肽给药增加全膝关节置换术后假体周围骨密度:一项前瞻性研究。
J Arthroplasty. 2018 Jan;33(1):79-85. doi: 10.1016/j.arth.2017.07.026. Epub 2017 Jul 25.
5
Successful outcome with minimally invasive plate osteosynthesis for periprosthetic tibial fracture after total knee arthroplasty.全膝关节置换术后假体周围胫骨骨折采用微创钢板接骨术取得成功疗效。
Orthop Traumatol Surg Res. 2017 Apr;103(2):263-268. doi: 10.1016/j.otsr.2016.10.007. Epub 2016 Nov 25.
6
Suprapatellar Nailing of Tibial Shaft Fractures in Total Knee Arthroplasty.全膝关节置换术中胫骨干骨折的髌上钉固定
J Orthop Trauma. 2016 Dec;30(12):e409-e413. doi: 10.1097/BOT.0000000000000656.
7
Periprosthetic fractures following total knee arthroplasty.全膝关节置换术后假体周围骨折
Knee Surg Relat Res. 2015 Mar;27(1):1-9. doi: 10.5792/ksrr.2015.27.1.1. Epub 2015 Mar 2.
8
Periprosthetic fractures after total knee arthroplasty.全膝关节置换术后假体周围骨折
J Orthop Surg (Hong Kong). 2014 Apr;22(1):24-9. doi: 10.1177/230949901402200108.
9
Periprosthetic fractures around the knee-the best way of treatment.膝关节周围假体周围骨折——最佳治疗方法
Eur Orthop Traumatol. 2013 Jun;4(2):93-102. doi: 10.1007/s12570-012-0130-x. Epub 2012 Aug 21.
10
Management and outcome of periprosthetic fractures after total knee arthroplasty.全膝关节置换术后假体周围骨折的管理与结局
J Trauma. 2010 Jun;68(6):1464-70. doi: 10.1097/TA.0b013e3181d53f81.