• 文献检索
  • 文档翻译
  • 深度研究
  • 学术资讯
  • Suppr Zotero 插件Zotero 插件
  • 邀请有礼
  • 套餐&价格
  • 历史记录
应用&插件
Suppr Zotero 插件Zotero 插件浏览器插件Mac 客户端Windows 客户端微信小程序
定价
高级版会员购买积分包购买API积分包
服务
文献检索文档翻译深度研究API 文档MCP 服务
关于我们
关于 Suppr公司介绍联系我们用户协议隐私条款
关注我们

Suppr 超能文献

核心技术专利:CN118964589B侵权必究
粤ICP备2023148730 号-1Suppr @ 2026

文献检索

告别复杂PubMed语法,用中文像聊天一样搜索,搜遍4000万医学文献。AI智能推荐,让科研检索更轻松。

立即免费搜索

文件翻译

保留排版,准确专业,支持PDF/Word/PPT等文件格式,支持 12+语言互译。

免费翻译文档

深度研究

AI帮你快速写综述,25分钟生成高质量综述,智能提取关键信息,辅助科研写作。

立即免费体验

环形六足外固定治疗人工关节周围胫骨骨折

Circular hexapod external fixation for periprosthetic tibial fracture.

作者信息

Assayag Michael J, Bor Noam, Rubin Guy, Rozbruch S Robert

机构信息

Limb Lengthening and Complex Reconstruction Service, Hospital for Special Surgery, New York, NY, USA.

Department of Orthopaedic Surgery, Emek Medical Center, Afula, Israel.

出版信息

Arthroplast Today. 2017 Jun 9;4(2):192-199. doi: 10.1016/j.artd.2017.03.001. eCollection 2018 Jun.

DOI:10.1016/j.artd.2017.03.001
PMID:29896552
原文链接:https://pmc.ncbi.nlm.nih.gov/articles/PMC5994564/
Abstract

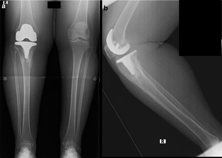
A poor soft tissue envelope often accompanies periprosthetic tibia fracture around a well-fixed total knee arthroplasty and the tibial stem leaves little room for screw fixation. This article describes the practicability and effectiveness of a novel surgical technique using circular hexapod external fixation, in patients with this clinical scenario. It was applied for fixation of periprosthetic tibia fracture in 2 patients. Contact between the external fixation pins and the prosthesis was avoided. Using a web-based software program, a gradual reduction in all planes was achieved. Adequate fixation, stability, reduction, and quick healing were obtained in the 2 cases, with minimal complications. The patients returned to their activity level a few months after external fixation removal.

摘要

在固定良好的全膝关节置换周围,假体周围胫骨骨折常伴有软组织覆盖不佳的情况,且胫骨干假体柄几乎没有用于螺钉固定的空间。本文描述了一种使用环形六足外固定的新型手术技术在这种临床情况下的实用性和有效性。该技术应用于2例假体周围胫骨骨折的固定。避免了外固定针与假体之间的接触。通过基于网络的软件程序,在所有平面上实现了逐步复位。2例患者均获得了充分的固定、稳定性、复位及快速愈合,并发症极少。外固定拆除后几个月,患者恢复到了之前的活动水平。

https://cdn.ncbi.nlm.nih.gov/pmc/blobs/f85a/5994564/11258ffb59cc/gr9.jpg
https://cdn.ncbi.nlm.nih.gov/pmc/blobs/f85a/5994564/d921fa8a37cc/gr1.jpg
https://cdn.ncbi.nlm.nih.gov/pmc/blobs/f85a/5994564/ddf7d533ef04/gr2.jpg
https://cdn.ncbi.nlm.nih.gov/pmc/blobs/f85a/5994564/c6d060afcd3f/gr3.jpg
https://cdn.ncbi.nlm.nih.gov/pmc/blobs/f85a/5994564/a25f653fcffa/gr4.jpg
https://cdn.ncbi.nlm.nih.gov/pmc/blobs/f85a/5994564/a8ba04817d23/gr5.jpg
https://cdn.ncbi.nlm.nih.gov/pmc/blobs/f85a/5994564/7e2e7b5a44e1/gr6.jpg
https://cdn.ncbi.nlm.nih.gov/pmc/blobs/f85a/5994564/6841c4320e2b/gr7.jpg
https://cdn.ncbi.nlm.nih.gov/pmc/blobs/f85a/5994564/11258ffb59cc/gr9.jpg
https://cdn.ncbi.nlm.nih.gov/pmc/blobs/f85a/5994564/d921fa8a37cc/gr1.jpg
https://cdn.ncbi.nlm.nih.gov/pmc/blobs/f85a/5994564/ddf7d533ef04/gr2.jpg
https://cdn.ncbi.nlm.nih.gov/pmc/blobs/f85a/5994564/c6d060afcd3f/gr3.jpg
https://cdn.ncbi.nlm.nih.gov/pmc/blobs/f85a/5994564/a25f653fcffa/gr4.jpg
https://cdn.ncbi.nlm.nih.gov/pmc/blobs/f85a/5994564/a8ba04817d23/gr5.jpg
https://cdn.ncbi.nlm.nih.gov/pmc/blobs/f85a/5994564/7e2e7b5a44e1/gr6.jpg
https://cdn.ncbi.nlm.nih.gov/pmc/blobs/f85a/5994564/6841c4320e2b/gr7.jpg
https://cdn.ncbi.nlm.nih.gov/pmc/blobs/f85a/5994564/11258ffb59cc/gr9.jpg

相似文献

1
Circular hexapod external fixation for periprosthetic tibial fracture.环形六足外固定治疗人工关节周围胫骨骨折
Arthroplast Today. 2017 Jun 9;4(2):192-199. doi: 10.1016/j.artd.2017.03.001. eCollection 2018 Jun.
2
Effectiveness of circular hexapod external fixation with soft tissue reconstruction in treating severe knee dislocation due to burn scarring: a case report.环形六足外固定架联合软组织重建治疗严重烧伤后膝关节瘢痕所致脱位的疗效:一例报告。
BMC Musculoskelet Disord. 2020 Sep 28;21(1):639. doi: 10.1186/s12891-020-03667-7.
3
Management and outcome of periprosthetic fractures after total knee arthroplasty.全膝关节置换术后假体周围骨折的管理与结局
J Trauma. 2010 Jun;68(6):1464-70. doi: 10.1097/TA.0b013e3181d53f81.
4
Periprosthetic tibial fractures in total knee arthroplasty - an outcome analysis of a challenging and underreported surgical issue.全膝关节置换术中的假体周围胫骨骨折——一项关于具有挑战性且报道不足的外科问题的结果分析
BMC Musculoskelet Disord. 2018 Sep 11;19(1):323. doi: 10.1186/s12891-018-2250-0.
5
Outcomes of fixation for periprosthetic tibia fractures around and below total knee arthroplasty.全膝关节置换周围和下方胫骨假体周围骨折固定的结果。
Injury. 2019 Apr;50(4):978-982. doi: 10.1016/j.injury.2019.03.014. Epub 2019 Mar 15.
6
[Osteosynthesis for periprosthetic supracondylar fracture above a total knee arthroplasty using a locking compression plate].使用锁定加压钢板治疗全膝关节置换术后假体周围髁上骨折的接骨术
Acta Chir Orthop Traumatol Cech. 2009 Dec;76(6):473-8.
7
Successful outcome with minimally invasive plate osteosynthesis for periprosthetic tibial fracture after total knee arthroplasty.全膝关节置换术后假体周围胫骨骨折采用微创钢板接骨术取得成功疗效。
Orthop Traumatol Surg Res. 2017 Apr;103(2):263-268. doi: 10.1016/j.otsr.2016.10.007. Epub 2016 Nov 25.
8
Bilateral periprosthetic tibial stress fracture after total knee arthroplasty: A case report.全膝关节置换术后双侧假体周围胫骨应力性骨折:一例报告。
Int J Surg Case Rep. 2016;24:175-8. doi: 10.1016/j.ijscr.2016.04.023. Epub 2016 Apr 19.
9
Less invasive polyaxial locking plate fixation in periprosthetic and peri-implant fractures of the femur--a prospective study of 41 patients.股骨假体周围和假体周围骨折的微创多轴锁定钢板固定——41 例前瞻性研究。
Injury. 2013 Feb;44(2):239-48. doi: 10.1016/j.injury.2012.10.035. Epub 2012 Dec 4.
10
Tibial Stress Fracture Secondary to Half-Pins in Circular Ring External Fixation for Charcot Foot.夏科氏足环形外固定架中半针继发的胫骨应力性骨折
Foot Ankle Int. 2014 Jun;35(6):572-577. doi: 10.1177/1071100714531229.

引用本文的文献

1
Precice Stryde® Magnetic Internal Lengthening Nail does not Impair Bone Healing Despite Radiographic and Clinical Symptoms.Precice Stryde®磁性髓内延长钉尽管有影像学和临床症状,但不影响骨愈合。
Strategies Trauma Limb Reconstr. 2023 May-Aug;18(2):94-99. doi: 10.5005/jp-journals-10080-1514.
2
Tibial periprosthetic fractures in Total Knee Arthroplasty - A scoping review.全膝关节置换术中胫骨假体周围骨折——一项范围综述
J Clin Orthop Trauma. 2022 May 11;29:101892. doi: 10.1016/j.jcot.2022.101892. eCollection 2022 Jun.
3
Periprosthetic tibial fracture after total knee arthroplasty with popliteal artery injury-A case report.

本文引用的文献

1
Systematic review of periprosthetic tibia fracture after total knee arthroplasties.全膝关节置换术后假体周围胫骨骨折的系统评价
World J Orthop. 2015 Sep 18;6(8):649-54. doi: 10.5312/wjo.v6.i8.649.
2
Does Integrated Fixation Provide Benefit in the Reconstruction of Posttraumatic Tibial Bone Defects?综合固定在创伤后胫骨骨缺损重建中是否有益?
Clin Orthop Relat Res. 2015 Oct;473(10):3143-53. doi: 10.1007/s11999-015-4326-6.
3
Bilateral tibial lengthening over the nail: our experience of 143 cases.经髓内钉双侧胫骨延长术:143例经验
全膝关节置换术后伴腘动脉损伤的假体周围胫骨骨折——一例报告
Trauma Case Rep. 2020 Oct 8;30:100359. doi: 10.1016/j.tcr.2020.100359. eCollection 2020 Dec.
4
Effectiveness of circular hexapod external fixation with soft tissue reconstruction in treating severe knee dislocation due to burn scarring: a case report.环形六足外固定架联合软组织重建治疗严重烧伤后膝关节瘢痕所致脱位的疗效:一例报告。
BMC Musculoskelet Disord. 2020 Sep 28;21(1):639. doi: 10.1186/s12891-020-03667-7.
5
Periprosthetic fractures of the knee: a comprehensive review.膝关节假体周围骨折:全面综述。
Eur J Orthop Surg Traumatol. 2020 Apr;30(3):387-399. doi: 10.1007/s00590-019-02582-5. Epub 2019 Nov 19.
Arch Orthop Trauma Surg. 2014 Sep;134(9):1219-25. doi: 10.1007/s00402-014-2069-6. Epub 2014 Aug 1.
4
Functional outcomes after tibial shaft fractures treated using the Taylor spatial frame.使用泰勒空间框架治疗胫骨干骨折后的功能结果。
J Orthop Trauma. 2015 Feb;29(2):e54-9. doi: 10.1097/BOT.0000000000000192.
5
Periprosthetic fractures around the knee-the best way of treatment.膝关节周围假体周围骨折——最佳治疗方法
Eur Orthop Traumatol. 2013 Jun;4(2):93-102. doi: 10.1007/s12570-012-0130-x. Epub 2012 Aug 21.
6
Taylor spatial frame fixation in patients with multiple traumatic injuries: study of 57 long-bone fractures.泰勒空间框架固定治疗多发创伤患者:57 例长骨骨折研究。
J Orthop Trauma. 2013 Aug;27(8):442-50. doi: 10.1097/BOT.0b013e31827cda11.
7
Periprosthetic fractures around total knee arthroplasty.全膝关节置换术后假体周围骨折
Ann R Coll Surg Engl. 2012 Jul;94(5):302-7. doi: 10.1308/003588412X13171221592537.
8
Femoral lengthening with lengthening over a nail has fewer complications than intramedullary skeletal kinetic distraction.股骨延长术加钉延长比髓内骨骼动力性牵伸并发症少。
Clin Orthop Relat Res. 2012 Apr;470(4):1221-31. doi: 10.1007/s11999-011-2204-4. Epub 2011 Dec 6.
9
High complication rate in locking plate fixation of lower periprosthetic distal femur fractures in patients with total knee arthroplasties.锁定钢板固定治疗全膝关节置换术后低位股骨假体周围骨折的高并发症发生率。
J Arthroplasty. 2012 May;27(5):809-13. doi: 10.1016/j.arth.2011.08.007. Epub 2011 Oct 2.
10
Lengthening of the femur over an existing intramedullary nail.在现有的髓内钉上延长股骨。
J Orthop Trauma. 2011 Nov;25(11):681-4. doi: 10.1097/BOT.0b013e3181f92d6e.