Suppr超能文献

同步放化疗治疗宫颈癌纵隔寡转移:一种潜在的根治性治疗方法。

Concurrent Chemoradiation for Mediastinal Oligometastases From Cervical Cancer: A Potentially Curative Treatment.

作者信息

Bonilla Carlos E, Zapata Laguado Martin, Paez Quintero Heliberto

机构信息

Oncology, Instituto Nacional de Cancerología, Bogota, COL.

Clinical Oncology, Universidad el Bosque, Bogota, COL.

出版信息

Cureus. 2020 Sep 22;12(9):e10596. doi: 10.7759/cureus.10596.

Abstract

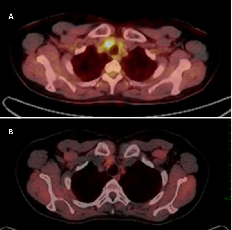
Currently, the standard treatment for women with metastatic cervical cancer is palliative chemotherapy with or without bevacizumab. Patients with oligometastatic disease seem to have a better prognosis than those with disseminated disease. We present two cases of women with mediastinal oligometastatic disease from cervical cancer treated with mediastinal radiotherapy concurrent with intravenous cisplatin. Both patients achieved a complete response that remained after a follow-up of more than three years.

摘要

目前,转移性宫颈癌女性的标准治疗方法是姑息性化疗,可联合或不联合贝伐单抗。寡转移疾病患者的预后似乎比播散性疾病患者更好。我们报告了两例宫颈癌纵隔寡转移疾病的女性患者,她们接受了纵隔放疗并同时静脉注射顺铂治疗。两名患者均获得了完全缓解,且在三年多的随访后仍保持缓解状态。

https://cdn.ncbi.nlm.nih.gov/pmc/blobs/759c/7581221/e38fef1b26e9/cureus-0012-00000010596-i01.jpg

文献检索

告别复杂PubMed语法,用中文像聊天一样搜索,搜遍4000万医学文献。AI智能推荐,让科研检索更轻松。

立即免费搜索

文件翻译

保留排版,准确专业,支持PDF/Word/PPT等文件格式,支持 12+语言互译。

免费翻译文档

深度研究

AI帮你快速写综述,25分钟生成高质量综述,智能提取关键信息,辅助科研写作。

立即免费体验