Suppr超能文献

一例结核病病例竟被诊断为卡尼综合征!

A Tuberculosis Case Is Discovered to Be Carney Complex Instead!

作者信息

Islam A K M Monwarul, Islam Kazi Shariful, Ananya Kaniz Fatema, Uddin Mir Jamal

机构信息

Department of Noninvasive Cardiology, National Institute of Cardiovascular Diseases, Dhaka, Bangladesh.

Department of Cardiac Surgery, National Institute of Cardiovascular Diseases, Dhaka, Bangladesh.

出版信息

CASE (Phila). 2020 Jun 20;4(5):369-373. doi: 10.1016/j.case.2020.05.010. eCollection 2020 Oct.

Abstract

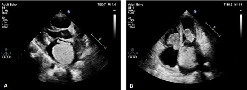
• Cardiac myxoma can present with prolonged fever and pleural effusion. • Multichamber myxoma should raise the suspicion of Carney complex. • Echocardiography plays a pivotal role for diagnosis, treatment planning, and follow-up. • Compatible with almost normal life expectancy if diagnosed, treated, and monitored. • Postsurgery recurrence of cardiac myxoma is common, demanding lifelong follow-up.

摘要

• 心脏黏液瘤可表现为长期发热和胸腔积液。

• 多腔黏液瘤应引起对卡尼综合征的怀疑。

• 超声心动图在诊断、治疗计划制定和随访中起关键作用。

• 如果得到诊断、治疗和监测,预期寿命几乎可正常。

• 心脏黏液瘤术后复发很常见,需要终身随访。

https://cdn.ncbi.nlm.nih.gov/pmc/blobs/61d1/7581566/896485d33642/fx1.jpg

文献AI研究员

20分钟写一篇综述,助力文献阅读效率提升50倍。

立即体验

用中文搜PubMed

大模型驱动的PubMed中文搜索引擎

马上搜索

文档翻译

学术文献翻译模型,支持多种主流文档格式。

立即体验