Suppr超能文献

卡姆波蛙毒致食管破裂

Kambo Frog Poison as a Cause of Esophageal Rupture.

作者信息

Robalino Gonzaga Ernesto S, Chamorro Maria, Ganti Latha, Schneider Robert

机构信息

Internal Medicine, University of Central Florida College of Medicine, Orlando, USA.

Emergency Medicine, University of Central Florida College of Medicine, Orlando, USA.

出版信息

Cureus. 2020 Sep 27;12(9):e10677. doi: 10.7759/cureus.10677.

Abstract

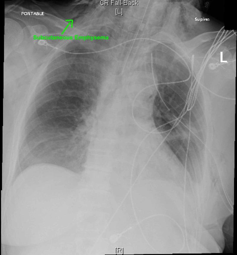
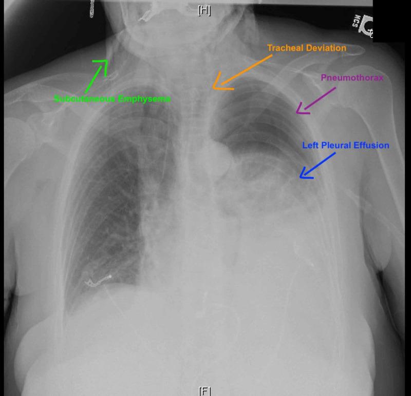
The authors present a case of a patient who used Kambo frog poison for body cleansing that induced severe vomiting and led to esophageal rupture followed by tension pneumothorax and septic shock. Kambo is the waxy substance secreted by the nocturnal giant tree frog . Kambo, which is poisonous, is commonly believed in South America to have cleansing and healing properties. As alternative medicine becomes more common, and as more tourists frequent our hospitals, knowledge of these types of ritual related exposures is important for the practicing emergency physician to be aware of.

摘要

作者报告了一例患者,该患者使用坎波蛙毒进行身体清洁,引发了严重呕吐,导致食管破裂,随后出现张力性气胸和感染性休克。坎波是夜行性巨树蛙分泌的蜡状物质。坎波有毒,在南美洲通常被认为具有清洁和治疗功效。随着替代医学越来越普遍,以及越来越多游客前往我们的医院就诊,了解这些与仪式相关的接触类型对于执业急诊医生来说非常重要。

https://cdn.ncbi.nlm.nih.gov/pmc/blobs/0c11/7592631/ab7b1cca6ab4/cureus-0012-00000010677-i01.jpg

文献AI研究员

20分钟写一篇综述,助力文献阅读效率提升50倍。

立即体验

用中文搜PubMed

大模型驱动的PubMed中文搜索引擎

马上搜索

文档翻译

学术文献翻译模型,支持多种主流文档格式。

立即体验