Suppr超能文献

由小鼠单克隆抗体所界定的人类浅表膀胱肿瘤抗原的多态性表达

Polymorphic expression of a human superficial bladder tumor antigen defined by mouse monoclonal antibodies.

作者信息

Fradet Y, Islam N, Boucher L, Parent-Vaugeois C, Tardif M

机构信息

Laval University Cancer Research Center, Hotel-Dieu de Quebec, Canada.

出版信息

Proc Natl Acad Sci U S A. 1987 Oct;84(20):7227-31. doi: 10.1073/pnas.84.20.7227.

Abstract

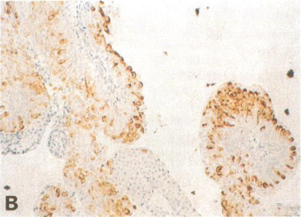
Three mouse monoclonal antibodies (mAbs), which define a highly restricted antigen, were obtained by simultaneous immunizations with superficial papillary bladder tumor cells and mouse polyclonal serum against normal urothelium. The antigen was detected by the avidin/biotin/peroxidase method in 30/44 superficial bladder tumors (68%) but in only 4/27 infiltrating urothelial cancers (with much less intensity). No normal adult or fetal tissues tested expressed the antigen, including normal urothelium from 40 individuals, 13 of whom had a bladder tumor positive for the antigen. Only 1 of 45 nonbladder tumors showed some reactivity with one of the three mAbs. Serological tests on a large panel of human cancer cell lines and normal cultured cells were negative. The antigen is highly stable and well preserved on paraffin-embedded tissues. Electrophoretic transfer blot experiments with fresh tumor extracts showed that all three mAbs react with a determinant on a component of 300,000 Mr (pI 9.5) and 62,000 Mr (pI 6.5). The antigen shows polymorphic expression at the cellular level on tissue sections and also at a molecular level on immunoblots where the two bands are differentially detected on extracts of a series of tumors but are not visualized on normal urothelium extracts. The characteristics of this antigenic system suggest that it may provide some insights about the biology of bladder cancer. Specific detection of the antigen on 70% of superficial bladder tumors with normal cytology may be useful for their diagnosis and follow-up.

摘要

通过用浅表乳头状膀胱肿瘤细胞和抗正常尿路上皮的小鼠多克隆血清同时免疫,获得了三种定义高度受限抗原的小鼠单克隆抗体(mAb)。采用抗生物素蛋白/生物素/过氧化物酶法在30/44例浅表膀胱肿瘤(68%)中检测到该抗原,但仅在4/27例浸润性尿路上皮癌中检测到(强度低得多)。所检测的正常成人或胎儿组织均未表达该抗原,包括40例个体的正常尿路上皮,其中13例膀胱肿瘤抗原呈阳性。45例非膀胱肿瘤中只有1例与三种mAb之一有一定反应性。对大量人类癌细胞系和正常培养细胞进行的血清学检测均为阴性。该抗原在石蜡包埋组织上高度稳定且保存良好。用新鲜肿瘤提取物进行的电泳转移印迹实验表明,所有三种mAb均与分子量为300,000(pI 9.5)和62,000(pI 6.5)的一种成分上的决定簇发生反应。该抗原在组织切片的细胞水平以及免疫印迹的分子水平上均显示多态性表达,在一系列肿瘤提取物中可分别检测到两条带,但在正常尿路上皮提取物中未显现。该抗原系统的特征表明,它可能为膀胱癌的生物学特性提供一些见解。在70%细胞学正常的浅表膀胱肿瘤中特异性检测该抗原可能对其诊断和随访有用。

https://cdn.ncbi.nlm.nih.gov/pmc/blobs/33f6/299264/19f08d043904/pnas00335-0277-a.jpg

文献检索

告别复杂PubMed语法,用中文像聊天一样搜索,搜遍4000万医学文献。AI智能推荐,让科研检索更轻松。

立即免费搜索

文件翻译

保留排版,准确专业,支持PDF/Word/PPT等文件格式,支持 12+语言互译。

免费翻译文档

深度研究

AI帮你快速写综述,25分钟生成高质量综述,智能提取关键信息,辅助科研写作。

立即免费体验