Suppr超能文献

Mediastinal Nodular Lesions Synchronous to Lung Carcinoma on Frozen Section: Trap and Lesson.

作者信息

Parente Paola, Taurchini Marco, Castelvetere Marina, Di Micco Concetta Martina, Greco Domenico, Graziano Paolo

机构信息

Pathology Unit, Fondazione IRCCS Ospedale Casa Sollievo della Sofferenza, San Giovanni Rotondo 71013 (FG), Italy.

Thoracic Surgical Unit, Fondazione IRCCS Ospedale Casa Sollievo della Sofferenza, San Giovanni Rotondo 71013 (FG), Italy.

出版信息

Diagnostics (Basel). 2020 Oct 31;10(11):893. doi: 10.3390/diagnostics10110893.

Abstract

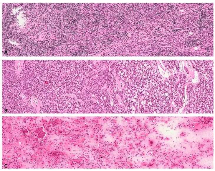
Thymoma is the most frequent neoplasm arising in the anterior mediastum. It usually presents as an enlarged central mass. In the literature, multiple thymoma is described as an unusual finding; rare variants have also been described, like the signet ring-like cell variant. Evidence of co-existence of signet ring-like cells and lymphocytes in small biopsies from nodular mediastinal lesions can lead to a diagnosis of metastatic carcinoma, mostly at frozen sections. Thymoma and pulmonary carcinoma are very rarely associated neoplasms. We present a case of two mediastinal lesions discovered during pulmonary carcinoma staging. At frozen section, a diagnosis of 'epithelioid proliferation associated to lymphoid tissue' was advanced on a sample of nodular lesions and of 'carcinoma' on pulmonary biopsy. Double AB Type Thymoma with a signet ring cell-like component, synchronous to pulmonary adenocarcinoma, was the diagnosis made on formalin fixed-paraffin embedded samples. Reporting the coexistence of these two entities can help pathologists and surgeons to establish the best management of similar patients.

摘要
https://cdn.ncbi.nlm.nih.gov/pmc/blobs/ceab/7692310/4870c7d4ac9f/diagnostics-10-00893-g001.jpg

文献AI研究员

20分钟写一篇综述,助力文献阅读效率提升50倍。

立即体验

用中文搜PubMed

大模型驱动的PubMed中文搜索引擎

马上搜索

文档翻译

学术文献翻译模型,支持多种主流文档格式。

立即体验