• 文献检索
  • 文档翻译
  • 深度研究
  • 学术资讯
  • Suppr Zotero 插件Zotero 插件
  • 邀请有礼
  • 套餐&价格
  • 历史记录
应用&插件
Suppr Zotero 插件Zotero 插件浏览器插件Mac 客户端Windows 客户端微信小程序
定价
高级版会员购买积分包购买API积分包
服务
文献检索文档翻译深度研究API 文档MCP 服务
关于我们
关于 Suppr公司介绍联系我们用户协议隐私条款
关注我们

Suppr 超能文献

核心技术专利:CN118964589B侵权必究
粤ICP备2023148730 号-1Suppr @ 2026

文献检索

告别复杂PubMed语法,用中文像聊天一样搜索,搜遍4000万医学文献。AI智能推荐,让科研检索更轻松。

立即免费搜索

文件翻译

保留排版,准确专业,支持PDF/Word/PPT等文件格式,支持 12+语言互译。

免费翻译文档

深度研究

AI帮你快速写综述,25分钟生成高质量综述,智能提取关键信息,辅助科研写作。

立即免费体验

一例罕见异位胸腺瘤的克隆进化分析:病例报告

An unusual ectopic thymoma clonal evolution analysis: A case report.

作者信息

Zhang Sijia, Wu Lu, Li Zhenyu, Li Qianwen, Zong Yan, Zhu Kuikui, Chen Leichong, Qin Haifeng, Meng Rui

机构信息

Cancer Center, Union Hospital, Tongji Medical College, Huazhong University of Science and Technology, No. 156 Wujiadun, Jianghan District, Wuhan, Hubei Province, 430022, China.

Department of Pulmonary Neoplasm Internal Medicine, Fifth Medical Center of Chinese PLA General Hospital, Beijing, 100071, China.

出版信息

Open Life Sci. 2023 May 18;18(1):20220600. doi: 10.1515/biol-2022-0600. eCollection 2023.

DOI:10.1515/biol-2022-0600
PMID:37215501
原文链接:https://pmc.ncbi.nlm.nih.gov/articles/PMC10199323/
Abstract

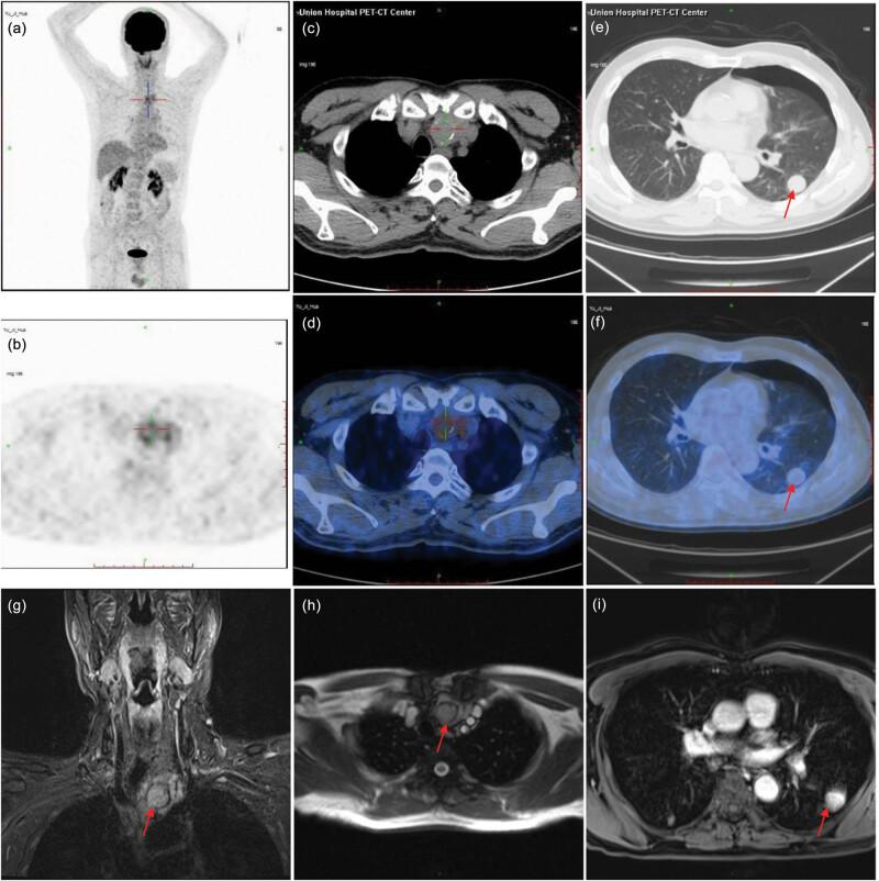
Thymomas and thymic carcinomas are rare and primary tumors of the mediastinum which is derived from the thymic epithelium. Thymomas are the most common primary anterior mediastinal tumor, while ectopic thymomas are rarer. Mutational profiles of ectopic thymomas may help expand our understanding of the occurrence and treatment options of these tumors. In this report, we sought to elucidate the mutational profiles of two ectopic thymoma nodules to gain deeper understanding of the molecular genetic information of this rare tumor and to provide guidance treatment options. We presented a case of 62-year-old male patient with a postoperative pathological diagnosis of type A mediastinal thymoma and ectopic pulmonary thymoma. After mediastinal lesion resection and thoracoscopic lung wedge resection, the mediastinal thymoma was completely removed, and the patient recovered from the surgery and no recurrence was found by examination until now. Whole exome sequencing was performed on both mediastinal thymoma and ectopic pulmonary thymoma tissue samples of the patient and clonal evolution analysis were further conducted to analyze the genetic characteristics. We identified eight gene mutations that were co-mutated in both lesions. Consistent with a previous exome sequencing analysis of thymic epithelial tumor, was also observed in both mediastinal lesion and lung lesion tissues. We also evaluated the intratumor heterogeneity of non-silent mutations. The results showed that the mediastinal lesion tissue has higher degree of heterogeneity and the lung lesion tissue has relatively low amount of variant heterogeneity in the detected variants. Through pathology and genomics sequencing detection, we initially revealed the genetic differences between mediastinal thymoma and ectopic thymoma, and clonal evolution analysis showed that these two lesions originated from multi-ancestral regions.

摘要

胸腺瘤和胸腺癌是源自胸腺上皮的罕见纵隔原发性肿瘤。胸腺瘤是最常见的原发性前纵隔肿瘤,而异位胸腺瘤则较为罕见。异位胸腺瘤的突变谱可能有助于拓展我们对这些肿瘤发生及治疗选择的理解。在本报告中,我们试图阐明两个异位胸腺瘤结节的突变谱,以更深入了解这种罕见肿瘤的分子遗传信息,并为治疗选择提供指导。我们报告了一例62岁男性患者,术后病理诊断为A型纵隔胸腺瘤和异位肺胸腺瘤。在进行纵隔病变切除和胸腔镜肺楔形切除术后,纵隔胸腺瘤被完全切除,患者术后恢复,至今检查未发现复发。对该患者的纵隔胸腺瘤和异位肺胸腺瘤组织样本进行了全外显子组测序,并进一步进行克隆进化分析以分析遗传特征。我们在两个病变中鉴定出八个共同突变的基因突变。与先前对胸腺上皮肿瘤的外显子组测序分析一致,在纵隔病变和肺病变组织中也均观察到[此处原文缺失相关内容]。我们还评估了非沉默突变的肿瘤内异质性。结果显示,在检测到的变异中,纵隔病变组织具有更高程度的异质性,而肺病变组织的变异异质性相对较低。通过病理学和基因组测序检测,我们初步揭示了纵隔胸腺瘤和异位胸腺瘤之间的遗传差异,克隆进化分析表明这两个病变起源于多个祖先区域。

https://cdn.ncbi.nlm.nih.gov/pmc/blobs/5264/10199323/caebea0094f2/j_biol-2022-0600-fig004.jpg
https://cdn.ncbi.nlm.nih.gov/pmc/blobs/5264/10199323/a6081ec2d7a9/j_biol-2022-0600-ga001.jpg
https://cdn.ncbi.nlm.nih.gov/pmc/blobs/5264/10199323/b35ddb315c50/j_biol-2022-0600-fig001.jpg
https://cdn.ncbi.nlm.nih.gov/pmc/blobs/5264/10199323/040d1f61b3bd/j_biol-2022-0600-fig002.jpg
https://cdn.ncbi.nlm.nih.gov/pmc/blobs/5264/10199323/d6c0bf42e5c1/j_biol-2022-0600-fig003.jpg
https://cdn.ncbi.nlm.nih.gov/pmc/blobs/5264/10199323/caebea0094f2/j_biol-2022-0600-fig004.jpg
https://cdn.ncbi.nlm.nih.gov/pmc/blobs/5264/10199323/a6081ec2d7a9/j_biol-2022-0600-ga001.jpg
https://cdn.ncbi.nlm.nih.gov/pmc/blobs/5264/10199323/b35ddb315c50/j_biol-2022-0600-fig001.jpg
https://cdn.ncbi.nlm.nih.gov/pmc/blobs/5264/10199323/040d1f61b3bd/j_biol-2022-0600-fig002.jpg
https://cdn.ncbi.nlm.nih.gov/pmc/blobs/5264/10199323/d6c0bf42e5c1/j_biol-2022-0600-fig003.jpg
https://cdn.ncbi.nlm.nih.gov/pmc/blobs/5264/10199323/caebea0094f2/j_biol-2022-0600-fig004.jpg

相似文献

1
An unusual ectopic thymoma clonal evolution analysis: A case report.一例罕见异位胸腺瘤的克隆进化分析:病例报告
Open Life Sci. 2023 May 18;18(1):20220600. doi: 10.1515/biol-2022-0600. eCollection 2023.
2
Ectopic thymoma in the paratracheal region of the middle mediastinum: a rare case report and literature review.中纵隔气管旁区域的异位胸腺瘤:一例罕见病例报告及文献复习
BMC Res Notes. 2018 Apr 25;11(1):256. doi: 10.1186/s13104-018-3359-9.
3
Metastatic Ectopic Thymoma of the Neck without Mediastinal Involvement.颈部转移性异位胸腺瘤,无纵隔受累
Iran J Otorhinolaryngol. 2022 Sep;34(124):257-263. doi: 10.22038/IJORL.2022.60775.3097.
4
Thoracoscopic resection of middle mediastinal noninvasive thymoma: report of a case.胸腔镜下切除中纵隔非侵袭性胸腺瘤:1例报告
Surg Today. 2007;37(9):787-9. doi: 10.1007/s00595-007-3486-8. Epub 2007 Aug 27.
5
The MIC2 antibody 013. Practical application for the study of thymic epithelial tumors.MIC2抗体013。在胸腺上皮肿瘤研究中的实际应用。
Am J Surg Pathol. 1995 Oct;19(10):1115-23. doi: 10.1097/00000478-199510000-00002.
6
Atypical type A thymoma component identified by pulmonary metastasectomy 11 years after surgery of type AB thymoma.AB型胸腺瘤手术后11年,通过肺转移瘤切除术发现非典型A型胸腺瘤成分。
Respir Med Case Rep. 2023 Nov 5;46:101944. doi: 10.1016/j.rmcr.2023.101944. eCollection 2023.
7
Thymoma--an important differential diagnosis of mediastinal tumours.胸腺瘤——纵隔肿瘤的重要鉴别诊断。
Acta Clin Belg. 2012 Jul-Aug;67(4):304-5. doi: 10.2143/ACB.67.4.2062679.
8
Video-assisted thoracoscopic surgery for ectopic middle mediastinal thymoma in a patient with myasthenia gravis.胸腔镜辅助手术治疗重症肌无力患者异位中纵隔胸腺瘤。
Ann Thorac Surg. 2013 Mar;95(3):e67-8. doi: 10.1016/j.athoracsur.2012.08.065.
9
Molecular Profiling of Thymoma and Thymic Carcinoma: Genetic Differences and Potential Novel Therapeutic Targets.胸腺瘤和胸腺癌的分子剖析:基因差异与潜在的新型治疗靶点
Pathol Oncol Res. 2017 Jul;23(3):551-564. doi: 10.1007/s12253-016-0144-8. Epub 2016 Nov 14.
10
Ectopic Pleural Thymoma : Report of a case.异位性胸膜胸腺瘤:一例报告
Acta Chir Belg. 2014 Sep-Oct;114(5):358-61.

引用本文的文献

1
DNA methylation analysis of multiple genes in thymic epithelial tumors.胸腺瘤中多个基因的DNA甲基化分析
Epigenomics. 2024 Nov-Nov;16(21-22):1337-1350. doi: 10.1080/17501911.2024.2419362. Epub 2024 Nov 8.

本文引用的文献

1
Thymic Epithelial Tumors: An Evolving Field.胸腺上皮肿瘤:一个不断发展的领域。
Life (Basel). 2023 Jan 22;13(2):314. doi: 10.3390/life13020314.
2
Early evaluation of subclinical cardiotoxicity in patients with lung cancer receiving immune checkpoint inhibitors by cardiovascular magnetic resonance: a prospective observational study.通过心血管磁共振对接受免疫检查点抑制剂治疗的肺癌患者亚临床心脏毒性的早期评估:一项前瞻性观察研究。
Quant Imaging Med Surg. 2022 Oct;12(10):4771-4785. doi: 10.21037/qims-22-41.
3
Myasthenia gravis-specific aberrant neuromuscular gene expression by medullary thymic epithelial cells in thymoma.
胸腺瘤中骨髓胸腺上皮细胞导致重症肌无力特异性异常神经肌肉基因表达。
Nat Commun. 2022 Jul 22;13(1):4230. doi: 10.1038/s41467-022-31951-8.
4
Analysis of the tumor microenvironment and mutation burden identifies prognostic features in thymic epithelial tumors.肿瘤微环境与突变负荷分析可识别胸腺瘤的预后特征。
Am J Cancer Res. 2022 May 15;12(5):2387-2396. eCollection 2022.
5
Individualized pathway activity algorithm identifies oncogenic pathways in pan-cancer analysis.个体化通路活性算法在泛癌分析中鉴定致癌通路。
EBioMedicine. 2022 May;79:104014. doi: 10.1016/j.ebiom.2022.104014. Epub 2022 Apr 26.
6
Recent thymic emigrants as the bridge between thymoma and autoimmune diseases.近期胸腺迁出细胞作为胸腺瘤与自身免疫性疾病之间的桥梁。
Biochim Biophys Acta Rev Cancer. 2022 May;1877(3):188730. doi: 10.1016/j.bbcan.2022.188730. Epub 2022 Apr 22.
7
Therapeutic options in thymomas and thymic carcinomas.胸腺瘤和胸腺癌的治疗选择。
Expert Rev Anticancer Ther. 2022 Apr;22(4):401-413. doi: 10.1080/14737140.2022.2052278. Epub 2022 Apr 4.
8
[Mediastinal Tumors].[纵隔肿瘤]
Zentralbl Chir. 2022 Feb;147(1):99-120. doi: 10.1055/a-1674-0693. Epub 2022 Mar 2.
9
Trends in Incidence and Survival of Patients With Thymic Epithelial Tumor in a High-Incidence Asian Country: Analysis of the Korean Central Cancer Registry 1999 to 2017.高发亚洲国家胸腺瘤发病率和生存趋势分析:韩国中央癌症登记处 1999 年至 2017 年数据分析。
J Thorac Oncol. 2022 Jun;17(6):827-837. doi: 10.1016/j.jtho.2022.02.001. Epub 2022 Feb 11.
10
Clinical and Genetic Characteristics of Thymoma Patients With Autoimmune Hepatitis and Myocarditis.合并自身免疫性肝炎和心肌炎的胸腺瘤患者的临床及遗传学特征
Front Oncol. 2022 Jan 7;11:746304. doi: 10.3389/fonc.2021.746304. eCollection 2021.