Suppr超能文献

使用四种不同技术进行前房角切开术的临床前研究。

Preclinical Investigation of Goniotomy Using Four Different Techniques.

作者信息

Ammar David A, Seibold Leonard K, Kahook Malik Y

机构信息

Research Department, Lions Eye Institute for Transplant & Research, Tampa, FL, USA.

Department of Ophthalmology, University of Colorado School of Medicine, Aurora, CO, USA.

出版信息

Clin Ophthalmol. 2020 Oct 28;14:3519-3525. doi: 10.2147/OPTH.S281811. eCollection 2020.

Abstract

PURPOSE

To evaluate the tissue-level effects of goniotomy techniques on human trabecular meshwork (TM).

DESIGN

Laboratory investigation.

METHODS

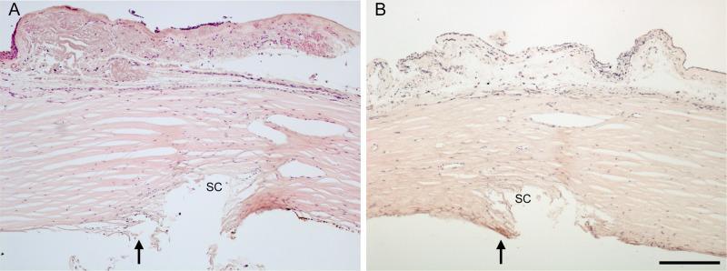
The TM from human cadaveric corneal rim tissue was treated using 4 techniques: (1) microvitreoretinal (MVR) blade; (2) 360° trabeculotomy with 5-0 prolene suture; (3) the Kahook Dual Blade (KDB) Glide device; (4) TrabEx™ device; tissue samples underwent standard histologic processing with H&E stain followed by comparative analyses.

RESULTS

The MVR blade exhibited incision of TM extending into the scleral wall. The TrabEx device removed a small portion of TM with large leaflet tissue remnants in all treated areas. 360° suture trabeculotomy resulted in incision of the TM proximate to Schwalbe's line with no excised tissue evident in all treated areas. Areas treated with the KDB Glide device resulted in nearly complete excision of TM without injury to surrounding tissues.

CONCLUSION

The various methods used for performing goniotomy or trabeculotomy resulted in varying degrees of incision or excision of TM. Only the KDB Glide device resulted in reliable excision of TM with the other devices producing incision or variable excision of tissue. Clinical correlation is required to better understand the implications of the current findings when using these methods to lower intraocular pressure in eyes with glaucoma.

摘要

目的

评估前房角切开术技术对人小梁网(TM)的组织水平影响。

设计

实验室研究。

方法

使用4种技术处理人尸体角膜缘组织的TM:(1)微型玻璃体视网膜(MVR)刀片;(2)用5-0普理灵缝线进行360°小梁切开术;(3)Kahook双刀(KDB)滑行装置;(4)TrabEx™装置;组织样本经过苏木精-伊红(H&E)染色的标准组织学处理,随后进行比较分析。

结果

MVR刀片显示TM切口延伸至巩膜壁。TrabEx装置在所有处理区域切除了一小部分TM,残留有大的小叶组织。360°缝线小梁切开术导致TM在施瓦贝线附近切开,所有处理区域均未发现切除组织。用KDB滑行装置处理的区域导致TM几乎完全切除,且未损伤周围组织。

结论

用于前房角切开术或小梁切开术的各种方法导致TM不同程度的切开或切除。只有KDB滑行装置导致TM可靠切除,其他装置则产生组织切开或可变切除。需要进行临床关联研究,以更好地理解在使用这些方法降低青光眼患者眼压时当前研究结果的意义。

https://cdn.ncbi.nlm.nih.gov/pmc/blobs/d98b/7604930/0379e47af404/OPTH-14-3519-g0001.jpg

文献AI研究员

20分钟写一篇综述,助力文献阅读效率提升50倍。

立即体验

用中文搜PubMed

大模型驱动的PubMed中文搜索引擎

马上搜索

文档翻译

学术文献翻译模型,支持多种主流文档格式。

立即体验