Suppr超能文献

冠状动脉扩张合并急性心肌梗死:一例报告

Coronary Artery Ectasia with Acute Myocardial Infarction, A Case Report.

作者信息

Almegbel Maysan M, Almutairi Fawaz Q

机构信息

King Saud Bin Abdulaziz University for Health Sciences, College of Medicine, Riyadh, Saudi Arabia.

King Abdulaziz Medical City, Cardiac Center, Riyadh, Saudi Arabia.

出版信息

J Saudi Heart Assoc. 2020 Jul 24;32(2):336-339. doi: 10.37616/2212-5043.1114. eCollection 2020.

Abstract

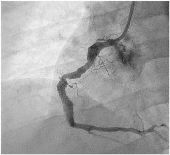
Coronary artery ectasia (CAE), also known as aneurysmal coronary artery disease, is defined as an abnormal diffuse (ectasia) or segmental (aneurysmal) dilatation of any branch of the coronary arteries. It is a well-recognized entity with 1.2-4.9% prevalence. Our case is a 46 year old male with no prior medical problem who presented to the ER with inferior ST elevation myocardial infarction (STEMI). The Coronary angiogram revealed multiple ectatic segments in the right coronary artery (RCA) with 100% stenosis in the middle segment. Upon wiring the RCA a big clot burden was noted on the ectatic segment. We planned to keep him on aggrastat infusion for 24 hours then re-cath him. The second cath showed complete resolution of the clot and the lesion was stented with drug eluting stent showing excellent final result. We found that our case is interesting and unique in exploring the association of CAE that presents with STEMI and how to treat it safely in the cath lab, knowing that CAE is an uncommon finding during coronary angiography. CAE is associated with many coronary artery disease (CAD) risk factors and etiologies as well as pathologic progression. Patients with CAE are usually asymptomatic but can still present with symptoms of coronary artery occlusion. There is still no standard treatment specific for CAE itself, but when presenting with occlusive symptoms, management is guided by the extent of occlusion similar to CAD.

摘要

冠状动脉扩张(CAE),也被称为动脉瘤样冠状动脉疾病,被定义为冠状动脉任何分支的异常弥漫性(扩张)或节段性(动脉瘤样)扩张。它是一种公认的疾病,患病率为1.2%-4.9%。我们的病例是一名46岁男性,既往无病史,因下壁ST段抬高型心肌梗死(STEMI)就诊于急诊室。冠状动脉造影显示右冠状动脉(RCA)有多个扩张节段,中间节段有100%的狭窄。在对RCA进行导丝操作时,在扩张节段发现了大量血栓负荷。我们计划让他接受阿昔单抗输注24小时,然后再次进行心导管检查。第二次心导管检查显示血栓完全溶解,病变用药物洗脱支架置入,最终结果良好。我们发现我们的病例在探讨表现为STEMI的CAE的关联以及如何在导管室安全治疗方面既有趣又独特,因为CAE在冠状动脉造影中是一种不常见的发现。CAE与许多冠状动脉疾病(CAD)危险因素、病因以及病理进展相关。患有CAE的患者通常无症状,但仍可能出现冠状动脉闭塞症状。目前仍没有针对CAE本身的标准治疗方法,但当出现闭塞症状时,治疗方法与CAD一样,以闭塞程度为指导。

https://cdn.ncbi.nlm.nih.gov/pmc/blobs/3d07/7640541/1241bd795c40/sha-32-02-336f1.jpg

相似文献

1
Coronary Artery Ectasia with Acute Myocardial Infarction, A Case Report.
J Saudi Heart Assoc. 2020 Jul 24;32(2):336-339. doi: 10.37616/2212-5043.1114. eCollection 2020.
3
Coronary artery ectasia presenting with acute inferior wall myocardial infarction in a young adult.
J Community Hosp Intern Med Perspect. 2017 Sep 9;7(4):262-264. doi: 10.1080/20009666.2017.1369376. eCollection 2017 Oct.
7
Clinical and angiographic characteristics of patients with coronary artery ectasia.
Int J Cardiol. 2013 Aug 20;167(4):1536-41. doi: 10.1016/j.ijcard.2012.04.098. Epub 2012 May 8.
8
Clinical expression of coronary artery ectasia.
J Cardiovasc Med (Hagerstown). 2007 Oct;8(10):815-20. doi: 10.2459/JCM.0b013e3280115667.
9
Acute myocardial infarction in a patient with uncorrected tetralogy of Fallot accompanied by coronary artery ectasia: A case report.
J Cardiol Cases. 2020 Nov 2;23(3):119-122. doi: 10.1016/j.jccase.2020.10.009. eCollection 2021 Mar.
10
Coronary artery ectasia as a culprit for acute myocardial infarction: review of pathophysiology and management.
Anadolu Kardiyol Derg. 2013 Nov;13(7):695-701. doi: 10.5152/akd.2013.227. Epub 2013 Sep 26.

本文引用的文献

1
Coronary Artery Ectasia-A Review of Current Literature.
Curr Cardiol Rev. 2016;12(4):318-323. doi: 10.2174/1573403x12666160504100159.
2
Coronary artery ectasia - A sample from Saudi Arabia.
J Saudi Heart Assoc. 2015 Jul;27(3):160-3. doi: 10.1016/j.jsha.2015.03.005. Epub 2015 Mar 30.
3
Clinical profile and outcome of coronary artery ectasia.
Heart. 2006 Aug;92(8):1159-60. doi: 10.1136/hrt.2005.069633.
5
The natural history of aneurysmal coronary artery disease.
Heart. 1997 Aug;78(2):136-41. doi: 10.1136/hrt.78.2.136.
6
Surgical treatment of coronary aneurysms with and without rupture.
J Thorac Cardiovasc Surg. 1994 Jun;107(6):1532-5.
7
Aneurysmal coronary artery disease.
Circulation. 1983 Jan;67(1):134-8. doi: 10.1161/01.cir.67.1.134.
8
Coronary artery ectasia. Its prevalence and clinical significance in 4993 patients.
Br Heart J. 1985 Oct;54(4):392-5. doi: 10.1136/hrt.54.4.392.
9
Clinical significance of coronary arterial ectasia.
Am J Cardiol. 1976 Feb;37(2):217-22. doi: 10.1016/0002-9149(76)90315-5.

文献AI研究员

20分钟写一篇综述,助力文献阅读效率提升50倍。

立即体验

用中文搜PubMed

大模型驱动的PubMed中文搜索引擎

马上搜索

文档翻译

学术文献翻译模型,支持多种主流文档格式。

立即体验