Suppr超能文献

偶然发现的肌内血管瘤,酷似军训后的创伤性血肿:一例报告

Incidentally Found Intramuscular Hemangioma, Mimicking Traumatic Hematoma after Military Training: A Case Report.

作者信息

Shin Chan Hee, Cho Byung-Kyu, Yoon Sang Hoon, Hwang Sung Hwan, Yoon Joon Ho

机构信息

Department of Neurosurgery, Armed Forces Capital Hospital, Seongnam, Korea.

出版信息

Korean J Neurotrauma. 2020 Sep 23;16(2):326-331. doi: 10.13004/kjnt.2020.16.e29. eCollection 2020 Oct.

Abstract

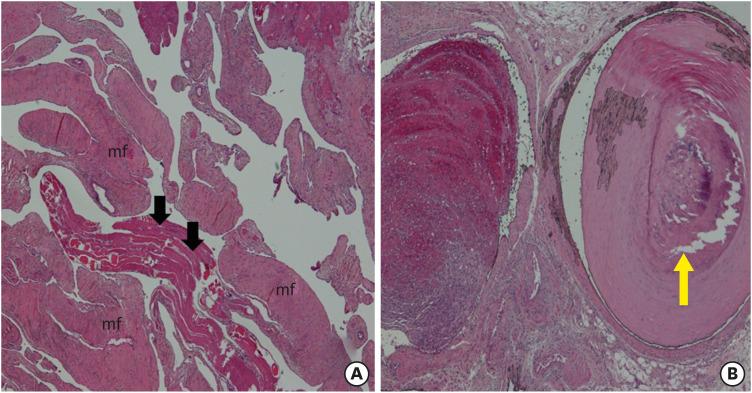
This case report showed a young soldier complained of low back pain during military training. Intramuscular hematoma accompanied by the lumbar compression fracture was observed in computed tomography. However, the possibility of intramuscular tumors could not be ruled out through additional examinations, and thus surgically removed, and was diagnosed as cavernous hemangioma. This report is a rare and instructive case in which a hemangioma mimicked bleeding with the lumbar fracture.

摘要

本病例报告显示,一名年轻士兵在军事训练期间抱怨下背部疼痛。计算机断层扫描显示伴有腰椎压缩性骨折的肌内血肿。然而,通过进一步检查不能排除肌内肿瘤的可能性,因此进行了手术切除,诊断为海绵状血管瘤。本报告是一例罕见且具有指导意义的病例,其中血管瘤酷似腰椎骨折伴出血。

https://cdn.ncbi.nlm.nih.gov/pmc/blobs/ef07/7607019/390d80e157b8/kjn-16-326-g001.jpg

相似文献

1
Incidentally Found Intramuscular Hemangioma, Mimicking Traumatic Hematoma after Military Training: A Case Report.
Korean J Neurotrauma. 2020 Sep 23;16(2):326-331. doi: 10.13004/kjnt.2020.16.e29. eCollection 2020 Oct.
3
Diffuse cavernous hemangioma of the rectum: an atypical cause of rectal bleeding.
Rev Esp Enferm Dig. 2004 May;96(5):346-52. doi: 10.4321/s1130-01082004000500008.
5
Cavernous hemangioma with hematoma in the chest wall due to penetration from the anterior mediastinum.
Gen Thorac Cardiovasc Surg. 2007 Apr;55(4):184-6. doi: 10.1007/s11748-007-0100-3.
6
Intramuscular hemangioma causing periosteal reaction and cortical hypertrophy misdiagnosed as osteoid osteoma.
Int J Surg Case Rep. 2017;34:106-109. doi: 10.1016/j.ijscr.2017.03.013. Epub 2017 Mar 16.
7
Endoscope-Assisted Resection of Intramuscular Cavernous Hemangioma Within the Temporal Muscle.
J Craniofac Surg. 2019 Jan;30(1):193-195. doi: 10.1097/SCS.0000000000004933.
9
Giant cavernous hemangioma of the eleventh rib.
J Cardiothorac Surg. 2019 May 22;14(1):95. doi: 10.1186/s13019-019-0919-6.

引用本文的文献

1
Paraspinal Intramuscular Hemangioma at L5-S1 With Concurrent Disc Herniation.
J Med Cases. 2025 Jun 30;16(6):232-237. doi: 10.14740/jmc5132. eCollection 2025 Jun.

本文引用的文献

1
Characterization of synovial sarcoma calcification.
AJR Am J Roentgenol. 2012 Dec;199(6):W730-4. doi: 10.2214/AJR.11.7342.
2
Cavernous haemangioma of the parapharyngeal space.
Indian J Otolaryngol Head Neck Surg. 2006 Jan;58(1):77-80. doi: 10.1007/BF02907748.
4
5
Rare case of intramasseteric cavernous hemangioma in a three-year-old boy: a diagnostic dilemma.
Ann Otol Rhinol Laryngol. 2004 Jun;113(6):455-8. doi: 10.1177/000348940411300607.
6
Surgical treatment of hemangiomas of soft tissue.
Clin Orthop Relat Res. 2002 Jun(399):205-10. doi: 10.1097/00003086-200206000-00025.
7
Intramuscular hemangioma of posterior neck muscles.
Eur Arch Otorhinolaryngol. 2001 Jan;258(1):28-30. doi: 10.1007/s004050000308.
8
Hemangioma of skeletal muscle.
Arch Orthop Trauma Surg. 2000;120(3-4):139-43. doi: 10.1007/pl00013761.
9
Pitfalls in oncologic diagnosis with FDG PET imaging: physiologic and benign variants.
Radiographics. 1999 Jan-Feb;19(1):61-77; quiz 150-1. doi: 10.1148/radiographics.19.1.g99ja0761.
10
Hemangiomas and vascular malformations in infants and children: a classification based on endothelial characteristics.
Plast Reconstr Surg. 1982 Mar;69(3):412-22. doi: 10.1097/00006534-198203000-00002.

文献AI研究员

20分钟写一篇综述,助力文献阅读效率提升50倍。

立即体验

用中文搜PubMed

大模型驱动的PubMed中文搜索引擎

马上搜索

文档翻译

学术文献翻译模型,支持多种主流文档格式。

立即体验