• 文献检索
  • 文档翻译
  • 深度研究
  • 学术资讯
  • Suppr Zotero 插件Zotero 插件
  • 邀请有礼
  • 套餐&价格
  • 历史记录
应用&插件
Suppr Zotero 插件Zotero 插件浏览器插件Mac 客户端Windows 客户端微信小程序
定价
高级版会员购买积分包购买API积分包
服务
文献检索文档翻译深度研究API 文档MCP 服务
关于我们
关于 Suppr公司介绍联系我们用户协议隐私条款
关注我们

Suppr 超能文献

核心技术专利:CN118964589B侵权必究
粤ICP备2023148730 号-1Suppr @ 2026

文献检索

告别复杂PubMed语法,用中文像聊天一样搜索,搜遍4000万医学文献。AI智能推荐,让科研检索更轻松。

立即免费搜索

文件翻译

保留排版,准确专业,支持PDF/Word/PPT等文件格式,支持 12+语言互译。

免费翻译文档

深度研究

AI帮你快速写综述,25分钟生成高质量综述,智能提取关键信息,辅助科研写作。

立即免费体验

肉芽肿性乳腺炎鉴别诊断的红色信号:病例报告。

Red flags for the differential diagnosis of granulomatous mastitis: a case report.

机构信息

Family Medicine Residency Program, McLaren Macomb Hospital, 1000 Harrington Blvd, Mount Clemens, MI, 48043, USA.

Department of Pharmacology and Toxicology, College of Osteopathic Medicine, Michigan State University, 44575 Garfield Road, Building UC4., Clinton Township, MI, 48038, USA.

出版信息

J Med Case Rep. 2020 Nov 10;14(1):215. doi: 10.1186/s13256-020-02563-x.

DOI:10.1186/s13256-020-02563-x
PMID:33168069
原文链接:https://pmc.ncbi.nlm.nih.gov/articles/PMC7654600/
Abstract

BACKGROUND

Granulomatous mastitis (GM) is a rare benign chronic inflammatory breast disease. GM presents as a heterogeneous illness with variable clinical presentations, and its diagnosis is usually made by exclusion. There are no guidelines for the treatment of GM. This manuscript describes the management of a patient with GM, initially unsuccessfully treated outside our clinic under a diagnosis of mastitis. The patient's history, physical examination, and needle biopsy flagged the patient's findings as nonmalignant; however, imaging studies indicated a tumor. Differential diagnosis became a critical element of her care. This case report represents a valuable resource to foster more assertive clinical practice in managing patients with GM. The case coordination and its course were led by a team from an outreach clinic that provides health care services to underserved communities in the state of Michigan.

CASE PRESENTATION

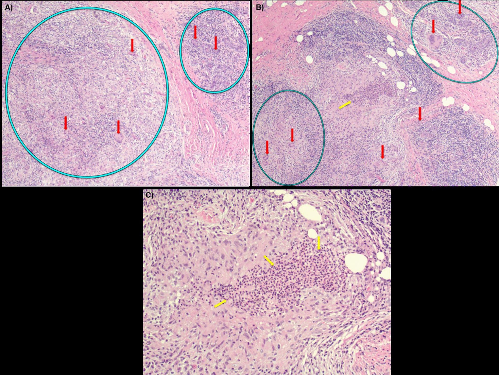
A 41-year-old G1P1 Hispanic female immigrant from Central America presented with a rare breast disease, granulomatous mastitis. A similar presentation occurred 5 years before pregnancy when she had an episode of pain and swelling in the left breast, which resolved spontaneously. She sought our services after being diagnosed with mastitis that was unsuccessfully treated. Physical examination revealed a nodular mass in the outer quadrants of the left breast without regional lymphadenopathy. Needle biopsy showed fibrohistiocytic and florid inflammatory reactions, with no evidence of invasive carcinoma. However, this result was inconsistent with the degree of abnormality revealed by the mammogram (BI-RADS grade 5), ultrasound, and physical examination. Full incisional biopsy revealed cystic neutrophilic GM. The surgical procedure, antibiotics, and corticosteroids resulted in a successful combination to secure the stable control of the symptoms and progression of this rare benign breast disease to date.

CONCLUSIONS

This patient's case highlights the importance of integrated communication among front-line primary care and other health care professionals to reduce the risk of invasive procedures and avoid institutional costs. GM is a rare disease. We raised the manifold red flags in which the multiple professional chains recruited to care for this patient were concerning for advanced breast cancer. The lack of experience and evidence-based medicine contributed to the contradictory interpretation of the findings on GM's diagnosis.

摘要

背景

肉芽肿性乳腺炎(GM)是一种罕见的良性慢性乳腺炎。GM 表现为一种异质性疾病,临床表现多样,其诊断通常通过排除法得出。目前尚无 GM 治疗指南。本文描述了一位 GM 患者的治疗过程,该患者在我们诊所外曾被误诊为乳腺炎,经治疗无效。患者的病史、体格检查和针吸活检均提示为非恶性肿瘤,但影像学检查显示为肿瘤。鉴别诊断成为其治疗的关键。本病例报告为管理 GM 患者提供了宝贵的资源,以促进更积极的临床实践。该病例的协调和治疗过程由密歇根州一个为服务不足社区提供医疗服务的外展诊所的团队主导。

病例介绍

一位 41 岁的 G1P1 西班牙裔移民女性,来自中美洲,患有罕见的乳腺疾病,即肉芽肿性乳腺炎。她在怀孕前 5 年曾出现过一次左侧乳房疼痛和肿胀的类似症状,后来自行缓解。她因被诊断为乳腺炎且治疗无效而寻求我们的服务。体格检查发现左侧乳房外象限有一个结节状肿块,无区域性淋巴结肿大。针吸活检显示纤维组织细胞和明显的炎症反应,无浸润性癌的证据。然而,这一结果与乳房 X 线摄影(BI-RADS 分级 5)、超声和体格检查所显示的异常程度不一致。全切除活检显示囊状中性粒细胞性 GM。手术、抗生素和皮质类固醇的联合应用成功地控制了症状,并稳定地控制了这种罕见的良性乳腺疾病的进展。

结论

该患者的病例强调了一线初级保健和其他医疗保健专业人员之间进行综合沟通的重要性,以降低侵入性程序的风险并避免机构成本。GM 是一种罕见疾病。我们提出了多个警示信号,参与该患者治疗的多个专业链都对晚期乳腺癌表示担忧。缺乏经验和循证医学导致 GM 诊断结果的解释存在矛盾。

https://cdn.ncbi.nlm.nih.gov/pmc/blobs/04be/7654600/fc3d46ad1188/13256_2020_2563_Fig2_HTML.jpg
https://cdn.ncbi.nlm.nih.gov/pmc/blobs/04be/7654600/b5532b8d5e83/13256_2020_2563_Fig1_HTML.jpg
https://cdn.ncbi.nlm.nih.gov/pmc/blobs/04be/7654600/fc3d46ad1188/13256_2020_2563_Fig2_HTML.jpg
https://cdn.ncbi.nlm.nih.gov/pmc/blobs/04be/7654600/b5532b8d5e83/13256_2020_2563_Fig1_HTML.jpg
https://cdn.ncbi.nlm.nih.gov/pmc/blobs/04be/7654600/fc3d46ad1188/13256_2020_2563_Fig2_HTML.jpg

相似文献

1
Red flags for the differential diagnosis of granulomatous mastitis: a case report.肉芽肿性乳腺炎鉴别诊断的红色信号:病例报告。
J Med Case Rep. 2020 Nov 10;14(1):215. doi: 10.1186/s13256-020-02563-x.
2
Granulomatous mastitis: a 10 year experience from a large inner city county hospital.肉芽肿性乳腺炎:来自一家大型市区县医院的 10 年经验。
J Surg Res. 2013 Sep;184(1):299-303. doi: 10.1016/j.jss.2013.06.047. Epub 2013 Jul 17.
3
Granulomatous mastitis: etiology, imaging, pathology, treatment, and clinical findings.肉芽肿性乳腺炎:病因、影像学表现、病理学、治疗和临床表现。
Breast Cancer Res Treat. 2018 Oct;171(3):527-534. doi: 10.1007/s10549-018-4870-3. Epub 2018 Jul 3.
4
Management of idiopathic granulomatous mastitis in lactation: case report and review of the literature.哺乳期特发性肉芽肿性乳腺炎的治疗:病例报告及文献复习。
Int Breastfeed J. 2021 Mar 4;16(1):23. doi: 10.1186/s13006-021-00370-8.
5
Corticosteroid treatment and timing of surgery in idiopathic granulomatous mastitis confusing with breast carcinoma.特发性肉芽肿性乳腺炎与乳腺癌的皮质类固醇治疗和手术时机。
Breast Cancer Res Treat. 2010 Sep;123(2):447-52. doi: 10.1007/s10549-010-1041-6. Epub 2010 Jul 13.
6
Idiopathic granulomatous mastitis diagnosed during pregnancy associated with successful breastfeeding experience.妊娠相关性特发性肉芽肿性乳腺炎的诊断与成功母乳喂养经验。
BMJ Case Rep. 2021 Aug 19;14(8):e241232. doi: 10.1136/bcr-2020-241232.
7
Clinicopathological evaluation of idiopathic granulomatous mastitis patients: A retrospective analysis from a tertiary care hospital in Turkey.特发性肉芽肿性乳腺炎患者的临床病理评估:土耳其一家三级保健医院的回顾性分析。
Ann Diagn Pathol. 2021 Dec;55:151812. doi: 10.1016/j.anndiagpath.2021.151812. Epub 2021 Sep 4.
8
Radiologic features of granulomatous mastitis.肉芽肿性乳腺炎的放射学特征。
Breast J. 2011 Nov-Dec;17(6):645-50. doi: 10.1111/j.1524-4741.2011.01154.x. Epub 2011 Sep 20.
9
You'll see it when you know it: granulomatous mastitis.当你了解它时,你就会看到:肉芽肿性乳腺炎。
Emerg Radiol. 2021 Dec;28(6):1213-1223. doi: 10.1007/s10140-021-01931-4. Epub 2021 Jul 22.
10
Idiopathic granulomatous mastitis. Report of a case diagnosed with fine needle aspiration cytology.特发性肉芽肿性乳腺炎。1例经细针穿刺细胞学诊断的病例报告。
Acta Cytol. 1999 May-Jun;43(3):481-4. doi: 10.1159/000331104.

引用本文的文献

1
Immune pathogenesis of idiopathic granulomatous mastitis: from etiology toward therapeutic approaches.特发性肉芽肿性乳腺炎的免疫发病机制:从病因到治疗方法。
Front Immunol. 2024 Mar 11;15:1295759. doi: 10.3389/fimmu.2024.1295759. eCollection 2024.
2
A single center experience with a rare clinical entity of idiopathic granulomatous mastitis: Case series and review of the literature.关于特发性肉芽肿性乳腺炎这一罕见临床实体的单中心经验:病例系列及文献综述
Int J Surg Case Rep. 2024 Feb;115:109232. doi: 10.1016/j.ijscr.2024.109232. Epub 2024 Jan 11.
3
Granulomatous Mastitis Occurring during Pregnancy: A Case Report.

本文引用的文献

1
Granulomatous Mastitis: A Therapeutic and Diagnostic Challenge.肉芽肿性乳腺炎:治疗与诊断的挑战
Breast Care (Basel). 2018 Dec;13(6):413-418. doi: 10.1159/000495146. Epub 2018 Nov 23.
2
Scoring Idiopathic Granulomatous Mastitis: An Effective System for Predicting Recurrence?特发性肉芽肿性乳腺炎的评分:一种预测复发的有效系统?
Eur J Breast Health. 2018 Apr 1;14(2):112-116. doi: 10.5152/ejbh.2018.3709. eCollection 2018 Apr.
3
The enigma of granulomatous mastitis: A series.肉芽肿性乳腺炎之谜:系列报道
妊娠期肉芽肿性乳腺炎 1 例报告。
Medicina (Kaunas). 2023 Aug 3;59(8):1418. doi: 10.3390/medicina59081418.
4
Profiling Microbial Communities in Idiopathic Granulomatous Mastitis.特发性肉芽肿性乳腺炎的微生物群落分析。
Int J Mol Sci. 2023 Jan 5;24(2):1042. doi: 10.3390/ijms24021042.
5
Molecular investigation of possible relationships concerning bovine leukemia virus and breast cancer.牛白血病病毒与乳腺癌之间可能存在的关系的分子研究。
Sci Rep. 2022 Mar 9;12(1):4161. doi: 10.1038/s41598-022-08181-5.
6
Assertive clinical practice in managing patients with idiopathic granulomatous mastitis: Review of literature.特发性肉芽肿性乳腺炎患者管理中的积极临床实践:文献综述
Ann Med Surg (Lond). 2021 Sep 11;70:102792. doi: 10.1016/j.amsu.2021.102792. eCollection 2021 Oct.
Breast Dis. 2017;37(1):17-20. doi: 10.3233/BD-160261.
4
Treatments for Idiopathic Granulomatous Mastitis: Systematic Review and Meta-Analysis.特发性肉芽肿性乳腺炎的治疗:系统评价与荟萃分析
Breastfeed Med. 2017 Sep;12(7):415-421. doi: 10.1089/bfm.2017.0030. Epub 2017 Jul 21.
5
Etiologic revelation and outcome of the surgical management of idiopathic granulomatous mastitis; An Egyptian centre experience.特发性肉芽肿性乳腺炎手术治疗的病因揭示与结果:埃及一家中心的经验
Breast Dis. 2016;36(4):115-122. doi: 10.3233/BD-160238.
6
Idiopathic Granulomatous Mastitis Associated with Erythema Nodosum.特发性肉芽肿性乳腺炎伴结节性红斑
Balkan Med J. 2016 Mar;33(2):228-31. doi: 10.5152/balkanmedj.2015.150089. Epub 2016 Mar 1.
7
Differential diagnosis in idiopathic granulomatous mastitis and tuberculous mastitis.特发性肉芽肿性乳腺炎与结核性乳腺炎的鉴别诊断。
J Breast Cancer. 2012 Mar;15(1):111-8. doi: 10.4048/jbc.2012.15.1.111. Epub 2012 Mar 28.
8
Idiopathic granulomatous mastitis: case reports and review of literature.特发性肉芽肿性乳腺炎:病例报告及文献复习。
J Gen Intern Med. 2010 Mar;25(3):270-3. doi: 10.1007/s11606-009-1207-2. Epub 2009 Dec 15.
9
Idiopathic granulomatous mastitis: a 25-year experience.特发性肉芽肿性乳腺炎:25年的经验
J Am Coll Surg. 2008 Feb;206(2):269-73. doi: 10.1016/j.jamcollsurg.2007.07.041. Epub 2007 Oct 29.
10
Idiopathic granulomatous mastitis: a heterogeneous disease with variable clinical presentation.特发性肉芽肿性乳腺炎:一种临床表现多样的异质性疾病。
World J Surg. 2007 Aug;31(8):1677-81. doi: 10.1007/s00268-007-9116-1.