Suppr超能文献

新型菌株通过调节肠道微生物群和短链脂肪酸代谢来缓解乙醇引起的肝损伤。

New strain of alleviates ethanol-induced liver injury by modulating the gut microbiota and short-chain fatty acid metabolism.

机构信息

State Key Laboratory for Diagnosis and Treatment of Infectious Diseases, National Clinical Research Center for Infectious Diseases, Collaborative Innovation Center for Diagnosis and Treatment of Infectious Diseases, The First Affiliated Hospital, College of Medicine, Zhejiang University, Hangzhou 310003, Zhejiang Province, China.

出版信息

World J Gastroenterol. 2020 Oct 28;26(40):6224-6240. doi: 10.3748/wjg.v26.i40.6224.

Abstract

BACKGROUND

Intestinal dysbiosis has been shown to be associated with the pathogenesis of alcoholic liver disease (ALD), which includes changes in the microbiota composition and bacterial overgrowth, but an effective microbe-based therapy is lacking. () CGMCC 7049 is a newly isolated strain of probiotic that has been shown to be resistant to ethanol and bile salts. However, further studies are needed to determine whether exerts a protective effect on ALD and to elucidate the potential mechanism.

AIM

To evaluate the protective effect of the probiotic on ethanol-induced liver injury in mice.

METHODS

A new ethanol-resistant strain of CGMCC 7049 was isolated from healthy adults in our laboratory. The chronic plus binge model of experimental ALD was established to evaluate the protective effects. Twenty-eight C57BL/6 mice were randomly divided into three groups: The control group received a pair-fed control diet and oral gavage with sterile phosphate buffered saline, the EtOH group received a ten-day Lieber-DeCarli diet containing 5% ethanol and oral gavage with phosphate buffered saline, and the group received a 5% ethanol Lieber-DeCarli diet but was treated with . One dose of isocaloric maltose dextrin or ethanol was administered by oral gavage on day 11, and the mice were sacrificed nine hours later. Blood and tissue samples (liver and gut) were harvested to evaluate gut barrier function and liver injury-related parameters. Fresh cecal contents were collected, gas chromatography-mass spectrometry was used to measure short-chain fatty acid (SCFA) concentrations, and the microbiota composition was analyzed using 16S rRNA gene sequencing.

RESULTS

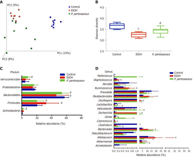
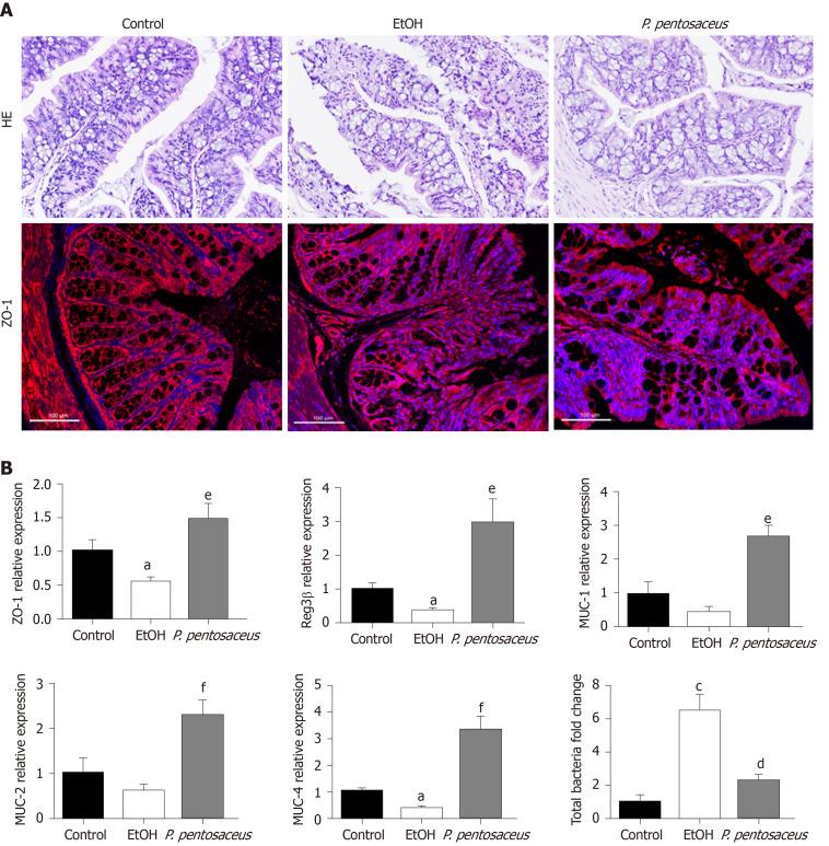
The treatment improved ethanol-induced liver injury, with lower alanine aminotransferase, aspartate transaminase and triglyceride levels and decreased neutrophil infiltration. These changes were accompanied by decreased levels of endotoxin and inflammatory cytokines, including interleukin-5, tumor necrosis factor-α, granulocyte colony-stimulating factor, keratinocyte-derived protein chemokine, macrophage inflammatory protein-1α and monocyte chemoattractant protein-1. Ethanol feeding resulted in intestinal dysbiosis and gut barrier disruption, increased relative abundance of potentially pathogenic and , and the depletion of SCFA-producing bacteria, such as , and . In contrast, administration increased the microbial diversity, restored the relative abundance of and and increased propionic acid and butyric acid production by modifying SCFA-producing bacteria. Furthermore, the levels of the tight junction protein ZO-1, mucin proteins (mucin [MUC]-1, MUC-2 and MUC-4) and the antimicrobial peptide Reg3β were increased after probiotic supplementation.

CONCLUSION

Based on these results, the new strain of alleviated ethanol-induced liver injury by reversing gut microbiota dysbiosis, regulating intestinal SCFA metabolism, improving intestinal barrier function, and reducing circulating levels of endotoxin and proinflammatory cytokines and chemokines. Thus, this strain is a potential probiotic treatment for ALD.

摘要

背景

肠道菌群失调与酒精性肝病(ALD)的发病机制有关,包括微生物群落组成和细菌过度生长的变化,但缺乏有效的基于微生物的治疗方法。() CGMCC 7049 是一种新分离的益生菌株,已被证明能抵抗乙醇和胆盐。然而,需要进一步研究以确定是否对 ALD 具有保护作用,并阐明其潜在机制。

目的

评估益生菌()对乙醇诱导的小鼠肝损伤的保护作用。

方法

从本实验室健康成年人中分离出一种新的乙醇抗性() CGMCC 7049 菌株。采用慢性加 binge 实验性 ALD 模型评价其保护作用。将 28 只 C57BL/6 小鼠随机分为三组:对照组给予等量对照饲料和无菌磷酸盐缓冲液灌胃,乙醇组给予含 5%乙醇的 Lieber-DeCarli 饮食和磷酸盐缓冲液灌胃,组给予 5%乙醇 Lieber-DeCarli 饮食但用处理。第 11 天,给予等热量麦芽糊精或乙醇口服灌胃,9 小时后处死小鼠。采集血液和组织样本(肝脏和肠道),评估肠道屏障功能和与肝损伤相关的参数。收集新鲜盲肠内容物,采用气相色谱-质谱联用技术测定短链脂肪酸(SCFA)浓度,采用 16S rRNA 基因测序分析微生物群落组成。

结果

治疗改善了乙醇诱导的肝损伤,降低了丙氨酸氨基转移酶、天冬氨酸氨基转移酶和甘油三酯水平,减少了中性粒细胞浸润。这些变化伴随着内毒素和炎症细胞因子水平的降低,包括白细胞介素-5、肿瘤坏死因子-α、粒细胞集落刺激因子、角质细胞衍生的趋化因子、巨噬细胞炎症蛋白-1α 和单核细胞趋化蛋白-1。乙醇喂养导致肠道菌群失调和肠道屏障破坏,增加了潜在致病性和的相对丰度,并消耗了产生 SCFA 的细菌,如、和。相反,给药增加了微生物多样性,通过改变产生 SCFA 的细菌,恢复了和的相对丰度,并增加了丙酸和丁酸的产生。此外,补充益生菌后,紧密连接蛋白 ZO-1、粘蛋白蛋白(粘蛋白[MUC]-1、MUC-2 和 MUC-4)和抗菌肽 Reg3β 的水平增加。

结论

基于这些结果,新分离的菌株通过逆转肠道菌群失调、调节肠道 SCFA 代谢、改善肠道屏障功能以及降低循环内毒素和促炎细胞因子和趋化因子水平,减轻了乙醇诱导的肝损伤。因此,该菌株是治疗 ALD 的一种潜在益生菌治疗方法。

https://cdn.ncbi.nlm.nih.gov/pmc/blobs/9400/7596634/6c27815a2bf5/WJG-26-6224-g001.jpg

文献AI研究员

20分钟写一篇综述,助力文献阅读效率提升50倍。

立即体验

用中文搜PubMed

大模型驱动的PubMed中文搜索引擎

马上搜索

文档翻译

学术文献翻译模型,支持多种主流文档格式。

立即体验