Suppr超能文献

雌激素与嵌合小鼠中颗粒状子宫腺细胞的分化

Oestrogen and the differentiation of granulated metrial gland cells in chimeric mice.

作者信息

Peel S, Stewart I

机构信息

University of Southampton.

出版信息

J Anat. 1986 Feb;144:181-7.

Abstract

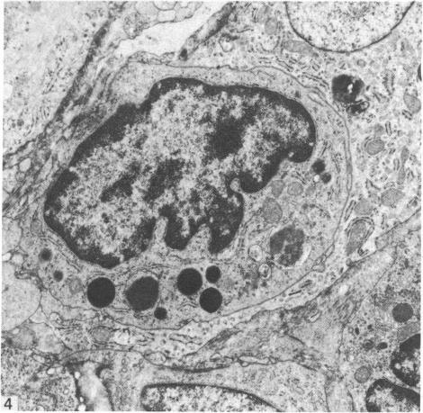
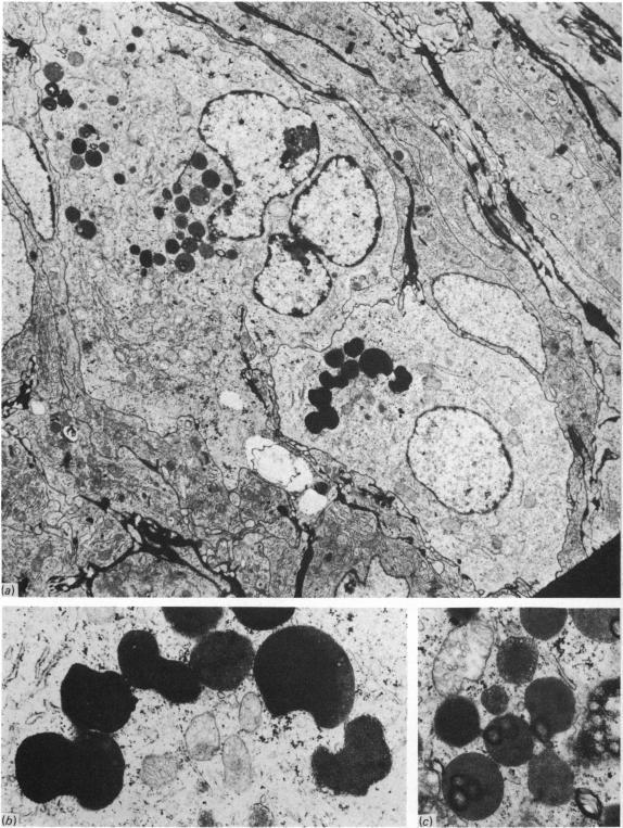
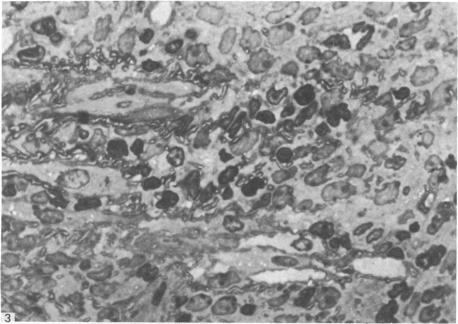
The role of oestrogen in the recruitment of GMG cell precursors to the uterus has been investigated in radiation-induced chimeric mice reconstituted with rat bone marrow and maintained on a hormone regime simulating pseudopregnancy. The presence of rat GMG cells in the deciduomata in mice irradiated after oestrogen priming suggests that oestrogen priming is not an essential factor in recruiting GMG cell precursors. However, the results have led to the suggestion that in the normal, cycling mouse oestrogen may have a role in attracting GMG cell precursors to the uterus and preparing them for differentiation.

摘要

雌激素在将GMG细胞前体募集至子宫中的作用,已在经大鼠骨髓重建并维持于模拟假孕激素方案下的辐射诱导嵌合小鼠中进行了研究。在雌激素预处理后接受照射的小鼠蜕膜中存在大鼠GMG细胞,这表明雌激素预处理并非募集GMG细胞前体的必要因素。然而,这些结果提示,在正常的周期性小鼠中,雌激素可能在吸引GMG细胞前体至子宫并使其为分化做好准备方面发挥作用。

https://cdn.ncbi.nlm.nih.gov/pmc/blobs/5db9/1166473/5a01489e85a1/janat00189-0184-a.jpg

文献检索

告别复杂PubMed语法,用中文像聊天一样搜索,搜遍4000万医学文献。AI智能推荐,让科研检索更轻松。

立即免费搜索

文件翻译

保留排版,准确专业,支持PDF/Word/PPT等文件格式,支持 12+语言互译。

免费翻译文档

深度研究

AI帮你快速写综述,25分钟生成高质量综述,智能提取关键信息,辅助科研写作。

立即免费体验