Suppr超能文献

隐匿性嗅神经母细胞瘤伴多发骨转移:一例报告

Occult olfactory neuroblastoma presenting with multiple bone metastases: a case report.

作者信息

Zhou Qi, Li Zijian, Liu Bei, Zhao Long, Tian Baohong, Wang Lina, Xi Yaming

机构信息

The First Clinical Medical College, Lanzhou University.

Department of Hematology, The First Hospital of Lanzhou University.

出版信息

Medicine (Baltimore). 2020 Nov 25;99(48):e22630. doi: 10.1097/MD.0000000000022630.

Abstract

RATIONABLE

Olfactory neuroblastoma (ONB) is a rare malignant tumor of the nasal cavity, the primary local symptoms are usually inconspicuous. Patients are often admitted to various specialties based on different primary symptoms, which may result in delayed diagnosis and even a misdiagnosis.

PATIENT CONCERNS

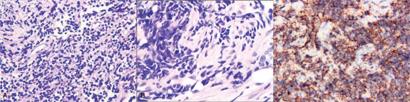
Here we report a case of ONB that presented initially as multiple ostealgia without any local symptoms of the tumor and primarily misdiagnosed as multiple myeloma. The patient was a 47-year-old female with bone pain at multiple sites. The initial diagnosis was considered as multiple myeloma. However, the morphologic examination of bone marrow suggested that the tumor cells originated from the nervous tissues. After the positron emission computed tomography scan, the primary lesion in the nasal cavity was located, and a biopsy was performed.

DIAGNOSIS

The final diagnosis of ONB was confirmed by histopathological tests.

INTERVENTIONS

The patient was treated with metronomic chemotherapy.

OUTCOMES

The symptoms of bone pain were significantly relieved 3 months later. The emission computed tomography scan of the whole body bones and the magnetic resonance imaging of the head showed that the tumor size did not change significantly and proved a progression-free of the disease.

LESSONS

It is a reasonable strategy to identify the original latent tumor by a prompt positron emission computed tomography scan when the primary diagnosis indicates a metastatic disease, especially for the occult malignancies like ONB.

摘要

理由

嗅神经母细胞瘤(ONB)是鼻腔罕见的恶性肿瘤,主要局部症状通常不明显。患者常因不同的首发症状而入住不同专科,这可能导致诊断延迟甚至误诊。

患者情况

我们在此报告一例ONB,最初表现为多处骨痛,无任何肿瘤局部症状,最初被误诊为多发性骨髓瘤。患者为47岁女性,多处骨痛。最初诊断考虑为多发性骨髓瘤。然而,骨髓形态学检查提示肿瘤细胞起源于神经组织。经正电子发射计算机断层扫描后,确定了鼻腔的原发病灶,并进行了活检。

诊断

组织病理学检查确诊为ONB。

干预措施

患者接受了节拍化疗。

结果

3个月后骨痛症状明显缓解。全身骨骼发射计算机断层扫描和头部磁共振成像显示肿瘤大小无明显变化,证明疾病无进展。

经验教训

当初步诊断为转移性疾病时,尤其是对于像ONB这样的隐匿性恶性肿瘤,通过及时的正电子发射计算机断层扫描识别原发潜在肿瘤是一种合理的策略。

https://cdn.ncbi.nlm.nih.gov/pmc/blobs/0559/7710244/0f5e488d642c/medi-99-e22630-g001.jpg

文献AI研究员

20分钟写一篇综述,助力文献阅读效率提升50倍。

立即体验

用中文搜PubMed

大模型驱动的PubMed中文搜索引擎

马上搜索

文档翻译

学术文献翻译模型,支持多种主流文档格式。

立即体验