Institute of Molecular Biology, Academia Sinica, 128, Academia Road, Section 2, Taipei, 11529, Taiwan, Republic of China.
J Biomed Sci. 2020 Dec 1;27(1):103. doi: 10.1186/s12929-020-00696-1.
Dendritic spines, the actin-rich protrusions emerging from dendrites, are the subcellular locations of excitatory synapses in the mammalian brain. Many actin-regulating molecules modulate dendritic spine morphology. Since dendritic spines are neuron-specific structures, it is reasonable to speculate that neuron-specific or -predominant factors are involved in dendritic spine formation. KLHL17 (Kelch-like 17, also known as Actinfilin), an actin-binding protein, is predominantly expressed in brain. Human genetic study has indicated an association of KLHL17/Actinfilin with infantile spasms, a rare form of childhood epilepsy also resulting in autism and mental retardation, indicating that KLHL17/Actinfilin plays a role in neuronal function. However, it remains elusive if and how KLHL17/Actinfilin regulates neuronal development and brain function.
Fluorescent immunostaining and electrophysiological recording were performed to evaluate dendritic spine formation and activity in cultured hippocampal neurons. Knockdown and knockout of KLHL17/Actinfilin and expression of truncated fragments of KLHL17/Actinfilin were conducted to investigate the function of KLHL17/Actinfilin in neurons. Mouse behavioral assays were used to evaluate the role of KLHL17/Actinfilin in brain function.
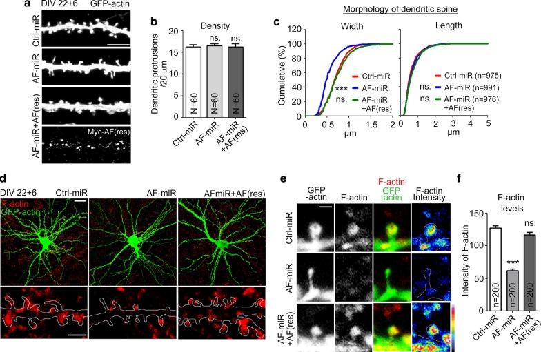
We found that KLHL17/Actinfilin tends to form circular puncta in dendritic spines and are surrounded by or adjacent to F-actin. Klhl17 deficiency impairs F-actin enrichment at dendritic spines. Knockdown and knockout of KLHL17/Actinfilin specifically impair dendritic spine enlargement, but not the density or length of dendritic spines. Both N-terminal Broad-Complex, Tramtrack and Bric-a-brac (BTB) domain and C-terminal Kelch domains of KLHL17/Actinfilin are required for F-actin remodeling and enrichment at dendritic spines, as well as dendritic spine enlargement. A reduction of postsynaptic and presynsptic markers at dendritic spines and altered mEPSC profiles due to Klhl17 deficiency evidence impaired synaptic activity in Klhl17-deficient neurons. Our behavioral assays further indicate that Klhl17 deficiency results in hyperactivity and reduced social interaction, strengthening evidence for the physiological role of KLHL17/Actinfilin.
Our findings provide evidence that KLHL17/Actinfilin modulates F-actin remodeling and contributes to regulation of neuronal morphogenesis, maturation and activity, which is likely relevant to behavioral impairment in Klhl17-deficient mice. Trial registration Non-applicable.
树突棘是从树突中伸出的富含肌动蛋白的突起,是哺乳动物大脑中兴奋性突触的亚细胞位置。许多调节肌动蛋白的分子调节树突棘形态。由于树突棘是神经元特异性结构,因此可以合理地推测,神经元特异性或主要的因子参与了树突棘的形成。KLHL17(Kelch-like 17,也称为肌动蛋白丝结合蛋白)是一种主要在大脑中表达的肌动蛋白结合蛋白。人类遗传学研究表明 KLHL17/肌动蛋白丝结合蛋白与婴儿痉挛症有关,婴儿痉挛症是一种罕见的儿童癫痫形式,也会导致自闭症和智力迟钝,表明 KLHL17/肌动蛋白丝结合蛋白在神经元功能中发挥作用。然而,KLHL17/肌动蛋白丝结合蛋白是否以及如何调节神经元发育和大脑功能仍然难以捉摸。
荧光免疫染色和电生理记录用于评估培养的海马神经元中的树突棘形成和活性。进行 KLHL17/肌动蛋白丝结合蛋白的敲低和敲除以及 KLHL17/肌动蛋白丝结合蛋白截断片段的表达,以研究 KLHL17/肌动蛋白丝结合蛋白在神经元中的功能。使用小鼠行为测定来评估 KLHL17/肌动蛋白丝结合蛋白在大脑功能中的作用。
我们发现 KLHL17/肌动蛋白丝结合蛋白倾向于在树突棘中形成圆形斑点,并被 F-肌动蛋白包围或与其相邻。Klhl17 缺乏会损害树突棘处的 F-肌动蛋白富集。KLHL17/肌动蛋白丝结合蛋白的敲低和敲除特异性损害树突棘的扩大,但不损害树突棘的密度或长度。KLHL17/肌动蛋白丝结合蛋白的 N 端 Broad-Complex、Tramtrack 和 Bric-a-brac(BTB)结构域和 C 端 Kelch 结构域都需要 F-肌动蛋白重塑和在树突棘处的富集以及树突棘的扩大。由于 Klhl17 缺乏导致树突棘上的突触后和突触前标记物减少以及 mEPSC 谱改变,这表明 Klhl17 缺陷神经元中的突触活动受损。我们的行为测定进一步表明,Klhl17 缺乏导致过度活跃和社交互动减少,这进一步证明了 KLHL17/肌动蛋白丝结合蛋白的生理作用。
我们的研究结果提供了证据表明 KLHL17/肌动蛋白丝结合蛋白调节 F-肌动蛋白重塑并有助于调节神经元形态发生、成熟和活性,这可能与 Klhl17 缺陷小鼠的行为障碍有关。
不适用。