Suppr超能文献

葡萄籽原花青素诱导HepG2细胞凋亡和细胞周期阻滞,并伴随丝裂原活化蛋白激酶(MAPK)通路和NAG-1的诱导。

Grape Seed Proanthocyanidins Induce Apoptosis and Cell Cycle Arrest of HepG2 Cells Accompanied by Induction of the MAPK Pathway and NAG-1.

作者信息

Wang Lihua, Zhan Jicheng, Huang Weidong

机构信息

Beijing Key Laboratory of Viticulture and Enology, College of Food Science and Nutritional Engineering, China Agricultural University, Beijing 100083, China.

出版信息

Antioxidants (Basel). 2020 Nov 28;9(12):1200. doi: 10.3390/antiox9121200.

Abstract

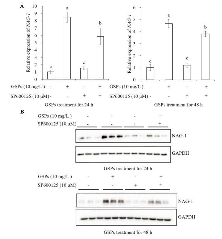
Hepatocellular carcinoma (HCC) is one of the common malignancies leading to death. Although radiotherapy and chemotherapy have certain effects, their side effects limit their therapeutic effect. Phytochemicals have recently been given more attention as promising resources for cancer chemoprevention or chemotherapy due to their safety. In this study, the effects of grape seed proanthocyanidins (GSPs) on the apoptosis, cell cycle, and mitogen-activated protein kinase (MAPK) pathway-related proteins and non-steroidal anti-inflammatory drug-activated gene-1 (NAG-1) expression of HepG2 cells were investigated. The results showed that GSPs inhibited the viability of HepG2 cells in a time- and dose-dependent manner, induced apoptosis and G2/M phase cell cycle arrest, and regulated cell cycle-related proteins, cyclin B1, cyclin-dependent kinase 1, and p21. GSPs also increased reactive oxygen species production and caspase-3 activity. In addition, GSPs also increased the expression of p-ERK, p-JNK, p-p38 MAPK and NAG-1, and GSPs-induced NAG-1 expression was related to the MAPK pathway-related proteins. These data suggest that GSPs may be promising phytochemicals for HCC chemoprevention or chemotherapy.

摘要

肝细胞癌(HCC)是导致死亡的常见恶性肿瘤之一。尽管放疗和化疗有一定效果,但其副作用限制了它们的治疗效果。由于植物化学物质的安全性,它们最近作为癌症化学预防或化疗的有前景资源而受到更多关注。在本研究中,研究了葡萄籽原花青素(GSPs)对HepG2细胞凋亡、细胞周期、丝裂原活化蛋白激酶(MAPK)途径相关蛋白以及非甾体抗炎药激活基因-1(NAG-1)表达的影响。结果表明,GSPs以时间和剂量依赖性方式抑制HepG2细胞的活力,诱导凋亡和G2/M期细胞周期阻滞,并调节细胞周期相关蛋白,细胞周期蛋白B1、细胞周期蛋白依赖性激酶1和p21。GSPs还增加了活性氧的产生和半胱天冬酶-3的活性。此外,GSPs还增加了p-ERK、p-JNK、p-p38 MAPK和NAG-1的表达,且GSPs诱导的NAG-1表达与MAPK途径相关蛋白有关。这些数据表明,GSPs可能是用于HCC化学预防或化疗的有前景的植物化学物质。

https://cdn.ncbi.nlm.nih.gov/pmc/blobs/6631/7760884/72f36f49f53b/antioxidants-09-01200-g001.jpg

文献AI研究员

20分钟写一篇综述,助力文献阅读效率提升50倍。

立即体验

用中文搜PubMed

大模型驱动的PubMed中文搜索引擎

马上搜索

文档翻译

学术文献翻译模型,支持多种主流文档格式。

立即体验