Suppr超能文献

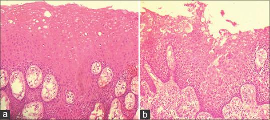
Mucopolysaccharide Keratin Dystrophy: Update on Pathogenesis and Microscopic Features.

作者信息

Shah Arpan K

机构信息

Department of Oral Pathology and Microbiology, Manubhai Patel Dental College and Hospital, Vadodara, Gujarat, India.

出版信息

J Microsc Ultrastruct. 2020 May 8;8(3):132-133. doi: 10.4103/JMAU.JMAU_71_19. eCollection 2020 Jul-Sep.

Abstract
摘要
https://cdn.ncbi.nlm.nih.gov/pmc/blobs/883f/7703016/59213d7ff9f8/JMAU-8-132-g001.jpg

文献检索

告别复杂PubMed语法,用中文像聊天一样搜索,搜遍4000万医学文献。AI智能推荐,让科研检索更轻松。

立即免费搜索

文件翻译

保留排版,准确专业,支持PDF/Word/PPT等文件格式,支持 12+语言互译。

免费翻译文档

深度研究

AI帮你快速写综述,25分钟生成高质量综述,智能提取关键信息,辅助科研写作。

立即免费体验