• 文献检索
  • 文档翻译
  • 深度研究
  • 学术资讯
  • Suppr Zotero 插件Zotero 插件
  • 邀请有礼
  • 套餐&价格
  • 历史记录
应用&插件
Suppr Zotero 插件Zotero 插件浏览器插件Mac 客户端Windows 客户端微信小程序
定价
高级版会员购买积分包购买API积分包
服务
文献检索文档翻译深度研究API 文档MCP 服务
关于我们
关于 Suppr公司介绍联系我们用户协议隐私条款
关注我们

Suppr 超能文献

核心技术专利:CN118964589B侵权必究
粤ICP备2023148730 号-1Suppr @ 2026

文献检索

告别复杂PubMed语法,用中文像聊天一样搜索,搜遍4000万医学文献。AI智能推荐,让科研检索更轻松。

立即免费搜索

文件翻译

保留排版,准确专业,支持PDF/Word/PPT等文件格式,支持 12+语言互译。

免费翻译文档

深度研究

AI帮你快速写综述,25分钟生成高质量综述,智能提取关键信息,辅助科研写作。

立即免费体验

有和没有记忆缺陷的HIV阳性患者的后扣带回代谢改变

Posterior cingulate gyri metabolic alterations in HIV-positive patients with and without memory deficits.

作者信息

Corrêa Diogo G, van Duinkerken Eelco, Zimmermann Nicolle, Fonseca Rochele P, Gasparetto Emerson L

机构信息

Department of Radiology, Hospital Universitário Clementino Fraga Filho, Universidade Federal do Rio de Janeiro (UFRJ), Rio de Janeiro, RJ, Brazil.

Clínica de Diagnóstico por Imagem (CDPI)/DASA, Rio de Janeiro, RJ, Brazil.

出版信息

Radiol Bras. 2020 Nov-Dec;53(6):359-365. doi: 10.1590/0100-3984.2019.0093.

DOI:10.1590/0100-3984.2019.0093
PMID:33304002
原文链接:https://pmc.ncbi.nlm.nih.gov/articles/PMC7720660/
Abstract

OBJECTIVE

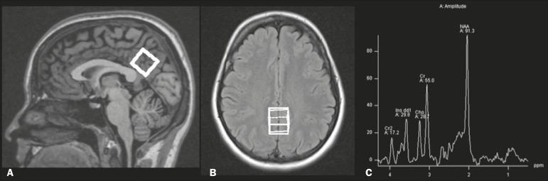
We aimed to evaluate whether human immunodeficiency virus (HIV)-positive patients with and without clinically significant memory deficits and healthy control participants differ on in vivo hydrogen-1 magnetic resonance spectroscopy (H-MRS) in the posterior cingulate gyri.

MATERIALS AND METHODS

In total, 21 HIV-positive patients with memory deficit (HIV+wMD) were compared with 15 HIV-positive patients without memory deficit (HIV+wOMD) and 22 sex-, age-, and education-matched control participants. Memory impairments were classified based on the participants' performance on the Rey Auditory Verbal Learning Test. Short echo time (30 ms), single-voxel H-MRS was performed using a 1.5-T magnetic resonance scanner.

RESULTS

The HIV+wMD and HIV+wOMD groups had higher choline/creatine ratio in the posterior cingulate gyri than the control group. There were no significant metabolite ratio differences between the HIV+wMD and HIV+wOMD groups.

CONCLUSION

HIV-positive patients with and without memory deficits had significantly higher choline/creatine ratios than controls in the posterior cingulate gyri, which may reflect cerebral inflammation, altered cell membrane metabolism, microgliosis, and/or astrocytosis.

摘要

目的

我们旨在评估有和没有临床显著记忆缺陷的人类免疫缺陷病毒(HIV)阳性患者以及健康对照参与者在后扣带回的体内氢-1磁共振波谱(H-MRS)是否存在差异。

材料与方法

总共将21名有记忆缺陷的HIV阳性患者(HIV+wMD)与15名无记忆缺陷的HIV阳性患者(HIV+wOMD)以及22名性别、年龄和教育程度匹配的对照参与者进行比较。根据参与者在雷伊听觉词语学习测验中的表现对记忆损害进行分类。使用1.5-T磁共振扫描仪进行短回波时间(30 ms)的单体素H-MRS。

结果

HIV+wMD组和HIV+wOMD组后扣带回中的胆碱/肌酸比值高于对照组。HIV+wMD组和HIV+wOMD组之间的代谢物比值无显著差异。

结论

有和没有记忆缺陷的HIV阳性患者后扣带回中的胆碱/肌酸比值均显著高于对照组,这可能反映了脑部炎症、细胞膜代谢改变、小胶质细胞增生和/或星形细胞增生。

https://cdn.ncbi.nlm.nih.gov/pmc/blobs/7381/7720660/74fe3b5f2466/rb-53-06-0359-g02.jpg
https://cdn.ncbi.nlm.nih.gov/pmc/blobs/7381/7720660/84ac4c773aed/rb-53-06-0359-g01.jpg
https://cdn.ncbi.nlm.nih.gov/pmc/blobs/7381/7720660/74fe3b5f2466/rb-53-06-0359-g02.jpg
https://cdn.ncbi.nlm.nih.gov/pmc/blobs/7381/7720660/84ac4c773aed/rb-53-06-0359-g01.jpg
https://cdn.ncbi.nlm.nih.gov/pmc/blobs/7381/7720660/74fe3b5f2466/rb-53-06-0359-g02.jpg

相似文献

1
Posterior cingulate gyri metabolic alterations in HIV-positive patients with and without memory deficits.有和没有记忆缺陷的HIV阳性患者的后扣带回代谢改变
Radiol Bras. 2020 Nov-Dec;53(6):359-365. doi: 10.1590/0100-3984.2019.0093.
2
Functional investigation of bilateral posterior cingulate gyri using multivoxel MR spectroscopy.利用多体素磁共振波谱研究双侧后扣带回功能。
Eur Neurol. 2012;67(5):279-86. doi: 10.1159/000336834. Epub 2012 Apr 3.
3
Evaluation of early cerebral metabolic, perfusion and microstructural changes in HCV-positive patients: a pilot study.评价 HCV 阳性患者的早期脑代谢、灌注和微观结构变化:一项初步研究。
J Hepatol. 2013 Oct;59(4):651-7. doi: 10.1016/j.jhep.2013.05.008. Epub 2013 May 13.
4
Posterior cingulate metabolic changes in frontotemporal lobar degeneration detected by magnetic resonance spectroscopy.磁共振波谱检测额颞叶痴呆中后扣带回的代谢变化
Neuroradiology. 2004 Apr;46(4):277-81. doi: 10.1007/s00234-004-1167-5. Epub 2004 Feb 28.
5
Detection of human immunodeficiency virus induced inflammation and oxidative stress in lenticular nuclei with magnetic resonance spectroscopy despite antiretroviral therapy.尽管接受了抗逆转录病毒治疗,但通过磁共振波谱法仍可检测到人类免疫缺陷病毒在豆状核中诱发的炎症和氧化应激。
Arch Neurol. 2007 Sep;64(9):1249-57. doi: 10.1001/archneur.64.9.noc60125. Epub 2007 Jul 9.
6
Regional metabolic changes in the hippocampus and posterior cingulate area detected with 3-Tesla magnetic resonance spectroscopy in patients with mild cognitive impairment and Alzheimer disease.采用3特斯拉磁共振波谱检测轻度认知障碍和阿尔茨海默病患者海马体和后扣带回区域的代谢变化。
Acta Radiol. 2009 Apr;50(3):312-9. doi: 10.1080/02841850802709219.
7
Metabolic changes in the anterior and posterior cingulate cortices of the normal aging brain: proton magnetic resonance spectroscopy study at 3 T.正常衰老大脑前扣带回和后扣带回皮质的代谢变化:3T质子磁共振波谱研究
Age (Dordr). 2014 Feb;36(1):251-64. doi: 10.1007/s11357-013-9545-8. Epub 2013 May 26.
8
Metabolite investigation in both anterior and posterior cingulate gyri in Alzheimer's disease spectrum using 3-tesla MR spectroscopy.采用 3 特斯拉磁共振波谱技术对阿尔茨海默病谱系中扣带回前回和后回的代谢产物进行研究。
Dement Geriatr Cogn Disord. 2012;33(2-3):149-55. doi: 10.1159/000338177. Epub 2012 May 7.
9
Evaluation of metabolic changes within the normal appearing gray and white matters in neurologically asymptomatic HIV-1-positive and HCV-positive patients: magnetic resonance spectroscopy and immunologic correlation.评估神经无症状 HIV-1 阳性和 HCV 阳性患者正常表现的灰质和白质内代谢变化:磁共振波谱和免疫相关性。
Eur J Radiol. 2013 Apr;82(4):686-92. doi: 10.1016/j.ejrad.2012.11.029. Epub 2012 Dec 14.
10
A Longitudinal H-MRS Study of the Anterior Cingulate Gyrus in Child and Adolescent Victims of Multiple Forms of Violence.一项针对遭受多种形式暴力的儿童和青少年前扣带回的纵向氢质子磁共振波谱研究。
Chronic Stress (Thousand Oaks). 2018 Mar 14;2:2470547018763359. doi: 10.1177/2470547018763359. eCollection 2018 Jan-Dec.

引用本文的文献

1
Magnetic resonance imaging findings in diseases affecting the cranial nerves.影响颅神经疾病的磁共振成像表现
Radiol Bras. 2022 Jan-Feb;55(1):V-VI. doi: 10.1590/0100-3984.2022.55.1e1.
2
Magnetic resonance imaging evaluation of spinal cord lesions: what can we find? - Part 1. Neoplastic, vascular, metabolic, and traumatic injuries.脊髓病变的磁共振成像评估:我们能发现什么?- 第1部分。肿瘤性、血管性、代谢性和创伤性损伤。
Radiol Bras. 2021 Nov-Dec;54(6):406-411. doi: 10.1590/0100-3984.2020.0127.
3
H-MRS for characterizing metabolic alterations in HIV-positive patients with and without memory deficits.

本文引用的文献

1
Quantitative evaluation of brain volume among elderly individuals in São Paulo, Brazil: a population-based study.巴西圣保罗老年人群脑容量的定量评估:一项基于人群的研究。
Radiol Bras. 2019 Sep-Oct;52(5):293-298. doi: 10.1590/0100-3984.2018.0074.
2
The Heidenhain variant of Creutzfeldt-Jakob disease.克雅氏病的海登海因变异型
Radiol Bras. 2019 May-Jun;52(3):199-200. doi: 10.1590/0100-3984.2017.0166.
3
Optimization of magnetic resonance imaging protocol for the diagnosis of transient global amnesia.用于诊断短暂性全面性遗忘症的磁共振成像协议优化
氢质子磁共振波谱成像用于表征有无记忆缺陷的HIV阳性患者的代谢改变。
Radiol Bras. 2020 Nov-Dec;53(6):V-VI. doi: 10.1590/0100-3984.2020.53.6e1.
Radiol Bras. 2019 May-Jun;52(3):161-165. doi: 10.1590/0100-3984.2018.0028.
4
Isolated suprasellar involvement in tuberculosis: findings on magnetic resonance imaging.孤立性鞍上结核累及:磁共振成像表现
Radiol Bras. 2019 Jan-Feb;52(1):60-61. doi: 10.1590/0100-3984.2017.0091.
5
Early Introduction of cART Reverses Brain Aging Pattern in Well-Controlled HIV Infection: A Comparative MR Spectroscopy Study.早期引入抗逆转录病毒治疗可逆转HIV感染控制良好状态下的脑老化模式:一项比较磁共振波谱研究
Front Aging Neurosci. 2018 Oct 18;10:329. doi: 10.3389/fnagi.2018.00329. eCollection 2018.
6
Distinguishing Brain Impact of Aging and HIV Severity in Chronic HIV Using Multiparametric MR Imaging and MR Spectroscopy.使用多参数磁共振成像和磁共振波谱区分慢性HIV感染中衰老和HIV严重程度对大脑的影响
Open Forum Infect Dis. 2018 Sep 21;5(10):ofy243. doi: 10.1093/ofid/ofy243. eCollection 2018 Oct.
7
Papillary tumor of the pineal region accompanied by Parinaud's syndrome: magnetic resonance imaging findings.松果体区乳头状肿瘤伴帕里诺综合征:磁共振成像表现
Radiol Bras. 2018 May-Jun;51(3):202-204. doi: 10.1590/0100-3984.2016.0229.
8
Extrinsic functional connectivity of the default mode network in crack-cocaine users.可卡因成瘾者默认模式网络的外在功能连接性
Radiol Bras. 2018 Jan-Feb;51(1):1-7. doi: 10.1590/0100-3984.2016.0115.
9
Association of Hippocampal Magnetic Resonance Imaging With Learning and Memory Deficits in HIV-1-Seropositive Patients.海马磁共振成像与HIV-1血清阳性患者学习记忆缺陷的关联
J Acquir Immune Defic Syndr. 2015 Dec 1;70(4):436-43. doi: 10.1097/QAI.0000000000000789.
10
HIV-associated neurocognitive disorders (HAND).人类免疫缺陷病毒相关神经认知障碍(HAND)
Isr Med Assoc J. 2015 Jan;17(1):54-9.