• 文献检索
  • 文档翻译
  • 深度研究
  • 学术资讯
  • Suppr Zotero 插件Zotero 插件
  • 邀请有礼
  • 套餐&价格
  • 历史记录
应用&插件
Suppr Zotero 插件Zotero 插件浏览器插件Mac 客户端Windows 客户端微信小程序
定价
高级版会员购买积分包购买API积分包
服务
文献检索文档翻译深度研究API 文档MCP 服务
关于我们
关于 Suppr公司介绍联系我们用户协议隐私条款
关注我们

Suppr 超能文献

核心技术专利:CN118964589B侵权必究
粤ICP备2023148730 号-1Suppr @ 2026

文献检索

告别复杂PubMed语法,用中文像聊天一样搜索,搜遍4000万医学文献。AI智能推荐,让科研检索更轻松。

立即免费搜索

文件翻译

保留排版,准确专业,支持PDF/Word/PPT等文件格式,支持 12+语言互译。

免费翻译文档

深度研究

AI帮你快速写综述,25分钟生成高质量综述,智能提取关键信息,辅助科研写作。

立即免费体验

含香瓜(L.)类胡萝卜素的纳米颗粒在慢性炎症实验模型中的安全性及生物活性潜力

Safety and bioactive potential of nanoparticles containing Cantaloupe melon ( L.) carotenoids in an experimental model of chronic inflammation.

作者信息

Medeiros Isaiane, de Oliveira Grazielle Louise Ribeiro, de Queiroz Jaluza Luana Carvalho, de Carvalho Gomes Camila, de Carvalho Fabiana Maria Coimbra, de Souza Lima Maíra Conceição Jerônimo, Serquiz Alexandre Coelho, de Andrade Santos Pedro Paulo, da Silva Camillo Christina, Maciel Bruna Leal Lima, de Araújo Morais Ana Heloneida, Passos Thaís Souza

机构信息

Postgraduate Program in Nutrition, Health Sciences Center, Federal University of Rio Grande do Norte, Natal, Brazil.

Postgraduate Program in Biochemistry, Center for Biosciences, Federal University of Rio Grande do Norte, Natal, Brazil.

出版信息

Biotechnol Rep (Amst). 2020 Nov 21;28:e00567. doi: 10.1016/j.btre.2020.e00567. eCollection 2020 Dec.

DOI:10.1016/j.btre.2020.e00567
PMID:33304841
原文链接:https://pmc.ncbi.nlm.nih.gov/articles/PMC7714681/
Abstract

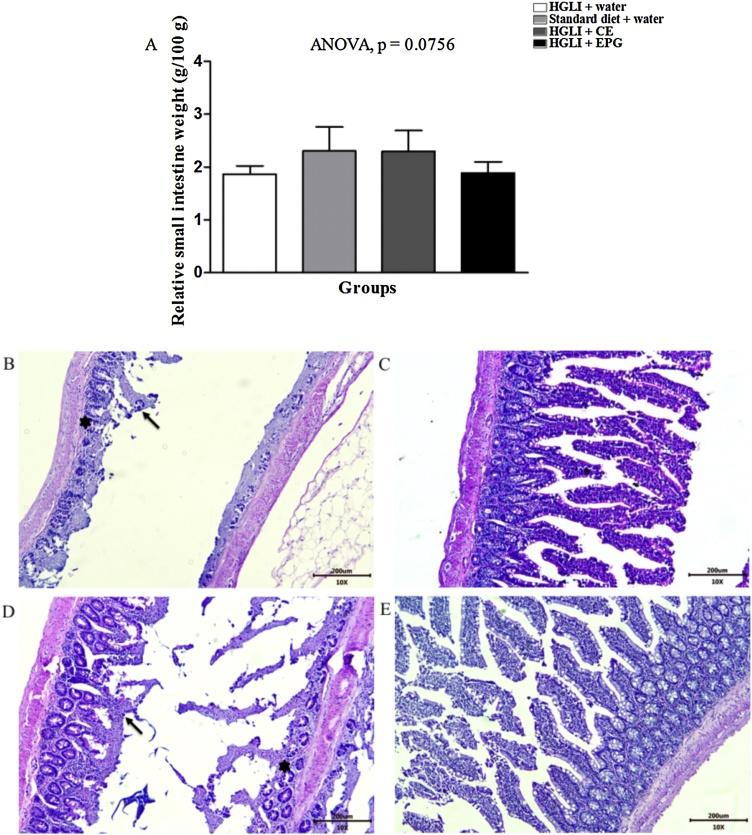
The safety and bioactive potential of crude carotenoid extract from Cantaloupe melon nanoencapsulated in porcine gelatin (EPG) were evaluated in a chronic inflammatory experimental model. Animals were fed a high glycemic index and high glycemic load (HGLI) diet for 17 weeks and treated for ten days with 1) HGLI diet, 2) standard diet, 3) HGLI diet + crude carotenoid extract (CE) (12.5 mg/kg), and 4) HGLI diet + EPG (50 mg/kg). General toxicity signals were investigated, considering body weight, food intake, hematological, biochemical parameters, relative weight, morphology, and histopathology of organs. The biochemical parameters indicated the low toxicity of EPG. Acute hepatitis was observed in animals' livers, but CE and EPG groups presented improved tissue appearance. Chronic enteritis was observed in animals, with villi and intestinal glands preservation in the EPG group. The results suggest the safety and the bioactive effect of EPG, possibly related to its anti-inflammatory potential.

摘要

在慢性炎症实验模型中评估了包裹于猪明胶(EPG)中的哈密瓜粗类胡萝卜素提取物的安全性和生物活性潜力。动物被给予高血糖指数和高血糖负荷(HGLI)饮食17周,并在十天内接受以下处理:1)HGLI饮食,2)标准饮食,3)HGLI饮食 + 粗类胡萝卜素提取物(CE)(12.5毫克/千克),以及4)HGLI饮食 + EPG(50毫克/千克)。研究了一般毒性信号,考虑了体重、食物摄入量、血液学、生化参数、相对重量、器官形态和组织病理学。生化参数表明EPG的毒性较低。在动物肝脏中观察到急性肝炎,但CE组和EPG组的组织外观有所改善。在动物中观察到慢性肠炎,EPG组的绒毛和肠腺得以保留。结果表明EPG具有安全性和生物活性作用,这可能与其抗炎潜力有关。

https://cdn.ncbi.nlm.nih.gov/pmc/blobs/19f7/7714681/ded54dd3d56d/gr10.jpg
https://cdn.ncbi.nlm.nih.gov/pmc/blobs/19f7/7714681/dd5ff9dbfcad/gr1.jpg
https://cdn.ncbi.nlm.nih.gov/pmc/blobs/19f7/7714681/f3d1813b6fa9/gr2.jpg
https://cdn.ncbi.nlm.nih.gov/pmc/blobs/19f7/7714681/239603707e63/gr3.jpg
https://cdn.ncbi.nlm.nih.gov/pmc/blobs/19f7/7714681/b07ca416d175/gr4.jpg
https://cdn.ncbi.nlm.nih.gov/pmc/blobs/19f7/7714681/83ff005dcb39/gr5.jpg
https://cdn.ncbi.nlm.nih.gov/pmc/blobs/19f7/7714681/a55c257e682c/gr6.jpg
https://cdn.ncbi.nlm.nih.gov/pmc/blobs/19f7/7714681/525c6e9a4965/gr7.jpg
https://cdn.ncbi.nlm.nih.gov/pmc/blobs/19f7/7714681/de42a5872b97/gr8.jpg
https://cdn.ncbi.nlm.nih.gov/pmc/blobs/19f7/7714681/8f99bdb6eb0d/gr9.jpg
https://cdn.ncbi.nlm.nih.gov/pmc/blobs/19f7/7714681/ded54dd3d56d/gr10.jpg
https://cdn.ncbi.nlm.nih.gov/pmc/blobs/19f7/7714681/dd5ff9dbfcad/gr1.jpg
https://cdn.ncbi.nlm.nih.gov/pmc/blobs/19f7/7714681/f3d1813b6fa9/gr2.jpg
https://cdn.ncbi.nlm.nih.gov/pmc/blobs/19f7/7714681/239603707e63/gr3.jpg
https://cdn.ncbi.nlm.nih.gov/pmc/blobs/19f7/7714681/b07ca416d175/gr4.jpg
https://cdn.ncbi.nlm.nih.gov/pmc/blobs/19f7/7714681/83ff005dcb39/gr5.jpg
https://cdn.ncbi.nlm.nih.gov/pmc/blobs/19f7/7714681/a55c257e682c/gr6.jpg
https://cdn.ncbi.nlm.nih.gov/pmc/blobs/19f7/7714681/525c6e9a4965/gr7.jpg
https://cdn.ncbi.nlm.nih.gov/pmc/blobs/19f7/7714681/de42a5872b97/gr8.jpg
https://cdn.ncbi.nlm.nih.gov/pmc/blobs/19f7/7714681/8f99bdb6eb0d/gr9.jpg
https://cdn.ncbi.nlm.nih.gov/pmc/blobs/19f7/7714681/ded54dd3d56d/gr10.jpg

相似文献

1
Safety and bioactive potential of nanoparticles containing Cantaloupe melon ( L.) carotenoids in an experimental model of chronic inflammation.含香瓜(L.)类胡萝卜素的纳米颗粒在慢性炎症实验模型中的安全性及生物活性潜力
Biotechnol Rep (Amst). 2020 Nov 21;28:e00567. doi: 10.1016/j.btre.2020.e00567. eCollection 2020 Dec.
2
Nanoparticles Loaded with a Carotenoid-Rich Extract from Cantaloupe Melon Improved Hepatic Retinol Levels in a Diet-Induced Obesity Preclinical Model.负载富含类胡萝卜素的哈密瓜提取物的纳米颗粒改善了饮食诱导肥胖临床前模型中的肝脏视黄醇水平。
ACS Omega. 2023 Jul 26;8(31):28475-28486. doi: 10.1021/acsomega.3c02750. eCollection 2023 Aug 8.
3
Efficacy of Carotenoid-Loaded Gelatin Nanoparticles in Reducing Plasma Cytokines and Adipocyte Hypertrophy in Wistar Rats.类胡萝卜素负载明胶纳米粒对 Wistar 大鼠血浆细胞因子和脂肪细胞肥大的影响。
Int J Mol Sci. 2023 Jun 26;24(13):10657. doi: 10.3390/ijms241310657.
4
Antioxidant stability enhancement of carotenoid rich-extract from Cantaloupe melon (Cucumis melo L.) nanoencapsulated in gelatin under different storage conditions.不同贮藏条件下明胶微胶囊化甜瓜(Cucumis melo L.)类胡萝卜素富提取物的抗氧化稳定性增强。
Food Chem. 2021 Jun 30;348:129055. doi: 10.1016/j.foodchem.2021.129055. Epub 2021 Jan 14.
5
Assessment of acute toxicity of crude extract rich in carotenoids from Cantaloupe melon (Cucumis melo L.) and the gelatin-based nanoparticles using the zebrafish (Danio rerio) model.利用斑马鱼(Danio rerio)模型评估富含类胡萝卜素的哈密瓜(Cucumis melo L.)粗提取物及基于明胶的纳米粒子的急性毒性。
Food Chem Toxicol. 2023 Nov;181:114091. doi: 10.1016/j.fct.2023.114091. Epub 2023 Oct 5.
6
Nanoencapsulation improved water solubility and color stability of carotenoids extracted from Cantaloupe melon (Cucumis melo L.).纳米胶囊化提高了从哈密瓜(Cucumis melo L.)中提取的类胡萝卜素的水溶性和颜色稳定性。
Food Chem. 2019 Jan 1;270:562-572. doi: 10.1016/j.foodchem.2018.07.099. Epub 2018 Jul 20.
7
Beneficial Effects of Tamarind Trypsin Inhibitor in Chitosan-Whey Protein Nanoparticles on Hepatic Injury Induced High Glycemic Index Diet: A Preclinical Study.罗望子胰蛋白酶抑制剂在壳聚糖-乳清蛋白纳米粒子对高血糖指数饮食诱导肝损伤的有益作用:一项临床前研究。
Int J Mol Sci. 2021 Sep 15;22(18):9968. doi: 10.3390/ijms22189968.
8
Adipocytes and intestinal epithelium dysfunctions linking obesity to inflammation induced by high glycemic index pellet-diet in rats.肥胖大鼠高血糖指数颗粒饮食诱导的炎症与脂肪细胞和肠道上皮细胞功能障碍的关系。
Biosci Rep. 2018 Jun 27;38(3). doi: 10.1042/BSR20180304. Print 2018 Jun 29.
9
Acute and sub-chronic toxicity evaluation of the crude methanolic extract of hochst ex a. Dc (ebenaceae) and its fractions.hochst ex a. Dc(柿科)粗甲醇提取物及其馏分的急性和亚慢性毒性评价
Toxicol Rep. 2020 Sep 1;7:1138-1144. doi: 10.1016/j.toxrep.2020.08.028. eCollection 2020.
10
Potential Lipid-Lowering Effects of (L) Gaertn. Extract on High-Fat-Diet-Induced Hyperlipidemic Rats.(L) Gaertn.提取物对高脂饮食诱导的高脂血症大鼠的潜在降脂作用
Pharmacogn Mag. 2017 Jan;13(Suppl 1):S1-S9. doi: 10.4103/0973-1296.203986. Epub 2017 Apr 7.

引用本文的文献

1
Importance of Certain Varieties of Cucurbits in Enhancing Health: A Review.某些葫芦科植物品种在促进健康方面的重要性:综述
Foods. 2024 Apr 9;13(8):1142. doi: 10.3390/foods13081142.
2
Nanoparticles Loaded with a Carotenoid-Rich Extract from Cantaloupe Melon Improved Hepatic Retinol Levels in a Diet-Induced Obesity Preclinical Model.负载富含类胡萝卜素的哈密瓜提取物的纳米颗粒改善了饮食诱导肥胖临床前模型中的肝脏视黄醇水平。
ACS Omega. 2023 Jul 26;8(31):28475-28486. doi: 10.1021/acsomega.3c02750. eCollection 2023 Aug 8.
3
Efficacy of Carotenoid-Loaded Gelatin Nanoparticles in Reducing Plasma Cytokines and Adipocyte Hypertrophy in Wistar Rats.

本文引用的文献

1
Guidance on risk assessment of the application of nanoscience and nanotechnologies in the food and feed chain: Part 1, human and animal health.纳米科学和纳米技术在食品和饲料链中应用的风险评估指南:第1部分,人类和动物健康。
EFSA J. 2018 Jul 4;16(7):e05327. doi: 10.2903/j.efsa.2018.5327. eCollection 2018 Jul.
2
Carotenoids and carotenoid conversion products in adipose tissue biology and obesity: Pre-clinical and human studies.脂肪组织生物学和肥胖中的类胡萝卜素和类胡萝卜素转化产物:临床前和人体研究。
Biochim Biophys Acta Mol Cell Biol Lipids. 2020 Nov;1865(11):158676. doi: 10.1016/j.bbalip.2020.158676. Epub 2020 Feb 28.
3
类胡萝卜素负载明胶纳米粒对 Wistar 大鼠血浆细胞因子和脂肪细胞肥大的影响。
Int J Mol Sci. 2023 Jun 26;24(13):10657. doi: 10.3390/ijms241310657.
4
Microencapsulation of (Rottb.) Maas pulp pigment and antioxidant compounds by spray-drying and its incorporation in yogurt.通过喷雾干燥对(罗特布)马斯果肉色素和抗氧化化合物进行微囊化及其在酸奶中的应用。
J Food Sci Technol. 2022 Mar;59(3):1162-1172. doi: 10.1007/s13197-021-05121-5. Epub 2021 May 17.
Tamarind Trypsin Inhibitor in Chitosan-Whey Protein Nanoparticles Reduces Fasting Blood Glucose Levels without Compromising Insulinemia: A Preclinical Study.
罗望子胰蛋白酶抑制剂在壳聚糖-乳清蛋白纳米粒子中降低空腹血糖水平而不损害胰岛素血症:一项临床前研究。
Nutrients. 2019 Nov 14;11(11):2770. doi: 10.3390/nu11112770.
4
Therapeutic and Protective Effects of Liposomal Encapsulation of Astaxanthin in Mice with Alcoholic Liver Fibrosis.虾青素脂质体包封对酒精性肝纤维化小鼠的治疗和保护作用。
Int J Mol Sci. 2019 Aug 20;20(16):4057. doi: 10.3390/ijms20164057.
5
In vivo anti-inflammatory activity and UPLC-MS/MS profiling of the peels and pulps of Cucumis melo var. cantalupensis and Cucumis melo var. reticulatus.甜瓜果皮和果肉的体内抗炎活性及 UPLC-MS/MS 分析。
J Ethnopharmacol. 2019 Jun 12;237:245-254. doi: 10.1016/j.jep.2019.03.015. Epub 2019 Mar 9.
6
Nanoencapsulation improved water solubility and color stability of carotenoids extracted from Cantaloupe melon (Cucumis melo L.).纳米胶囊化提高了从哈密瓜(Cucumis melo L.)中提取的类胡萝卜素的水溶性和颜色稳定性。
Food Chem. 2019 Jan 1;270:562-572. doi: 10.1016/j.foodchem.2018.07.099. Epub 2018 Jul 20.
7
Evidence of hypoglycemic, lipid-lowering and hepatoprotective effects of the Bixin and Bixin: β-CD inclusion compound in high-fat-fed obese mice.高脂喂养肥胖小鼠中胭脂树橙和β-环糊精包合物的降血糖、降血脂和保肝作用的证据。
Biomed Pharmacother. 2018 Oct;106:363-372. doi: 10.1016/j.biopha.2018.06.144. Epub 2018 Jul 11.
8
Adipocytes and intestinal epithelium dysfunctions linking obesity to inflammation induced by high glycemic index pellet-diet in rats.肥胖大鼠高血糖指数颗粒饮食诱导的炎症与脂肪细胞和肠道上皮细胞功能障碍的关系。
Biosci Rep. 2018 Jun 27;38(3). doi: 10.1042/BSR20180304. Print 2018 Jun 29.
9
The Encapsulation of Lycopene in Nanoliposomes Enhances Its Protective Potential in Methotrexate-Induced Kidney Injury Model.纳米脂质体包封番茄红素增强其在甲氨蝶呤诱导的肾损伤模型中的保护潜力。
Oxid Med Cell Longev. 2018 Mar 13;2018:2627917. doi: 10.1155/2018/2627917. eCollection 2018.
10
Paradoxical role of tumor necrosis factor on metabolic dysfunction and adipose tissue expansion in mice.肿瘤坏死因子在代谢功能障碍和脂肪组织扩张中的矛盾作用。
Nutrition. 2018 Jun;50:1-7. doi: 10.1016/j.nut.2017.07.006. Epub 2017 Jul 17.