Suppr超能文献

介导线粒体自噬的脂肪炎症促进伴有肝胰岛素抵抗的 2 型糖尿病。

Mitophagy-mediated adipose inflammation contributes to type 2 diabetes with hepatic insulin resistance.

机构信息

Department of Pathology, Yale School of Medicine, New Haven, CT.

Department of Cellular and Molecular Physiology, Yale School of Medicine, New Haven, CT.

出版信息

J Exp Med. 2021 Mar 1;218(3). doi: 10.1084/jem.20201416.

Abstract

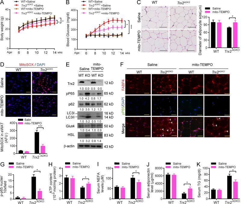
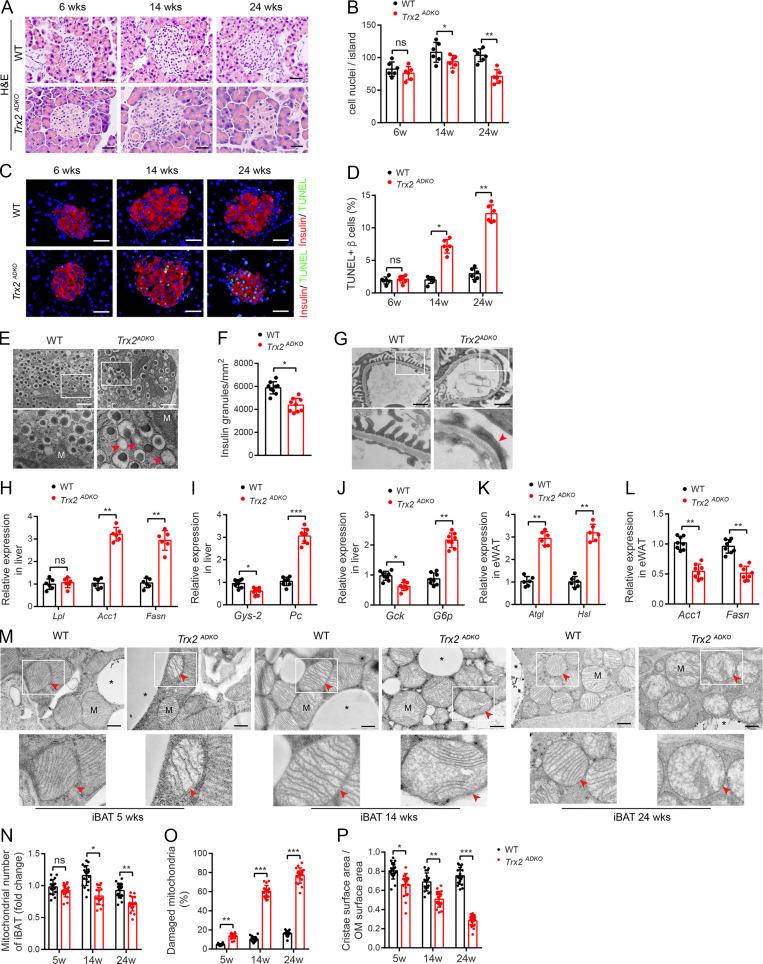
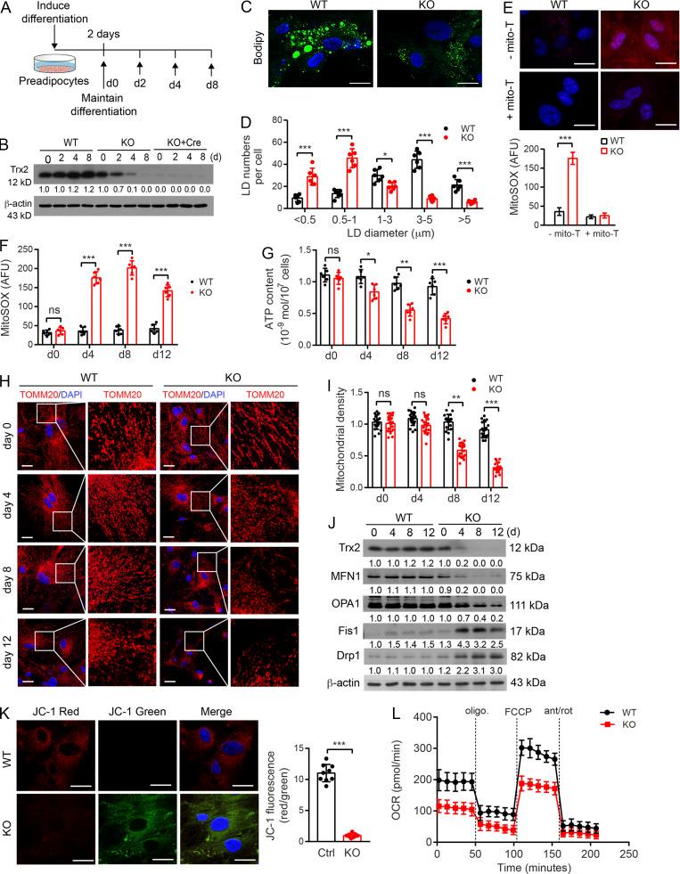
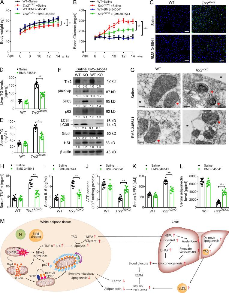
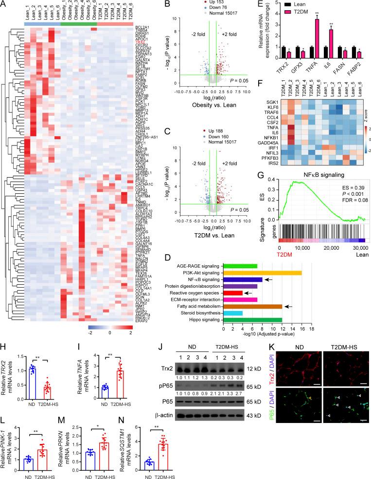
White adipose tissues (WAT) play crucial roles in maintaining whole-body energy homeostasis, and their dysfunction can contribute to hepatic insulin resistance and type 2 diabetes mellitus (T2DM). However, the mechanisms underlying these alterations remain unknown. By analyzing the transcriptome landscape in human adipocytes based on available RNA-seq datasets from lean, obese, and T2DM patients, we reveal elevated mitochondrial reactive oxygen species (ROS) pathway and NF-κB signaling with altered fatty acid metabolism in T2DM adipocytes. Mice with adipose-specific deletion of mitochondrial redox Trx2 develop hyperglycemia, hepatic insulin resistance, and hepatic steatosis. Trx2-deficient WAT exhibited excessive mitophagy, increased inflammation, and lipolysis. Mechanistically, mitophagy was induced through increasing ROS generation and NF-κB-dependent accumulation of autophagy receptor p62/SQSTM1, which recruits damaged mitochondria with polyubiquitin chains. Importantly, administration of ROS scavenger or NF-κB inhibitor ameliorates glucose and lipid metabolic disorders and T2DM progression in mice. Taken together, this study reveals a previously unrecognized mechanism linking mitophagy-mediated adipose inflammation to T2DM with hepatic insulin resistance.

摘要

白色脂肪组织 (WAT) 在维持全身能量稳态方面起着至关重要的作用,其功能障碍可导致肝胰岛素抵抗和 2 型糖尿病 (T2DM)。然而,这些改变的机制尚不清楚。通过分析基于来自瘦人、肥胖者和 T2DM 患者的可用 RNA-seq 数据集的人类脂肪细胞转录组图谱,我们揭示了 T2DM 脂肪细胞中线粒体活性氧 (ROS) 途径和 NF-κB 信号的升高以及脂肪酸代谢的改变。脂肪组织特异性缺失线粒体氧化还原 Trx2 的小鼠会出现高血糖、肝胰岛素抵抗和肝脂肪变性。Trx2 缺陷的 WAT 表现出过度的线粒体自噬、炎症增加和脂肪分解。在机制上,通过增加 ROS 生成和 NF-κB 依赖性自噬受体 p62/SQSTM1 的积累来诱导线粒体自噬,p62/SQSTM1 募集带有多聚泛素链的受损线粒体。重要的是,ROS 清除剂或 NF-κB 抑制剂的给药可改善小鼠的葡萄糖和脂质代谢紊乱以及 T2DM 进展。总之,这项研究揭示了一个以前未被认识到的机制,即线粒体自噬介导的脂肪炎症与肝胰岛素抵抗的 2 型糖尿病有关。

https://cdn.ncbi.nlm.nih.gov/pmc/blobs/ee0b/7927432/74fbcb54844f/JEM_20201416_GA.jpg

文献检索

告别复杂PubMed语法,用中文像聊天一样搜索,搜遍4000万医学文献。AI智能推荐,让科研检索更轻松。

立即免费搜索

文件翻译

保留排版,准确专业,支持PDF/Word/PPT等文件格式,支持 12+语言互译。

免费翻译文档

深度研究

AI帮你快速写综述,25分钟生成高质量综述,智能提取关键信息,辅助科研写作。

立即免费体验