Division of Biomedical Sciences, Faculty of Medicine, Memorial University, St. John's, NL, Canada.
Marine Microbial Pathogenesis and Vaccinology Lab, Department of Ocean Sciences, Memorial University, St. John's, NL, Canada.
Front Immunol. 2020 Nov 20;11:576897. doi: 10.3389/fimmu.2020.576897. eCollection 2020.
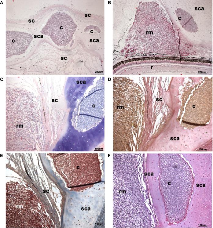
Lumpfish (), a North Atlantic "cleaner" fish, is utilized to biocontrol salmon louse () in Atlantic salmon () farms. Lumpfish require excellent vision to scan for and eat louse on salmon skin. The lumpfish eye immune response to infectious diseases has not been explored. We examined the ocular response to a natural parasite infection in wild lumpfish and to an experimental bacterial infection in cultured lumpfish. Cysts associated with natural myxozoan infection in the ocular scleral cartilage of wild adult lumpfish harbored cells expressing cluster of differentiation 10 (CD10) and immunoglobulin M (IgM). Experimental infection, which led to exophthalmos and disorganization of the retinal tissues was associated with disruption of normal CD10 expression, CD10 cellular infiltration and IgM expression. We further describe the lumpfish CD10 orthologue and characterize the lumpfish scleral skeleton in the context of myxozoan scleral cysts. We propose that lumpfish develop an intraocular response to pathogens, exemplified herein by myxozoan and infection involving novel CD10 cells and IgM cells to contain and mitigate damage to eye structures. This work is the first demonstration of CD10 and IgM expressing cells in a novel ocular immune system component in response to disease in a teleost.
鳕鱼(Lumpfish),一种北大西洋的“清洁”鱼,被用于大西洋鲑鱼(Atlantic salmon)养殖场来生物防治鲑虱(salmon louse)。鳕鱼需要良好的视力来扫描鲑鱼皮肤上的虱并将其吃掉。鳕鱼眼睛对传染病的免疫反应尚未被探索。我们研究了野生鳕鱼眼部对自然寄生虫感染的反应,以及养殖鳕鱼眼部对实验性细菌感染的反应。在野生成年鳕鱼巩膜软骨中的天然粘孢子虫感染相关的囊肿中,表达分化群 10(CD10)和免疫球蛋白 M(IgM)的细胞。实验性感染导致眼球突出和视网膜组织紊乱,与正常 CD10 表达、CD10 细胞浸润和 IgM 表达的破坏有关。我们进一步描述了鳕鱼 CD10 直系同源物,并在粘孢子虫巩膜囊肿的背景下描述了鳕鱼巩膜骨骼。我们提出,鳕鱼会对病原体产生眼内反应,本文中通过粘孢子虫和感染展示了涉及新型 CD10 细胞和 IgM 细胞的例子,以容纳和减轻对眼部结构的损伤。这项工作首次证明了在一种硬骨鱼的新型眼部免疫系统成分中,CD10 和 IgM 表达细胞对疾病的反应。