Suppr超能文献

基于自然的植物面部油抗氧化应激保护。

Nature-based botanical facial oil oxidative stress protection.

机构信息

Dermatology Consulting Services, PLLC High Point, NC, USA.

Burt's Bees, Durham, NC, USA.

出版信息

J Cosmet Dermatol. 2021 Feb;20(2):522-525. doi: 10.1111/jocd.13879. Epub 2020 Dec 21.

Abstract

INTRODUCTION

UV-induced oxidative skin stress leads to cutaneous photoaging. The objective of these 2 studies was to evaluate a nature-based botanical facial oil for the ability to decrease UV-induced oxidative skin stress.

METHODS

22 females were enrolled in the UVA study, and 10 females were enrolled in the UVB study. Skin chemiluminescence induced by UVA exposure was measured at baseline and after 2 weeks of daily topical application of the nature-based facial oil was evaluated in study 1. In study 2, UVB-induced erythema was measured after 8 weeks of twice-daily topical application of the nature-based facial oil to a photoprotected site followed by skin biopsy to evaluate sunburn cell formation. In both studies, the treatment response was compared to the response on untreated skin.

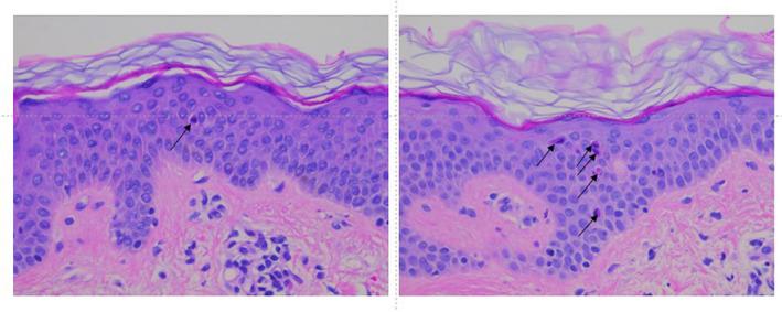
RESULTS

The nature-based facial oil significantly reduced skin chemiluminescence following UVA exposure, demonstrating antioxidant activity. The nature-based facial oil also significantly reduced erythema formation following UVB exposure and resulted in reduced sunburn cell formation in 66.67% of subjects.

CONCLUSION

Topical nature-based facial oil can reduce UV-induced oxidative cutaneous damage.

摘要

简介

紫外线引起的氧化皮肤应激会导致皮肤光老化。这两项研究的目的是评估一种基于天然植物的面部油,以评估其减少紫外线引起的氧化皮肤应激的能力。

方法

22 名女性被纳入 UVA 研究,10 名女性被纳入 UVB 研究。在基线和每天局部应用基于天然植物的面部油 2 周后,测量 UVA 暴露引起的皮肤化学发光,评估研究 1。在研究 2 中,在经过 8 周每天两次局部应用基于天然植物的面部油保护的光保护部位进行 UVB 诱导红斑后,测量红斑形成,然后进行皮肤活检以评估晒伤细胞形成。在这两项研究中,将治疗反应与未处理皮肤的反应进行比较。

结果

天然植物面部油显著减少了 UVA 暴露后的皮肤化学发光,表现出抗氧化活性。天然植物面部油还显著减少了 UVB 暴露后的红斑形成,并使 66.67%的受试者晒伤细胞形成减少。

结论

局部使用天然植物面部油可以减少紫外线引起的氧化皮肤损伤。

https://cdn.ncbi.nlm.nih.gov/pmc/blobs/7311/7953896/dd07da508bf1/JOCD-20-522-g001.jpg

文献检索

告别复杂PubMed语法,用中文像聊天一样搜索,搜遍4000万医学文献。AI智能推荐,让科研检索更轻松。

立即免费搜索

文件翻译

保留排版,准确专业,支持PDF/Word/PPT等文件格式,支持 12+语言互译。

免费翻译文档

深度研究

AI帮你快速写综述,25分钟生成高质量综述,智能提取关键信息,辅助科研写作。

立即免费体验